6 Tháng cạo vôi răng 1 lần có thực sự tốt
Cụm từ “6 tháng cạo vôi răng 1 lần” luôn được nhấn mạnh bởi các chuyên gia Nha khoa Thu Cúc TCI trong mỗi cuộc kiểm tra và điều trị nha khoa. Tuy vậy, có lẽ bạn đang tự hỏi tại sao lại chọn 6 tháng mà không phải là một khoảng thời gian khác. Vậy 6 tháng cạo vôi răng 1 lần có thực sự tốt? Trong bài viết dưới đây, hãy để Thu Cúc TCI giải đáp điều này cho bạn ngay bây giờ.
1. Tìm hiểu về khái niệm và quá trình hình thành vôi răng
Khái niệm cao răng đề cập đến những cặn xỉn màu và cứng chắc tích tụ trên bề mặt răng. Ban đầu, các cặn chỉ xuất hiện dưới dạng mảng bám. Tuy nhiên, nếu răng miệng không được chăm sóc đúng cách, mảng bám sẽ trở thành cao răng. Nó có sau khi vôi hóa chặt chẽ dưới ảnh hưởng của muối canxi photphat và canxi cacbonat có trong nước bọt.
Quá trình loại bỏ cao răng là một thủ thuật nha khoa đơn giản với nha sĩ. Trong đó, bác sĩ sử dụng các công cụ chuyên dụng để loại bỏ cao răng từ bề mặt răng. Phương pháp này đảm bảo rằng răng miệng được bảo vệ khỏi những tác động tiêu cực của cao răng. Ví dụ như:
– Gây mùi miệng:
Vi khuẩn trên cao răng phân giải thức ăn và tạo ra các chất gốc sulfur. Chất này là nguồn gốc gây mùi khó chịu trong hơi thở.
– Gây viêm vùng nướu và chân răng:
Các chất độc hại từ vi khuẩn có thể gây viêm nướu và chân răng, khiến cho nướu sưng và đau rát.
– Viêm nha chu:
Tình trạng viêm nướu và chân răng kéo dài có thể phát triển thành viêm nha chu, tạo ra nhiều đau đớn và bất tiện.
– Chảy máu chân răng:
Khi nướu và chân răng bị viêm, chảy máu chân răng có thể xảy ra. Nếu không xử lý chảy máu chân kịp thời có thể trở nên nguy hiểm.
2. 6 tháng cạo vôi răng 1 lần có thực sự tốt không?
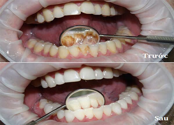
Tại sao cần thực hiện quy trình mỗi 6 tháng cạo vôi răng 1 lần? Cao răng có thể tái phát nếu người bệnh không duy trì vệ sinh răng miệng. Thậm chí 2 yếu tố duy trì chế độ ăn uống và lối sống cũng có ảnh hưởng. Thời gian hình thành cao răng trung bình kéo dài từ 3 đến 6 tháng sau khi thực hiện quy trình lấy cao răng.
Cạo vôi răng sẽ ngăn chặn các vấn đề về sức khỏe răng miệng (minh họa).
Vì lý do này, sau ít nhất 6 tháng từ lần cạo vôi răng trước đó phải tái khám. Sau đó, bác sĩ sẽ làm sạch cao răng định kỳ tại các cơ sở nha khoa. Điều này không chỉ giúp duy trì sức khỏe của răng mà còn ngăn chặn sự tái phát của cao răng.
Hơn nữa, khoảng thời gian 6 tháng cũng được các chuyên gia nha khoa khuyến cáo là thời điểm lý tưởng để thăm khám sức khỏe răng miệng định kỳ. Đây là cơ hội tốt để phát hiện sớm và ngăn chặn các vấn đề về sức khỏe răng miệng.
3. Một số thắc mắc phổ biến về quá trình lấy cao răng
Bên cạnh vấn đề tại sao cần thực hiện lấy cao răng định kỳ sau 6 tháng, khách hàng còn thắc mắc rất nhiều vấn đề. Cụ thể, Thu Cúc TCI sẽ giải đáp một số thắc mắc quan trọng gồm:
3.1 Có thể tự lấy cao răng tại nhà không?
Tuy có thể tự lấy cao răng tại nhà, nhưng chỉ thích hợp cho cao răng ở cấp độ 1. Bởi lúc này với mảng bám mỏng và mềm sẽ dễ lấy hơn. Đối với trường hợp nặng hơn, khi cao răng cứng chắc, việc tự làm sạch trở nên khó khăn. Tự lấy cao răng còn mang theo nhiều rủi ro cho sức khỏe răng do kỹ thuật không chính xác. Nó cũng có thể làm tổn thương mô mềm và nguy cơ chảy máu từ các biện pháp tẩy cao răng. Do đó, để đảm bảo hiệu quả và an toàn tối đa, việc đến các cơ sở nha khoa để được sự hỗ trợ chuyên nghiệp là lựa chọn khôn ngoan nhất.
