Các bệnh lý về nướu
Theo thống kê, có tới trên 90% người dân Việt Nam mắc các bệnh lý về nướu. Đây là bệnh lý bắt đầu bằng sự phát triển của các vi khuẩn trong miệng do không vệ sinh đúng cách và có thể kết thúc bằng việc mất răng do mô bao quanh răng bị phá hủy nếu không điều trị. Tại chuyên khoa Răng hàm mặt – Hệ thống Y tế Thu Cúc, với đội ngũ bác sĩ trên 15 năm kinh nghiệm cùng cơ sở vật chất, hệ thống thiết bị nha khoa hiện đại chính là “bản cam kết” tin cậy cho những khách hàng đang mắc các bệnh lý răng miệng nói chung và bệnh lý về nướu nói riêng.
1. Bệnh viêm nướu và các giai đoạn của bệnh
Rất nhiều người gặp bệnh lý về nướu. Đây là bệnh lý nguy hiểm vì có thể dẫn tới mất răng vĩnh viễn nếu không điều trị.
Bệnh nướu răng (còn gọi là viêm lợi) là tình trạng trên lợi xuất hiện những vết sưng đỏ, nhiều mảng bám, dễ gây chảy máu. Các bệnh lý về nướu bao gồm: viêm nướu và viêm nha chu. Viêm nướu là giai đoạn đầu của bệnh, khi bệnh tiến triển nặng mà không được điều trị thì sẽ dẫn tới giai đoạn sau, gọi là viêm nha chu. Ở giai đoạn này, bệnh đã bắt đầu gây hại đến mô nướu và xương ổ nâng đỡ quanh răng, gây tụt nướu, khiến răng bắt đầu lung lay. Nếu như người bệnh vẫn chưa điều trị ngay, bệnh sẽ tiến tới giai đoạn 3 – viêm nha chu tiến triển. Ở giai đoạn này, người bệnh có nguy cơ bị mất răng vĩnh viễn.
2. Nguyên nhân nào gây ra bệnh nướu răng?
Mảng bám răng khi chúng ta không vệ sinh răng miệng sạch sẽ là nguyên nhân chính gây ra các bệnh về nướu. Tuy nhiên, các yếu tố khác có thể góp phần gây ra bệnh nha chu. Bao gồm:
– Những thay đổi về nội tiết tố, đặc biệt thường xảy ra khi người phụ nữ mang thai, dậy thì, mãn kinh hoặc đơn giản là kỳ nguyệt san hàng tháng. Các nguyên nhân này làm cho nướu răng trở nên nhạy cảm hơn, từ đó dễ khiến cho bệnh viêm nướu phát triển.
– Một số bệnh có thể ảnh hưởng đến tình trạng nướu răng như bệnh ung thư hoặc HIV gây suy giảm miễn dịch; người mắc bệnh tiểu đường có nguy cơ cao bị nhiễm trùng răng miệng, bao gồm cả bệnh nha chu và sâu răng.
– Sử dụng một số loại thuốc có thể làm giảm lưu lượng nước bọt – có tác dụng bảo vệ răng và nướu. Một số loại thuốc, chẳng hạn như các thuốc chống co giật chống đau thắt ngực có thể gây ra sự phát triển bất thường của mô nướu.
– Những thói quen xấu như hút thuốc khiến mô nướu khó tự phục hồi, dễ dẫn tới các bệnh răng miệng như viêm nha chu.
– Những thói quen vệ sinh răng miệng kém như không chải răng, chải răng ít, không dùng chỉ nha khoa hàng ngày càng dễ khiến bệnh viêm lợi phát triển.
– Tiền sử gia đình mắc bệnh răng miệng có thể là một yếu tố góp phần vào sự phát triển của bệnh viêm lợi.
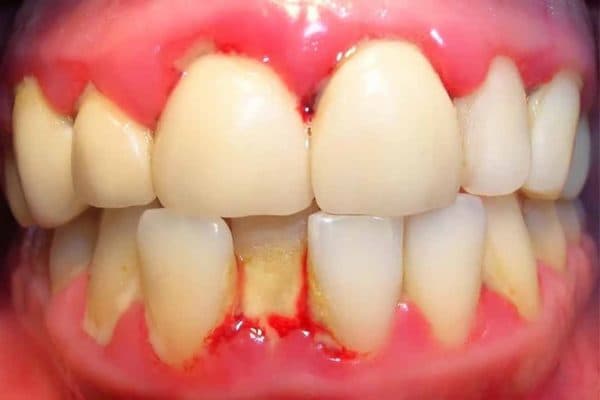
3. Các triệu chứng của bệnh nướu răng
Những người bị bệnh nướu răng dễ bị chảy máu trong và sau khi đánh răng.
