Nội soi tiêu hóa công nghệ NBI hiện đại không đau
Không còn lo lắng gặp phải các cảm giác khó chịu, buồn nôn… hiện nay, việc nội soi tiêu hóa đã trở nên dễ chịu và đơn giản hơn rất nhiều. Ngoài ra, nhờ các phương pháp tiên tiến, các bệnh lý đường tiêu hóa cũng được phát hiện dễ dàng, chính xác ngay từ giai đoạn sớm và rất sớm.
Nỗi ám ảnh mang tên nội soi tiêu hóa
Nói đến nội soi tiêu hóa, rất nhiều người thường nghĩ ngay đến cảm giác khó chịu, buồn nôn… khi thực hiện. Điều này trở thành nỗi ám ảnh khiến nhiều người trì hoãn việc nội soi để kiểm tra mặc dù gặp phải các vấn đề về tiêu hóa.
Với nhiều người, nội soi tiêu hóa là 1 trong những nỗi ám ảnh
Kể về lần khi nội soi dạ dày trước đây, chị T.A (34 tuổi, Bắc Ninh) cho biết: “Cách đây 5 năm mình bị đau thượng vị, đi khám thì được bác sĩ chỉ định nội soi dạ dày. Cảm giác khó chịu buồn nôn cứ ám ảnh mình mãi nên rất lâu sau cũng không dám đi nội soi kiểm tra lại.”
Dù chưa từng đi nội soi tiêu hóa bao giờ nhưng chị T.H (43 tuổi, Thanh Hóa) cũng vẫn cảm thấy lo lắng và e ngại: “Tôi thường xuyên bị đau thượng vị đầy hơi khó tiêu tuy nhiên nghe nhiều người nói đi khám cần phải nội soi rất đau và khó chịu nên sợ, nhiều lần định đi nội soi nhưng sau đó lại thôi.”
Không chỉ chị T.A hay chị T.H, rất nhiều người cũng có cùng chung nỗi sợ hãi mang tên nội soi. Điều này sẽ gây ảnh hưởng không nhỏ tới sức khỏe bởi nhiều người do lo lắng đã trì hoãn hoặc không đi nội soi kiểm tra đến lúc phát hiện thì bệnh đã nặng khiến việc điều trị trở nên khó khăn, tốn kém và tiềm ẩn nhiều biến chứng nguy hiểm.
Tuy nhiên, tin vui là hiện nay với các công nghệ nội soi ngày càng hiện đại không chỉ giúp phát hiện nhanh, chính xác nhiều bệnh lý tiêu hóa mà còn cực kì êm ái dễ chịu nhờ đó bạn có thể thoải mái thực hiện nội soi, kiểm tra hệ tiêu hóa khi cần thiết mà không còn phải e ngại như trước.
Công nghệ nội soi dạ dày – đại tràng NBI 5P: Không đau, phát hiện sớm ung thư
Được coi là 1 trong những công nghệ nội soi tiêu hóa tiên tiến bậc nhất hiện nay, NBI 5P không chỉ nổi bật với khả năng phát hiện sớm các bệnh lý tiêu hóa bao gồm cả ung thư mà còn cực kì êm ái, không đau không khó chịu do sử dụng ống nội soi siêu nhỏ. Đây là công nghệ nội soi đang được sử dụng tại Hệ thống y tế Thu Cúc và được đông đảo khách hàng tin tưởng lựa chọn.
Bên cạnh đó khi thực hiện nội soi tại Thu Cúc, khách hàng cũng sẽ được gây mê nhẹ nhàng giúp chìm vào giấc ngủ ngon trong suốt quá trình thực hiện. Các thao tác của bác sĩ cũng được thực hiện vô cùng chuyên nghiệp, nhanh chóng, khéo léo vừa giúp quan sát được toàn diện đường tiêu hóa vừa mang lại cảm giác dễ chịu nhất cho khách hàng.