3.2 Lấy cao răng có gây đau không?
Quá trình lấy cao răng hoàn toàn không đau, bạn có thể cảm nhận một ít ê nhẹ trong quá trình thực hiện. Cảm giác này sẽ nhanh chóng giảm đi sau khoảng 2-3 giờ sau khi quá trình làm sạch cao răng hoàn thành.
Nếu bạn trải qua đau lúc lấy cao răng, đó có thể là do kỹ thuật thực hiện không đúng. Vì vậy, để đảm bảo an toàn và thoải mái, việc chọn các cơ sở nha khoa uy tín như Thu Cúc TCI là quan trọng.
Bác sĩ đang thực hiện lấy cao rang cho bệnh nhân tại TCI (minh họa).
3.3 Cao răng có thể tự bong không?
Cao răng không thể tự bong tróc, vì chúng có cấu trúc rất chắc chắn. Ngay cả khi sử dụng biện pháp tẩy cao răng từ nguyên liệu tự nhiên cũng hiệu quả ít. Vì chúng chỉ có thể bào mòn một phần mỏng ở bề mặt mà không tác động sâu. Để đạt được sự làm sạch cao răng hoàn hảo, quan trọng nhất là sử dụng các công cụ nha khoa chuyên dụng. Vì vậy, bạn nên đặt lịch kiểm tra và lấy cao răng ở phòng nha khoa mỗi 6 tháng một lần, đồng thời kiểm tra tình trạng sức khỏe răng miệng. Hãy duy trì vệ sinh răng miệng bằng cách thiết lập một chế độ ăn uống lành mạnh. Điều này sẽ giúp giảm thiểu khả năng cao răng quay trở lại một cách tối đa!
4. Quy trình 6 tháng cạo vôi răng 1 lần như thế nào?
4.1 Kiểm tra sức khỏe răng toàn diện
Trước khi thực hiện bất kỳ liệu pháp nha khoa nào, bác sĩ sẽ thực hiện một cuộc kiểm tra tổng quát về tình trạng sức khỏe răng của bệnh nhân.
Quy trình cạo vôi răng tại nha khoa khá đơn giản với chi phí hợp lý.
4.2 Vệ sinh khu vực miệng
Trước tiên, bệnh nhân sẽ được làm sạch khu vực miệng bằng dung dịch sát khuẩn. Bước này là quan trọng để đảm bảo vệ sinh miệng, ngăn chặn sự phát triển của vi khuẩn và ngăn ngừa tình trạng viêm nhiễm. Từ đó tránh các vấn đề không mong muốn sau lấy vôi răng.
4.3 Loại bỏ cặn bám trên răng
Đầu tiên, bác sĩ sẽ tẩy rửa những cặn bám chặt trên bề mặt răng và cổ răng. Mục đích để loại bỏ những mảng cao răng ẩn sâu dưới nướu, khó nhận biết. Bác sĩ sử dụng công nghệ siêu âm không đau, với sóng rung nhẹ để loại bỏ mảng bám. Những mảng bám này chứa thức ăn và vi khuẩn, trên răng và nướu. Công nghệ này đảm bảo sự nhanh chóng và hiệu quả, kể cả khi cặn bã thức ăn và vi khuẩn nằm ẩn sâu dưới nướu hoặc giữa các kẽ răng.
4.4 Tạo bóng và làm sáng răng
Cuối cùng, trong quá trình làm sạch răng, bác sĩ sẽ loại bỏ các vết cao răng còn sót lại và sử dụng chổi và thuốc đánh bóng chuyên dụng để làm cho bề mặt răng trở nên trắng sáng và mịn màng hơn. Điều này cũng giúp ngăn chặn sự tích tụ của cặn thức ăn và vi khuẩn trên bề mặt răng.
Hy vọng những thông tin 6 tháng cạo vôi răng 1 lần có thực sự tốt đã giải đáp thắc mắc cho bạn. Với việc cao răng tồn tại trong thời gian dài, không chỉ gây mất thẩm mỹ mà còn tạo ra nhiều rủi ro đối với sức khỏe răng miệng. Chính vì vậy, các chuyên gia nha khoa khuyến cáo thực hiện quy trình loại bỏ cao răng định kỳ, nên từ 3 đến 6 tháng một lần là khoảng thời gian lý tưởng.


















