Bệnh viêm lợi: Dấu hiệu và cách điều trị
Bệnh viêm lợi là loại bệnh phổ biến có thể gặp ở bất cứ đối tượng nào. Không chỉ gây cảm giác đau đớn, viêm lợi còn ảnh hưởng đến sinh hoạt cũng như giao tiếp thường ngày của người bệnh. Vậy dấu hiệu và cách điều trị bệnh như thế nào, theo dõi bài viết để được giải đáp bạn nhé!
1. Sơ lược về bệnh viêm lợi
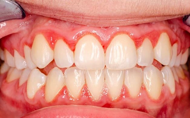
Lợi là bộ phận có nhiệm vụ bảo vệ, che chở và giữ cho chân răng luôn được chắc chắn. Khi vi khuẩn trong mảng bám hoặc cao răng tồn tại ở lâu trong miệng có thể dẫn đến bệnh viêm lợi. Đây cũng chính là nguyên nhân hàng đầu khiến cho lợi dễ bị tổn thương, tạo môi trường lý tưởng cho vi khuẩn xâm nhập và gây viêm nhiễm. Vi khuẩn phát triển phần lớn từ các mảng bám trên răng, trong vòng 24 tiếng, các mảng bám sẽ tích tụ và trở nên cứng hơn, từ đó hình thành cao răng. Thông thường, với các biện pháp vệ sinh răng khác thì sẽ không thể làm sạch cao răng, lúc này bắt buộc phải cần đến các thiết bị nha khoa chuyên dụng.
Nhìn chung, vi khuẩn ở mảng bám tồn tại càng lâu thì mức độ nghiêm trọng sẽ càng lớn. Với viêm lợi, đây không phải là một bệnh quá nguy hiểm, tuy nhiên bệnh sẽ gây ra cảm giác khó chịu, khiến cho chúng ta mất tự tin khi giao tiếp.
Khi vi khuẩn trong mảng bám hoặc cao răng tồn tại ở lâu trong miệng có thể dẫn đến bệnh viêm lợi
2. “Điểm danh” các dấu hiệu dễ nhận biết của bệnh viêm lợi
Ở giai đoạn đầu, viêm lợi thường không có biểu hiện quá rõ ràng, tuy nhiên, bạn vẫn có thể nhận diện viêm lợi qua những dấu hiệu cơ bản như:
– Lợi sưng tấy, là tình trạng lợi bị sưng phồng lên, khi chạm vào có cảm giác đau nhói. Đặc biệt, mỗi khi ăn cũng sẽ có cảm giác đau nhức, khó chịu
– Lợi có sự thay đổi màu sắc, ở lợi khỏe mạnh bình thường thì sẽ có màu hồng nhạt, tuy nhiên lợi khi bị viêm sẽ chuyển dần sang màu đỏ hoặc là đỏ sẫm
– Lợi dễ chảy máu ngay cả khi chỉ chịu một va chạm nhẹ như là khi đánh răng hay khi xỉa răng bằng tăm
– Xuất hiện mảng bám, hay cao răng bám ở cổ răng, dưới nướu răng hoặc kẽ răng, đây có thể nói là dấu hiệu phổ biến nhất có thể dẫn đến tình trạng viêm lợi
– Chân răng bị tụt lợi, giữa răng và lợi xuất hiện những khoảng trống, khá sâu (đây còn có thể gọi là túi lợi). Khe hở này sẽ là nơi trú ẩn lý tưởng của vi khuẩn gây hại cho lợi
– Hơi thở có mùi hôi, từ mức độ nhẹ đến mức độ nặng. Trong đó, tác nhân hàng đầu gây hôi miệng có thể là do cao răng, bởi sự xuất hiện của cao răng, các mảng bám hay vi khuẩn hay những hạt thức ăn đang phân hủy trong miệng, khiến cho tình trạng hôi miệng ngày một trầm trọng hơn ngay cả khi bạn đã vệ sinh răng miệng sạch sẽ.
3. Cách điều trị bệnh viêm lợi thế nào?
Theo các chuyên gia nha khoa, nguyên nhân điển hình của bệnh viêm lợi chủ yếu xuất phát từ cao răng. Thông thường, với những mảng bám, cao răng, việc đánh răng hàng ngày thực tế sẽ không phát huy hiệu quả 100% các mảnh vụn thức ăn, lâu ngày sẽ tích tụ và hình thành các mảng bám, sau đó sản sinh ra cao răng. Do đó, tốt hơn hết, ngay khi gặp các vấn đề về răng miệng thì bạn nên thăm khám với bác sĩ, đặc biệt là khi có tình trạng nướu sưng, tấy đỏ thì cần can thiệp điều trị ngay lập tức để tránh gây nguy hiểm cho sức khỏe.
