Cảnh báo 6 biến chứng nguy hiểm khi răng sâu bị đau kéo dài
Răng sâu bị đau không chỉ gây khó chịu, ảnh hưởng đến việc ăn uống và sinh hoạt hằng ngày mà còn tiềm ẩn nhiều nguy cơ sức khỏe nghiêm trọng nếu không được điều trị kịp thời. Nhiều người thường chủ quan khi gặp tình trạng đau nhức răng sâu, tự dùng thuốc giảm đau hoặc bỏ qua, khiến tình trạng trở nên trầm trọng hơn. Vậy răng sâu đau kéo dài có thể dẫn đến những biến chứng gì? Cùng Thu Cúc TCI tìm hiểu thêm trong bài viết dưới đây nhé!
1. Tổng quan về tình trạng răng sâu bị đau
Răng sâu là quá trình phá hủy men răng do vi khuẩn trong khoang miệng tạo ra acid. Khi tình trạng này tiến triển, nó sẽ gây ra cảm giác đau nhức khó chịu, đặc biệt khi ăn uống hoặc tiếp xúc với nhiệt độ lạnh, nóng. Ban đầu, răng sâu có thể không gây đau, nhưng khi vi khuẩn xâm nhập sâu vào lớp ngà răng và tiến đến tủy răng, cơn đau sẽ trở nên dữ dội và dai dẳng. Đây chính là dấu hiệu cảnh báo cần được can thiệp y tế ngay lập tức.

2. Dấu hiệu nhận biết răng sâu bị đau
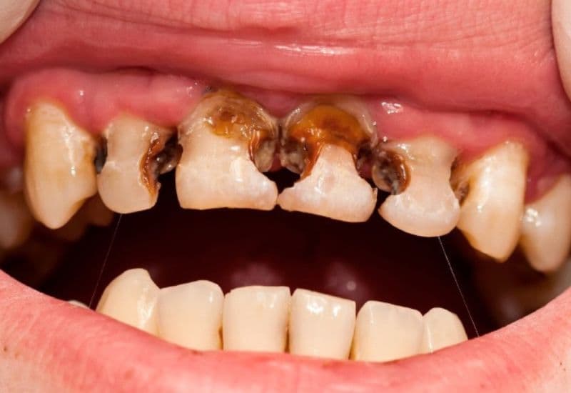
Để sớm phát hiện tình trạng răng sâu gây đau, bạn nên lưu ý đến những dấu hiệu điển hình sau: Triệu chứng đau nhức:
– Cảm giác đau âm ỉ kéo dài hoặc từng cơn dữ dội.
– Cơn đau tăng lên khi nhai, đặc biệt với thức ăn cứng.
– Răng trở nên nhạy cảm khi tiếp xúc với đồ lạnh, nóng hoặc ngọt.
– Cơn đau có thể lan ra các vùng lân cận như tai hoặc thái dương.
Biểu hiện đi kèm:
– Xuất hiện lỗ nhỏ màu đen hoặc nâu trên bề mặt răng.
– Tình trạng hôi miệng xuất hiện khi vi khuẩn tích tụ lâu ngày trong khoang miệng.
– Nướu quanh răng sâu có dấu hiệu sưng đỏ, dễ chảy máu.
– Cảm giác khó chịu hoặc đau khi cắn, khớp hàm không khớp như bình thường.
3. Cảnh báo 6 biến chứng nguy hiểm khi răng sâu bị đau kéo dài
3.1. Viêm tủy răng – Biến chứng phổ biến nhất khi răng sâu bị đau
Viêm tủy là một trong những biến chứng đầu tiên và thường gặp nhất khi răng sâu không được điều trị kịp thời. Khi vi khuẩn từ lỗ sâu răng xâm nhập sâu vào bên trong, chúng sẽ tấn công lớp tủy – nơi chứa nhiều dây thần kinh và mạch máu. Hậu quả là gây viêm nhiễm tủy răng, khiến người bệnh đau nhức dữ dội, đặc biệt vào ban đêm hoặc khi ăn nhai.
Cơn đau có thể lan ra toàn bộ hàm, vùng tai, thái dương hoặc lan lên vùng đầu, gây cảm giác nhức buốt liên tục. Nếu không được điều trị sớm, tủy răng có thể bị hoại tử, làm tăng nguy cơ mất răng vĩnh viễn, đồng thời tạo điều kiện cho vi khuẩn tiếp tục lan sang các mô xung quanh.
3.2. Áp xe răng – Nguy cơ nhiễm trùng nghiêm trọng
Khi viêm tủy không được kiểm soát, vi khuẩn tiếp tục sinh sôi và gây ra áp xe quanh chân răng – một ổ mủ hình thành do phản ứng viêm nhiễm. Đây là biến chứng nghiêm trọng, thường gây sưng đau dữ dội ở vùng má hoặc nướu, thậm chí khiến khuôn mặt bị biến dạng tạm thời.
Người bệnh có thể bị sốt cao, nổi hạch ở cổ hoặc dưới hàm, đau đầu, mệt mỏi toàn thân. Trong một số trường hợp, ổ mủ vỡ ra, vi khuẩn theo dòng máu đi khắp cơ thể, dẫn đến nhiễm trùng huyết – tình trạng cực kỳ nguy hiểm có thể đe dọa đến tính mạng nếu không cấp cứu kịp thời.
3.3. Răng sâu bị đau có thể bị gãy hoặc mất hoàn toàn nếu không điều trị kịp thời
Sâu răng kéo dài sẽ dần ăn mòn cấu trúc men và ngà răng, khiến răng trở nên yếu, giòn và dễ gãy. Khi tổn thương đã lan tới phần chân răng hoặc tủy, răng thường không còn khả năng phục hồi. Trong những trường hợp nghiêm trọng, bác sĩ buộc phải chỉ định nhổ bỏ để tránh lây lan sang vùng xung quanh.
Việc mất răng không chỉ làm mất thẩm mỹ mà còn ảnh hưởng nghiêm trọng đến chức năng nhai, phát âm và tiêu hóa. Về lâu dài, mất răng còn gây tiêu xương hàm, khiến khuôn mặt bị hóp, lão hóa sớm và giảm chất lượng cuộc sống.

