Cách điều trị tình trạng răng nhiễm Fluor
Tình trạng răng nhiễm Fluor là hiện tượng bất thường của răng miệng. Chúng gây ra sự thay đổi trạng thái màu sắc của răng, gây ra nhiều ảnh hưởng trong cuộc sống hàng ngày. Sau đây, chúng ta sẽ cùng tìm hiểu về vấn đề này cũng như cách để khắc phục hiệu quả.
1. Thế nào là răng bị nhiễm Fluor?
Răng bị nhiễm Fluor sẽ xuất hiện trên bề mặt răng những đốm trắng đục
Răng bị nhiễm Fluor là tình trạng hình thái của men răng có sự thay đổi rõ rệt. Khi đó, trên bề mặt răng sẽ xuất hiện các mảng trắng đục do thực trạng hàm lượng Fluor dư thừa. Tình trạng này có thể xảy ra ở bất kỳ ai, bất kỳ độ tuổi nào.
Tuy nhiên, ở giai đoạn khi hình thành răng và nướu phát triển thì tình trạng này sẽ diễn ra nhanh chóng hơn. Đây cũng là nguyên nhân khiến trẻ em trở thành đối tượng dễ mắc bệnh hơn. Đồng thời, những ảnh hưởng mà bệnh gây ra với trẻ nhỏ cũng nhiều hơn so với người trưởng thành.
Sử dụng Fluor là một trong những yếu tố quan trọng giúp ngăn ngừa và quản lý tình trạng sâu răng. Thế những, việc sự phổ biến rộng rãi của những nguồn fluor khác nhau cũng giống như con dao hai lưỡi. Nó dẫn đến tỷ lệ sâu răng giảm nhưng lại tăng tỷ lệ các bệnh lý nha khoa do răng bị nhiễm Fluor.
2. Những biểu hiện tình trạng răng nhiễm Fluor
Biểu hiện của tình trạng răng nhiễm Fluor ở mỗi người là không giống nhau. Điều này còn phụ thuộc vào từng giai đoạn của bệnh:
– Giai đoạn bệnh mới chớm: Ở tình trạng này, bề mặt của men răng xuất hiện đốm nhỏ. Những đốm này màu trắng đục và sau một thời gian sẽ thành mảng. Tuy nhiên, chúng vẫn sẽ không chiếm quá 25% bề mặt của răng.
– Giai đoạn bệnh nhẹ: Những mảng trắng đục bắt đầu lan rộng hơn. Số lượng mảng trắng này chiếm không quá 50% của bề mặt răng.
– Giai đoạn bệnh nặng: Toàn bộ bề mặt của răng đều có màu trắng đục. Một số điểm trên răng bắt đầu có màu sắc chuyển sang nâu.
– Giai đoạn bệnh rất nặng: Toàn bộ bề mặt của răng lởm chởm và không đều. Phần răng răng có xuất hiện những rãnh hố khiến răng trở nên nhạy cảm. Khi đó, răng sẽ dễ bị vỡ mẻ.
3. Những tác nhân khiến răng bị nhiễm Fluor
Tác nhân chủ yếu dẫn đến tình trạng răng bị nhiễm Fluor là do cơ thể người bệnh đã hấp thụ quá nhiều Fluor
3.1 Sử dụng những loại thuốc có chứa Fluor
Đây là một trong những nguyên nhân phổ biến nhất dẫn tới tình trạng nhiễm Fluor ở răng. Điều này là do việc sử dụng các loại thuốc có thể gây ra khó khăn trong kiểm soát lượng Fluor nạp vào trong cơ thể. Vì vậy, khi sử dụng thuốc, người bệnh cần tuyệt đối tuân thủ theo đúng liều lượng bác sĩ đã quy định.
Bên cạnh đó, nhiều bậc phụ huynh do lo ngại men răng của trẻ yêu. Do đó, lượng thuốc uống Fluor của trẻ đã được tăng lên nhằm giúp cho răng chắc khỏe. Thế những, điều này có thể khiến phản tác dụng khi sử dụng lượng thuốc một cách quá mức.
3.2 Sử dụng nguồn nước có chứa hàm lượng Fluor quá mức
Trường hợp này là do nguồn nước sinh hoạt sử dụng. Đó phải được đảm bảo nguồn nước sạch, nồng độ các chất không vượt mức cho phép. Khi sử dụng lâu dài nguồn nước chứa nhiều Fluor sẽ khiến người dùng dễ bị nhiễm Fluor.
