Cách chữa răng sâu an toàn và hiệu quả
Những ai đã từng bị sâu răng thì chắc chắn đều cảm thấy sợ hãi trước những cơn đau dữ dội của bệnh gây nên. Các cơn đau ảnh hưởng rất lớn đến ăn uống, sinh hoạt và chất lượng cuộc sống của bệnh nhân. Nếu không chữa trị kịp thời, sâu răng sẽ gây hại đến tủy và thậm chí là cả xương. Nên tìm hiểu về biện pháp phòng ngừa cũng như cách chữa răng sâu an toàn, hiệu quả lâu dài là việc cực kỳ nên làm.
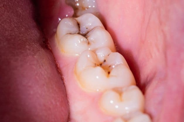
Rãnh răng chuyển đen là dấu hiệu điển hình cảnh báo sâu răng.
1. Biến chứng của sâu răng và tính cấp thiết khi điều trị sâu răng
Nên chú ý tới các biến chứng nguy hiểm của bệnh sâu răng, sâu răng vào tủy để thấy được tính cấp thiết trong việc điều trị bệnh sâu răng:
– Răng sâu vào tủy dẫn đến viêm tủy gây đau nhói
– Gây ra các cơn đau đớn dữ dội ảnh hưởng đến sinh hoạt. Đau dữ dội hơn khi viêm vào tủy buồng, tủy chân.
– Lợi bị sưng đau
– Hơi thở có mùi khó chịu
– Nếu sâu răng lan rộng sẽ khiến nứt vỡ thân răng, chân răng gây khó khăn hoặc không thể bảo tồn răng
– Viêm nhiễm chóp răng khiến người bệnh bị sưng đau mặt, tạo thành các ổ áp xe
– Ảnh hưởng đến xương, gây viêm xương hàm. Khi này, ổ nhiễm trùng đã khó kiểm soát hơn rất nhiều. Nguy cơ gây hại đến sức khỏe toàn thân khi xương hàm bị phá hủy, ảnh hưởng thần kinh.
– Mất răng vĩnh viễn
– Ăn uống kém, sụt cân, ảnh hưởng đến tâm lý
Răng sâu cần được chữa trị kịp thời trước khi để tình trạng viêm nhiễm lan vào tùy. Bạn cần đến gặp bác sĩ để được thăm khám và đưa ra phác đồ điều trị phù hợp với từng tình trạng, mức độ sâu khác nhau. Do đó, để đảm bảo sức khỏe răng miệng và bảo vệ sức khỏe toàn thân thì đừng chần chừ việc đi khám và điều trị sớm.
Sâu răng cần được điều trị bởi các bác sĩ chuyên khoa có chuyên môn.
3. Các phương pháp chữa trị sâu răng
Việc điều trị sâu răng cần đảm bảo:
– Bảo tồn tối đa và kịp thời răng bị sâu
– Ngăn chặn viêm nhiễm, ngăn chặn tiến triển sâu răng, tránh tổn hại tủy
– Ngăn chặn ảnh hưởng đến các răng khác
Dưới đây là các cách chữa răng sâu phổ biến, được ghi nhận mang lại kết quả cao, đảm bảo an toàn và sức khỏe tốt.
3.1. Điều trị bằng Fluor
Với răng sâu nhẹ, mới có biểu hiện sâu, chưa bị phá hủy nhiều, bác sĩ có thể cân nhắc cho bệnh nhân điều trị bằng Fluor. Cách chữa răng sâu này đơn giản và bệnh nhân có thể tự thực hiện tại nhà theo sự hướng dẫn của bác sĩ. Bệnh nhân có thể được điều trị bằng các loại gel, bọt,… chải lên bề mặt răng. Hoặc chỉ đơn giản là sử dụng kem đánh răng, nước súc miệng có chứa Fluor để vệ sinh răng hàng ngày. Fluor có tác dụng hình thành và tái khoáng men răng, tạo ngà răng. Nó không chỉ có tác dụng quan trọng trong điều trị mà còn có tác dụng ngừa sâu răng.