3.4. Viêm xương hàm – Biến chứng nguy hiểm từ vi khuẩn
Nếu vi khuẩn tiếp tục lan sâu xuống phần xương hàm, chúng có thể gây ra tình trạng viêm xương – một biến chứng nguy hiểm hiếm gặp nhưng không thể xem nhẹ. Biểu hiện của viêm xương hàm bao gồm: sưng đau vùng mặt hoặc hàm, sốt, nổi hạch, khó mở miệng, đau khi cử động hàm. Đây là tình trạng viêm nhiễm nặng nề, nếu không được xử lý đúng cách có thể gây hoại tử xương, dẫn đến mất răng hàng loạt, biến dạng khuôn mặt và ảnh hưởng nặng đến chức năng hàm. Trong một số ca bệnh nặng, bệnh nhân cần phải điều trị kháng sinh dài ngày hoặc can thiệp phẫu thuật.
3.5. Ảnh hưởng đến các răng kế cận
Răng sâu bị đau nếu không được điều trị triệt để sẽ trở thành nguồn phát tán vi khuẩn sang các răng xung quanh. Vi khuẩn có thể lây lan qua mảng bám, nướu hoặc các khe hở nhỏ giữa các răng, gây ra hiện tượng sâu răng hàng loạt, viêm tủy, viêm nướu hoặc áp xe răng kế cận. Tình trạng này khiến việc điều trị trở nên phức tạp hơn rất nhiều, đòi hỏi can thiệp trên nhiều răng cùng lúc, vừa tốn kém chi phí, vừa mất nhiều thời gian. Ngoài ra, nếu để lan rộng, bạn có thể đối mặt với nguy cơ phải nhổ bỏ nhiều răng, gây ảnh hưởng nghiêm trọng đến sức khỏe răng miệng tổng thể.
3.6. Tình trạng răng miệng kém có thể làm suy giảm sức khỏe tổng thể
Ít ai ngờ rằng một chiếc răng sâu bị đau lại có thể kéo theo hàng loạt hệ lụy cho toàn cơ thể. Vi khuẩn từ vùng răng sâu có thể gây ra nhiều biến chứng nghiêm trọng như: viêm xoang hàm, viêm tai giữa, viêm màng trong tim, viêm nội tâm mạc hoặc nhiễm trùng huyết. Ngoài ra, tình trạng đau nhức kéo dài khiến người bệnh khó ngủ, ăn uống kém, sụt cân, suy giảm hệ miễn dịch và luôn trong trạng thái mệt mỏi. Đặc biệt với người già, trẻ nhỏ hoặc người có bệnh nền, biến chứng từ răng sâu có thể làm nặng thêm các vấn đề sức khỏe hiện có, ảnh hưởng lớn đến chất lượng cuộc sống.
4. Khi nào nên đi khám nha sĩ?
Nếu bạn đang gặp phải các dấu hiệu như: đau nhức răng âm ỉ hoặc từng cơn, răng trở nên nhạy cảm với đồ nóng, lạnh, ngọt; bề mặt răng đổi màu, xuất hiện hố đen; hơi thở có mùi hôi dù đã vệ sinh kỹ; kèm theo tình trạng sưng nướu, sưng mặt hoặc sốt nhẹ thì đừng chủ quan. Hãy chủ động đến cơ sở nha khoa càng sớm càng tốt để được thăm khám, chẩn đoán chính xác và điều trị kịp thời. Việc can thiệp sớm không chỉ giúp ngăn ngừa biến chứng nguy hiểm mà còn bảo tồn răng thật và tiết kiệm chi phí điều trị lâu dài.

5. Lưu ý từ chuyên gia nha khoa
– Chăm sóc răng miệng đúng cách: Đánh răng 2 lần/ngày, dùng chỉ nha khoa và nước súc miệng kháng khuẩn.
– Khám răng định kỳ: Tối thiểu 2 lần/năm để phát hiện sớm các vấn đề răng miệng.
– Không tự ý dùng thuốc giảm đau kéo dài hoặc áp dụng mẹo dân gian không rõ nguồn gốc.
– Điều trị răng sâu sớm để tránh những biến chứng nghiêm trọng ảnh hưởng đến sức khỏe toàn thân.
Răng sâu bị đau là dấu hiệu không nên xem nhẹ. Việc chủ quan hoặc chậm trễ trong điều trị có thể khiến bạn đối mặt với hàng loạt biến chứng nguy hiểm, từ viêm tủy, áp xe đến ảnh hưởng nghiêm trọng đến sức khỏe toàn thân. Chủ động chăm sóc và kiểm tra răng miệng định kỳ chính là cách tốt nhất để bảo vệ nụ cười và sức khỏe của bạn.

