Quá trình nội soi tiêu hóa tại Thu Cúc không chỉ an toàn mà còn nhẹ nhàng, êm ái
Sau khi trải nghiệm công nghệ nội soi NBI 5P tại Thu Cúc, chị T.A đã không còn cảm thấy sợ nội soi như trước kia: “Nhiều năm không dám đi nội soi cho đến khi mình được chị bạn giới thiệu phương pháp nội soi NBI 5P tại Thu Cúc thực hiện xong mình cảm thấy hoàn toàn bất ngờ vì chỉ cần ngủ 1 giấc dậy là đã xong hết rồi không bị buồn nôn khó chịu như trước kia.”
Tương tự chị T.A chị T.H cũng cảm thấy hoàn toàn hài lòng khi nội soi bằng công nghệ NBI 5P tại Thu Cúc và cho biết sẽ thực hiện nội soi định kì đều đặn để chủ động bảo vệ sức khỏe.
Nhiều khách hàng “thoát” nỗi ám ảnh nội soi nhờ lựa chọn thực hiện tại Thu Cúc
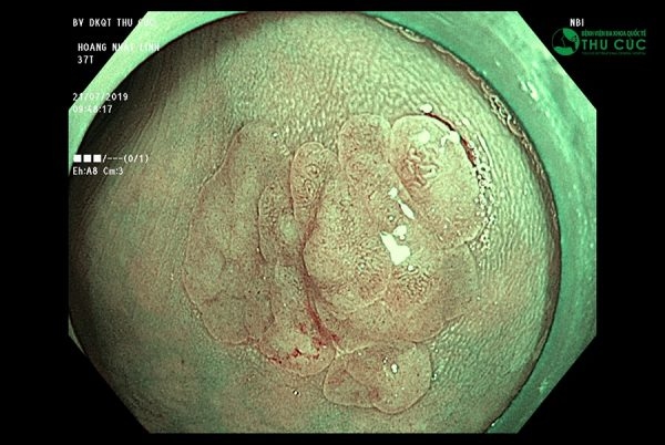
Không chỉ êm ái nhẹ nhàng, công nghệ nội soi NBI 5P tại Thu Cúc còn có khả năng phát hiện sớm ung thư và các bệnh lý tiêu hóa ngay từ khi còn rất sớm nhờ sử dụng dải tần ánh sáng hẹp với 2 bước sóng 415nm và 540nm. Điều này cho phép nội soi NBI quan sát sắc nét dưới lớp niêm mạc từ đó phân tích hình ảnh tập trung cao ở những vùng thiết yếu, phát hiện các biến đổi ở lớp bề mặt niêm mạc ống tiêu hóa và hệ thống mao mạch nông nuôi dưỡng lớp niêm mạc, phát hiện sự tăng sinh bất thường của hệ vi mạch máu nông ở vị trí khối u.
Công nghệ này cũng có khả năng phóng đại hình ảnh lên đến hơn 100 lần nhờ ứng dụng công nghệ Dual Focus hiện đại nhất thế giới, cho phép ống soi tiếp cận vị trí tổn thương ở khoảng cách gần nhất (từ 2 đến 6mm). Nhờ đó bác sĩ có thể phát hiện các tổn thương, khối u, tổ chức tiền ung thư ngay từ khi mới khởi phát. Đây là ưu điểm mà các công nghệ nội soi trước đó không có được.
Công nghệ nội soi NBI 5P có khả năng phát hiện ung thư tiêu hóa
Đặc biệt, lựa chọn nội soi tại Hệ thống y tế Thu Cúc khách hàng cũng sẽ được quan tâm, chăm sóc chu đáo tận tình, không gian rộng rãi, sạch sẽ tiện nghi cũng giúp mang lại cảm giác dễ chịu, hài lòng nhất trong suốt quá trình thực hiện. Sau thực hiện, khách hàng cũng sẽ được miễn phí suất ăn nhẹ giảm cảm giác mệt và đói. Ngoài ra với việc áp dụng đầy đủ bảo hiểm y tế theo quy định và nhiều loại bảo hiểm bảo lãnh Thu Cúc cũng giúp khách hàng tiết kiệm chi phí tối đa. Chỉ cần 1 cuộc điện thoại bạn sẽ dễ dàng đặt lịch thực hiện theo yêu cầu, tiết kiệm thời gian chờ đợi. Đây là 1 trong những lý do ngày càng nhiều khách hàng tin tưởng và lựa chọn nội soi tiêu hóa tại Thu Cúc.