3.2. Trám (hàn) răng sâu
Các bác sĩ sử dụng vật liệu trám răng để bù đắp vào phần răng bị phá hủy, trả lại hình dáng ban đầu của răng. Đây là thủ thuật phục hình và điều trị răng sâu phổ biến, không gây đau nhức cho bệnh nhân. Sau khi hàn răng bệnh nhân có thể ăn uống bình thường. Miếng trám răng sâu có độ bền khá cao. Tuy nhiên vẫn có thể bị rơi, nứt nếu được tạo hình bằng vật liệu không tốt và thực hiện sai kỹ thuật. Bên cạnh đó, để phần trám răng bền bỉ và sớm trở về sinh hoạt bình thường, bệnh nhân cần tuân theo các chỉ dẫn của bác sĩ như: hạn chế đồ ăn quá nóng lạnh ngay sau khi hàn, lực cắn, nhai vừa phải, bảo vệ răng, hàm khi tham gia các hoạt động thể chất mạo hiểm,…
3.3. Bọc răng sứ
Nếu bệnh nhân bị sâu răng nặng, bác sĩ tiến hành điều trị tủy rồi tiến hành bọc sứ cho răng bị sâu. Răng sứ đảm bảo tính thẩm mỹ và chức năng ăn nhai mà vẫn bảo tồn được răng thật. Quá trình bọc sứ bắt buộc phải mài cùi răng thật có thể gây nên một số khó chịu cho bệnh nhân. Tuy nhiên, sẽ không có vấn đề gì xảy ra nếu kỹ thuật mài cùi răng được thực hiện chính xác với tỉ lệ chuẩn. Lưu ý, không phải bệnh nhân nào cũng có thể thực hiện bọc răng sứ, kỹ thuật này chỉ được thực hiện khi răng còn khỏe mạnh, còn nguyên vẹn.
Hình ảnh minh họa chữa sâu răng bằng trám răng.
3.4. Nhổ bỏ răng và phục hình
Trong trường hợp xấu nhất, không thể bảo tồn được răng thì bác sĩ nha khoa sẽ chỉ định nhổ bỏ răng sâu. Việc nhổ bỏ răng giúp hạn chế lây lan sâu răng sang các răng bên cạnh. Nếu sâu răng lan sang răng bên cạnh thì có khả năng sẽ khó bảo tồn răng đó, có nguy cơ phải nhổ bỏ cả răng liên quan. Nhổ bỏ răng cũng ngăn chặn tình trạng viêm nhiễm lan xuống tủy răng, bảo vệ tủy răng.
Sau khi nhổ bỏ răng, các bác sĩ tiến hành phục hình bằng nhiều phương pháp:
– Cầu răng sứ: mài nhỏ 2 răng bên cạnh và gắn cầu răng sứ
– Bọc sứ: như đã đề cập bên trên
– Cấy ghép răng Implant
Răng đã mất cần được thay thế để không làm ảnh hưởng cả hàm răng. Nếu để trống răng, các răng khác sẽ bị xô lệch và có nguy cơ ảnh hưởng đến xương.
Lưu ý: Hiệu quả của cách chữa răng sâu bằng phương pháp dân gian, các loại lá như: tía tô, lá lốt,… chỉ là truyền miệng. Tác dụng của các loại lá hay bài thuốc này chưa được khoa học chứng minh. Do đó, tuyệt đối không nên dùng cách này để chữa trị sâu răng. Sâu răng để lâu dài sẽ đem lại những biến chứng khó lường và thậm chí không thể bảo tồn răng. Do vậy, khi cảm nhận được các cơn đau nhức răng, điều bạn nên làm là đến các bệnh viện, cơ sở y tế uy tín để được điều trị kịp thời, an toàn.
Khoa học công nghệ và nền y học ngày càng phát triển thì ngày càng có nhiều cách chữa răng sâu an toàn, đạt hiệu quả cao đảm bảo bảo tồn răng và sức khỏe của bệnh nhân. Vì vậy, hãy thông thái lựa chọn các cơ sở y tế uy tín để điều trị răng sâu thay vì tự ý điều trị tại nhà bằng các phương pháp truyền miệng. Đặc biệt, nếu đối tượng là trẻ em thì việc chữa trị càng cần phải cẩn trọng. Chữa trị răng sâu kịp thời giúp cả quá trình mọc răng của trẻ được thuận lợi hơn và đảm bảo hàm răng bé luôn đều đặn, khỏe mạnh. Lựa chọn Nha khoa Thu Cúc TCI để được chăm sóc sức khỏe răng miệng tốt hơn.

















