Cẩn trọng trước sản phẩm “nước súc miệng lấy cao răng”
Nếu như nước súc miệng lấy cao răng như lời quảng cáo là chính xác, có lẽ chúng ta sẽ tiết kiệm được thời gian, và chủ động trong trong vấn đề chăm sóc sức khỏe răng miệng. Vậy thực hư về sản phẩm này như thế nào, mời bạn đọc cùng tìm hiểu trong bài viết dưới đây.
1. Tràn lan các sản phẩm nước súc miệng tẩy cao răng
Chỉ cần tìm kiếm từ khóa “nước súc miệng lấy cao răng” và chỉ trong 0,28s đã có hơn 1,3 triệu kết quả hiển thị trên trang tìm kiếm internet hiện nay. Điều này cho thấy, rất nhiều sản phẩm nước súc miệng được quảng cáo với công dụng này.
Theo đó, khá nhiều nước súc miệng hiện nay đang được quảng cáo với các công dụng như diệt khuẩn, tẩy trắng, cho hơi thở thơm tho, làm sạch cao răng. Thậm chí, nhiều sản phẩm còn khẳng định: sử dụng để tiết kiệm chi phí nha khoa, không phải đến các cơ sở y tế để thăm khám hay lấy cao răng,…Điều khá bất ngờ là, các loại nước súc miệng này có nguồn gốc cả nội địa và hàng nhập (không thông qua công ty phân phối), đồng thời cũng có các mức giá rất khác nhau, dù tất cả đều có giá không quá cao.
2. Sự thật về các loại nước súc miệng giúp loại bỏ cao răng
2.1. Hiểu đúng về cao răng
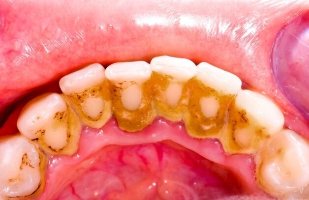
Trong chúng ta, có lẽ không ít người đã quen thuộc và có thể nhận biết tình trạng cao răng, nhưng lại không hiểu hết về vấn đề này. Cao răng, thực chất, là sự kết hợp của những mảng bám được vôi hóa bởi hợp chất muối Canxi Carbonat và Photphat trong nước bọt hình thành, dính cứng trên bề mặt răng. Ngoài ra, có thể có sự lắng động sắt của huyết thanh trong máu. Tổ chức này thường ở vị trí trên và dưới nướu với mày trắng đục, vàng nhạt hoặc nâu đỏ, đen tùy theo thời gian hình thành và diễn tiến của tình trạng cao răng.

Hình ảnh cao răng
Cần phân biệt cao răng và mảng bám răng. Thực tế, mảng bám là lớp màng ngoài răng hình thành do sự tác động của cặn thức ăn, vi khuẩn và nước bọt. Còn cao răng do sự tích tụ mảng bám gây nên. Thông thường, chúng ta có thể dùng cách vệ sinh để làm sạch mảng bám. Mảng bám không được làm sạch, tích tụ lâu ngày, có thể trở thành cao răng trong vòng một tuần. Khi cao răng hình thành, chúng ta không thể dễ dàng lấy đi bằng cách vệ sinh thông thường hay các hình thức ở nhà, mà buộc phải nhờ đến sự can thiệp của các dụng cụ nha khoa chuyên dụng để thực hiện.
2.2. Vấn đề nước súc miệng giúp lấy cao răng
Các chuyên gia cho biết, cao răng bám rất chắc vào răng. Rất nhiều trường hợp cao răng lâu ngày, sử dụng máy siêu âm cạy cao răng có khi còn không đạt kết quả. Thế nên, chuyện dùng nước súc miệng để loại bỏ cao răng là điều không tưởng. Việc dùng nước súc miệng để làm sạch răng miệng là chuyện cần thiết và luôn được các chuyên gia khuyến khích nhằm hạn chế tình trạng mảng bám, từ đó ngăn ngừa cao răng. Còn bản thân nước súc miệng không giúp lấy cao răng đã bám chắc vào răng được.
Như đã chia sẻ, cao răng chỉ có thể được làm sạch bởi các dụng cụ nha khoa chuyên dụng và được nha sĩ có kinh nghiệm thực hiện. Các chuyên gia cũng khuyến cáo: nên vệ sinh răng miệng điều độ, sử dụng nước súc miệng không thể thay thế việc đánh răng. Đồng thời, cần khám nha, chăm sóc răng miệng định kỳ và nên đến các cơ sở nha khoa để lấy cao răng 6 tháng 1 lần để phòng tránh các vấn đề răng miệng như hôi lợi, chảy máu chân răng, viêm chân răng,… mà cao răng thường gây ra.