Bên cạnh đó, bạn cũng có thể thử áp dụng một số liệu pháp điều trị viêm lợi ngay tại nhà, lưu ý hiệu quả còn phụ thuộc vào mỗi trường hợp cũng như tham khảo ý kiến của bác sĩ chuyên khoa trước khi tiến hành bất cứ phương pháp điều trị nào.
Dưới đây là một số phương pháp được nhiều người bệnh đánh giá cao mà bạn có thể tham khảo:
3.1. Sử dụng nước muối để chữa viêm lợi
Dùng nước muối có thể nói là một trong những biện pháp chữa viêm lợi dễ thực hiện và đơn giản nhất. Cách thực hiện tương đối nhanh, bạn có thể pha một chút nước muối vào cốc nước ấm và súc miệng khoảng 3 lần/ngày để có thể loại bỏ mảng bám, làm sạch lợi, cải thiện tình trạng viêm cũng như triệu chứng sưng tấy.
3.2. Vệ sinh răng miệng thường xuyên, sạch sẽ
Ở giai đoạn đầu, viêm lợi hoàn toàn có thể được kiểm soát bằng chế độ vệ sinh răng miệng đúng cách. Tốt hơn hết, bạn vẫn nên đến nha khoa lấy cao răng, đồng thời bác sĩ sẽ thực hiện loại bỏ các yếu tố kích thích tại chỗ.
Xây dựng chế độ vệ sinh răng miệng phù hợp là một trong những biện pháp điều trị viêm lợi hữu ích
3.3. Sử dụng tinh dầu sả
Tinh dầu sả có tác dụng đánh bay mảng bám cũng như mang lại hiệu quả chữa viêm lợi cao gấp 2 lần nước súc miệng chứa chlorhexidine. Do đó, đây sẽ là một “vũ khí cần thiết” để tiêu diệt viêm lợi.
Cách thực hiện tương đối đơn giản, bạn nên sử dụng dung dịch tinh dầu sả pha loãng với khoảng 225ml nước để thực hiện súc miệng hàng ngày, lưu ý mỗi lần súc miệng ít nhất khoảng 30 giây. Bạn chú ý pha loãng khi súc miệng để đảm bảo an toàn, tránh gây thêm kích ứng cho lợi.
3.4. Uống nước mật ong
Mật ong là thực phẩm vô cùng hữu dụng trong đời sống hàng ngày, đây cũng là thực phẩm có tính kháng khuẩn, giảm viêm tự nhiên và vô cùng lành tính. Không chỉ có vậy, mật ong cũng có khả năng làm ức chế sự phát triển của vi khuẩn gây tổn thương lợi. Do đó, có 2 cách hữu ích để sử dụng mật ong trị viêm lợi bao gồm:
– Buổi sáng sau khi đánh răng, bôi trực tiếp mật ong vào vị trí bị viêm nhiễm
– Sau 15 đến 20 phút thì nên súc miệng lại với nước, thực hiện khoảng 3 lần/ngày để đảm bảo mang lại hiệu quả cao
– Đánh răng sạch sẽ, súc miệng trong khoảng 10 phút với các dung dịch mật ong, chanh và nước ấm
Sau khoảng từ 3 đến 5 ngày, tình trạng viêm lợi sẽ giảm đi rõ rệt, bạn có thể áp dụng trong những ngày tiếp theo để khỏi hẳn.
Đừng quên thăm khám với bác sĩ nếu như có những dấu hiệu nghiêm trọng
Hi vọng với những thông tin mà bài viết cung cấp đã giúp bạn có thể hình dung chi tiết về bệnh viêm lợi. Nhìn chung, đây không phải là một chứng bệnh quá nguy hiểm, tuy nhiên để đảm bảo sức khỏe răng miệng không bị ảnh hưởng thì tốt hơn hết bạn vẫn nên thăm khám với bác sĩ chuyên khoa từ sớm nhằm có phương hướng điều trị kịp thời.


















