Cách điều trị răng ố vàng và có cao răng hiệu quả
Hầu hết mọi người đều gặp phải tình trạng răng ố vàng và có cao răng. Nguyên nhân phổ biến của hiện tượng này chính là vệ sinh răng miệng không đúng cách. Vậy tình trạng này cần xử lý như thế nào?
1. Răng ố vàng và có cao răng là gì?
1.1 Răng ố vàng là gì?
Răng ố vàng là tình trạng răng không giữ nguyên được màu sắc nguyên bản mà bị chuyển sang những màu sắc khác như màu ngà, nâu đen hay vàng. Tình trạng này không chỉ tiềm ẩn bệnh lý mà còn gây mất thẩm mỹ, khiến cho người bệnh cảm thấy tự ti khi giao tiếp.
1.2 Cao răng là gì?
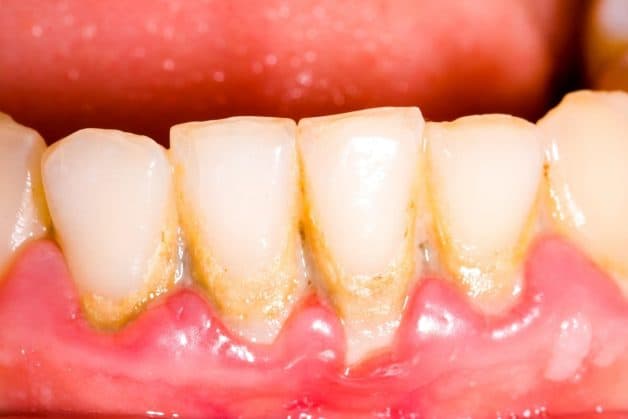
Cao răng là tình trạng những mảng bám không được làm sạch, lâu ngày cứng dần và hình thành cao răng. Cao răng là sự kết hợp của nhiều thành phần như chất lắng cặn cứng muối vô cơ, cặn mềm, vi khuẩn, xác tế bào biểu mô và lắng đọng huyết thanh.
Răng ố vàng và hình thành cao răng là tình trạng phổ biến mà nhiều người gặp phải
2. Răng ố vàng và có cao răng hình thành do đâu?
2.1 Nguyên nhân hình thành răng ố vàng
– Chải răng không đúng hoặc không thực hiện chải răng hàng ngày.
– Vi khuẩn từ ổ sâu răng gây đổi màu răng.
– Men răng bẩm sinh không tốt.
– Chế độ ăn uống không lành mạnh: Ăn đồ chứa nhiều gia vị, có màu đậm, uống những đồ có gas, cà phê, trà….
– Chỉ đánh răng chứ không kết hợp với các phương pháp làm sạch khác như súc miệng, dùng chỉ nha khoa, tăm nước…
– Bị tác dụng phụ của thuốc điều trị tâm lý.
– Biểu hiện của một số bệnh lý liên quan đến đường hô hấp, bệnh tim mạch, đái tháo đường…
– Men răng yếu dần do tuổi tác.
2.2 Nguyên nhân khiến cao răng hình thành
Ngoài những nguyên nhân như vệ sinh răng miệng không đúng cách và thường xuyên, kết hợp với các phương pháp làm sạch thì nguyên nhân hình thành cao răng còn do một số nguyên nhân như:
– Chế độ ăn dư thừa đường.
– Không đến thăm khám nha khoa định kỳ và lấy cao răng.
3. Cách điều trị răng ố vàng và cao răng
Để điều trị hiệu quả tình trạng này, bạn cần đến các cơ sở nha khoa uy tín để được bác sĩ kiểm tra xem mức độ bệnh và đưa ra phương án điều trị phù hợp.
Lựa chọn các cơ sở nha khoa uy tín giúp người bệnh an tâm thực hiện, an tâm về chất lượng cũng như không lo biến chứng ảnh hưởng đến sức khoẻ
3.1 Điều trị tình trạng cao răng
Vì cao răng đã đóng cứng ở bề mặt răng và không thể lấy đi bằng các phương pháp vệ sinh tại nhà thông thường nên bạn cần đến các cơ sở nha khoa để bác sĩ dùng các dụng cụ chuyên dụng lấy đi những mảng vôi cứng và không gây ảnh hưởng đến những vùng xung quanh. Sau khi lấy cao răng, bác sĩ sẽ hướng dẫn bạn những cách vệ sinh răng miệng hiệu quả ở nhà để ngăn chặn tình trạng cao răng lại hình thành như cách đánh răng đúng chuẩn, cách kết hợp các phương pháp làm sạch răng miệng toàn diện.
3.2 Điều trị răng ố vàng
Có nhiều phương pháp điều trị răng ố vàng khác nhau tuỳ vào tình trạng mà người bệnh mắc phải như:
– Lấy cao răng
Lấy cao răng cũng là một cách hiệu quả vì lớp cao răng có nhiều màu khác nhau như vàng, nâu, nâu đậm và có chứa nhiều vi khuẩn gây hại.
– Tẩy trắng răng
Hiện nay, tại các bệnh viện lớn đều áp dụng công nghệ tẩy trắng răng tân tiến, kết hợp giữa thuốc tẩy trắng răng cao cấp với đèn led chiếu vào. Sau quá trình tẩy trắng răng, răng sẽ bật tone rõ ràng, không bị kích ứng mô nướu và an toàn với sức khoẻ.
– Dán sứ veneer
Dán sứ veneer là phương pháp mài một lớp rất mỏng trên bề mặt răng sau đó gắn mặt sứ siêu mỏng chỉ khoảng 0.2 – 0.5mm lên. Chất liệu sứ này có màu sắc tự nhiên tương tự răng thật, độ bền cao và bảo vệ được tuỷ răng. Phương pháp này được rất nhiều khách hàng ưa chuộng và lựa chọn.
– Bọc răng sứ
Với phương pháp này, bác sĩ sẽ tiến hành mài cùi răng thật, sau đó bọc răng sứ giả bên ngoài. Bọc răng sứ cần được thực hiện ở các cơ sở y tế uy tín – nơi có các loại răng được nhập khẩu có chất lượng cao, quy trình bọc răng được thực hiện an toàn, đúng chuẩn và bác sĩ giàu kinh nghiệm tính toán kỹ lưỡng độ dày cùi răng cần mài.
4. Răng ố vàng và cao răng điều trị ở đâu?
Khoa Răng Hàm Mặt – Hệ thống Y tế Thu Cúc TCI là một trong những cơ sở nha khoa uy tín hàng đầu điều trị hiệu quả tình trạng răng ố vàng và cao răng với những ưu điểm như:
– Các máy móc, thiết bị sử dụng trong nha khoa đều được nhập khẩu từ nước ngoài như Đức, Mỹ, Nhật….
– Đội ngũ y bác sĩ giàu kinh nghiệm, luôn nhẹ nhàng và ân cần với người bệnh.
– Điều dưỡng tận tình và chu đáo với người bệnh.
– Áp dụng BHYT và BHBL, giúp người bệnh tiết kiệm tối đa chi phí.
– Vô vàn tiện ích đến từ top 3 bệnh viện tư tốt nhất thành phố Hà Nội.
Người bệnh đến Thu Cúc được thăm khám và điều trị bởi đội ngũ bác sĩ giàu kinh nghiệm và hệ thống máy móc hiện đại
Bài viết trên của chúng tôi đã cung cấp những thông tin hữu ích về “răng ố vàng và cao răng”. Để điều trị tình trạng này hiệu quả, hãy lựa chọn các cơ sở nha khoa uy tín với đội ngũ bác sĩ có tay nghề chuyên môn cao nhé.


