Nhiều người tin và lựa chọn nước súc miệng được quảng cáo giúp lấy cao răng
3. Vì sao bạn cần lấy cao răng định kỳ?
Cao răng là tập hợp chất cứng lắng cặn của các muối vô cơ canxi – phosphate phối hợp với các cặn mềm (chủ yếu là là vụn thức ăn), vi khuẩn, xác các tế bào biểu mô hình thành. Do đó, bản thân cao răng cũng là nơi chứa vi khuẩn. Thêm vào đó, cao răng khiến răng không giữ được màu trắng sáng ban đầu, gây mất thẩm mỹ. Việc loại bỏ cao răng sẽ giúp giải quyết và hạn chế rất nhiều vấn đề như:
– Giúp ngăn hôi miệng
– Tránh/giảm tình trạng các bệnh nha chu, tụt nướu hoặc răng yếu.
– Ngăn ngừa sâu răng
– Cải thiện sức khỏe: hạn chế viêm nhiễm lân cận như amidan, họng, xoang,… ngăn ngừa viêm nội tâm mạc từ vi khuẩn Osler.
– Bảo vệ chân răng.
– Tiết kiệm chi phí nha khoa nhờ ngăn ngừa được các bệnh lý nghiêm trọng và đòi hỏi điều trị kéo dài với răng miệng.
4. Lấy cao răng
4.1. Quy trình
Việc lấy cao răng tại các nha khoa rất đơn giản và không tốn nhiều thời gian. Thường chỉ mất khoảng 20 phút cho quá trình lấy cao răng:
– Thăm khám lâm sàng với người lấy cao răng nhằm đánh giá tình trạng cao răng cũng như phát hiện các bệnh lý răng miệng nếu có.
– Làm sạch khoang miệng cho người lấy cao răng nhằm hạn chế số lượng vi khuẩn, giảm nguy cơ nhiễm trùng khoang miệng.
– Lấy cao răng bằng dao siêu âm chuyên dụng nhằm tách cao răng và máy hút để hút cao răng ra ngoài. Bước này với một số người có cơ địa nhạy cảm có thể sẽ có cảm giác ê buốt. nếu cao răng ở mức độ nặng, người bị cao răng có thể có tình trạng chảy máu chân răng. Tuy nhiên, hiện tượng này sẽ phục hồi nhanh và không có gì nguy hiểm.
– Làm bóng răng, giúp răng trắng sáng và nhẵn mịn hơn sau khi vệ sinh răng miệng thêm một lần nữa.

Thăm khám nha khoa để được chỉ định lấy cao răng phù hợp
4.2. Ai cần cẩn trọng cân nhắc lấy cao răng?
Một số đối tượng sau cần tạm thời không lấy cao răng do tình trạng bệnh lý của mình:
– Bệnh răng miệng như sâu răng cần nhổ, cần trám răng, áp xe quanh răng, viêm nha chu, viêm nướu,… Bệnh nhân cần điều trị các vấn đề này trước khi lấy cao răng.
– Phụ nữ trong thời kỳ kinh nguyệt cũng không nên lấy cao răng, do đây là thời điểm estrogen tăng, dễ sưng viêm lợi và tăng nguy cơ chảy máu hoặc nhiễm trùng khi lấy cao răng.
– Trẻ dưới 6 tuổi, do độ tuổi này rất hiếm khi gặp tình trạng cao răng.
– Rối loạn đông máu
Hi vọng những thông tin trên đã giúp bạn hiểu hơn khi tìm hiểu vấn đề nước súc miệng lấy cao răng và có cho mình cách cụ thể, thiết thực để lấy cao răng. Bên cạnh đó, đừng quên việc vệ sinh răng miệng hằng ngày để ngăn ngừa tình trạng cao răng, răng xỉn màu cũng như sẵn sàng để luôn có hàm răng chắc khỏe.