3.3 Sử dụng những loại thực phẩm giàu Fluor
Khi ta sử dụng những loại thực phẩm chứa nhiều Fluor thì đồng nghĩa với cơ thể đang hấp thụ nguồn Fluor dồi dào. Điển hình như các loại tôm, cua, khoai tây, … Khi đó, nồng độ hoạt chất Fluor trong men răng sẽ tăng cao gây tình trạng răng bị nhiễm màu Fluor.
3.4 Sử dụng các sản phẩm chứa quá nhiều Fluor
Kem đánh răng, nước súc miệng ngày nay thường được bổ sung thêm thành phần Fluor để giúp răng chắc khỏe. Tuy nhiên, nếu sử dụng những sản phẩm này cho không đúng đối tượng sẽ dẫn tới nồng độ Fluor trong cơ thể vượt mức cho phép. Lâu ngày, tình trạng này sẽ dẫn tới răng bị nhiễm Fluor.
4. Các cách điều trị tình trạng răng nhiễm Fluor
4.1 Tẩy trắng răng
Răng bị nhiễm Fluor sẽ gây ảnh hưởng lớn tới tính thẩm mỹ. Đồng thời, hàm răng bị nhiễm Fluor sẽ có men răng yếu, cấu trúc men răng bị phá vỡ khiến răng bị ê buốt, nhạy cảm. Và để tìm lại được hàm răng trắng sáng, khỏe mạnh, nhiều người đã áp dụng phương pháp tẩy trắng răng. Phương pháp này phù hợp với những đối tượng răng bị nhiễm Fluor nhẹ. Tẩy trắng răng sẽ giúp răng trở nên đều màu, trắng sáng hơn, không còn nhưng đốm trắng đục li ti gây mất thẩm mỹ và khiến ta tự ti khi giao tiếp nữa.
4.2 Bọc răng sứ
Với những trường hợp răng bị nhiễm Fluor nặng đã ăn sâu vào ngà răng, màu răng không thể trở về nguyên bản. Khi đó, phương pháp tẩy trắng răng sẽ không đem lại hiệu quả. Thay vào đó, người bệnh nên lựa chọn bọc răng sứ. Đây là phương pháp phục hình thẩm mỹ răng có thể trả lại hàm răng trắng sáng, đều màu.
Thực hiện phương pháp này, bác sĩ sẽ mài bớt một phần nhỏ cùi răng. Sau đó, mão sứ màu trắng đẹp, phù hợp với màu răng thật sẽ được chụp bên ngoài răng để tiến hành phục hình. Khi đó, răng không chỉ được đảm bảo tính thẩm mỹ mà men răng như có thêm lớp bảo vệ.
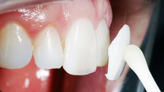
4.3 Làm mặt dán sứ
Phương pháp dán mặt sứ giúp cải thiện tính thẩm mỹ của hàm răng do tình trạng nhiễm Fluor gây ra
Bên cạnh phương pháp bọc sứ, người bị nhiễm Flour ở răng còn có thể lựa chọn làm mặt dán sứ để khắc phục. Không giống với bọc răng sứ, làm mặt dán sẽ sử dụng một mặt sứ mỏng. Mặt sứ này sẽ được dán ở bên ngoài để khắc phục những khuyết điểm về hình thể và màu sắc của răng. Hàm răng sẽ trở nên trắng đẹp, thẩm mỹ và hoàn thiện hơn.
Tuy nhiên, phương pháp dán sứ sẽ chỉ khắc nhược điểm về thẩm mỹ. Với vấn đề về men răng hay bệnh lý, mặt dán sứ sữ không thể giải quyết hoàn toàn.
Tùy vào nhu cầu của người dùng cũng như tình trạng răng miệng cụ thể, mỗi phương pháp sẽ có mức độ phù hợp riêng. Hy vọng với những thông tin trên về tình trạng răng bị nhiễm Flour, mọi người sẽ hiểu rõ hơn. Từ đó, ta sẽ có cách phòng tránh và lựa chọn điều trị phù hợp khi cần thiết.

