Bệnh nướu răng có thể tiến triển không đau, không gây ra dấu hiệu rõ ràng ngay cả ở giai đoạn tiến triển. Mặc dù triệu chứng của bệnh lý về nướu rất tinh vi, nhưng không phải hoàn toàn không có dấu hiệu cảnh báo. Dưới đây là những triệu chứng cảnh báo bạn đang mắc bệnh nướu răng:
– Nướu bị chảy máu trong và sau khi đánh răng
– Nướu đỏ, sưng hoặc mềm
– Hôi miệng dai dẳng
– Tụt nướu
– Hình thành các túi sâu giữa răng và nướu
– Răng lung lay hoặc dịch chuyển
– Những thay đổi về khớp cắn
Ngay cả khi bạn không nhận thấy bất kỳ triệu chứng nào, bạn vẫn có thể mắc bệnh nướu răng ở một mức độ nào đó. Ở một số người, bệnh nướu răng có thể chỉ ảnh hưởng đến một số răng nhất định, chẳng hạn như răng hàm. Chỉ có thăm khám nha sĩ, bác sĩ mới phát hiện ra bệnh nướu và xác định sự tiến triển của bệnh lý về nướu.
4. Khám và chẩn đoán bệnh nướu răng tại Hệ thống TCI
Đội ngũ bác sĩ Răng hàm mặt tại Hệ thống Y tế Thu Cúc là những người giàu kinh nghiệm và tận tâm với khách hàng.
Tại Hệ thống Y tế Thu Cúc TCI, để xác định tình trạng viêm nha chu và giai đoạn tiến triển của bệnh, bác sĩ sẽ thực hiện các biện pháp như:
– Hỏi các triệu chứng đang gặp phải, và kiểm tra miệng để phát hiện tình trạng mảng bám, cao răng và đánh giá xem có dễ chảy máu không.
– Hỏi về tiền sử bệnh của cá nhân, xem xét các yếu tố có thể làm tăng nguy cơ bệnh viêm nướu, chẳng hạn như người bệnh có mang thai không, có thói quen hút thuốc không, hay đang sử dụng một số loại thuốc…
– Dùng đầu dò nha khoa đo độ sâu túi nha chu giữa rãnh của nướu và răng. Những người có nướu khỏe mạnh thì độ sâu của túi nha chu sẽ từ 1 đến 3 mm. Với trường hợp túi sâu trên 4mm là viêm nha chu, và trên 6mm thì không thể làm sạch hẳn được.
– Chụp X-quang răng để kiểm tra tình trạng mất xương ở những khu vực mà bác sĩ đã kiểm tra độ sâu của các túi.
5. Điều trị bệnh nướu răng tại Hệ thống TCI
Mục tiêu của điều trị bệnh nướu răng là khôi phục lại sự khỏe mạnh của nướu và răng như giảm sưng, giảm độ sâu của túi và giảm nguy cơ nhiễm trùng, đồng thời ngăn chặn sự tiến triển của bệnh dẫn tới mất răng. Các lựa chọn điều trị phụ thuộc vào giai đoạn bệnh, cách đáp ứng với điều trị của mỗi người bệnh và sức khỏe tổng thể của họ.
Làm sạch bằng cách cạo vôi răng và đánh bóng bề mặt chân răng là bước đầu tiên trong quá trình điều trị bệnh nướu răng.
Các phương pháp điều trị được áp dụng tại Thu Cúc bao gồm:
Bước đầu tiên trong quá trình điều trị bệnh nướu răng đó là làm sạch triệt để các túi xung quanh răng và ngăn ngừa tổn thương cho các xương xung quanh. Song song với đó, người bệnh cần thực hiện các thói quen răng miệng tốt, ngừng hút thuốc lá để điều trị thành công.
5.1 Điều trị bệnh nướu răng không phẫu thuật
Trường hợp viêm nha chu không tiến triển, người bệnh có thể được áp dụng các phương pháp ít xâm lấn bao gồm:
– Lấy cao răng giúp loại bỏ cao răng và vi khuẩn trên bề mặt răng và dưới nướu.
– Đánh bóng gốc răng giúp làm mịn bề mặt của chân răng, giúp ngăn chặn sự tích tụ của cao răng và vi khuẩn – nguyên nhân gây viêm.
– Dùng thuốc kháng sinh: Bác sĩ sẽ kê một số loại thuốc kháng sinh tại chỗ hoặc thuốc uống giúp kiểm soát nhiễm khuẩn. Các loại thuốc kháng sinh có thể bao gồm nước súc miệng kháng sinh hoặc bôi gel có kháng sinh áp dụng cho khoảng trống giữa răng và nướu hoặc các túi sau khi đã làm sạch, kháng sinh đường uống giúp loại bỏ vi khuẩn gây nhiễm trùng.
5.2 Điều trị bệnh lý về nướu bằng phương pháp phẫu thuật
Trường hợp viêm nha chu tiến triển, người bệnh có thể cần phẫu thuật nha khoa như:
– Phẫu thuật vạt niêm mạc / phẫu thuật nha chu
– Ghép xương để thay thế xương bị phá hủy bởi nướu răng: giúp loại bỏ cao răng, nướu được nâng sao cho vừa khít quanh răng, giảm kích thước khoảng trống giữa nướu và răng.
– Ghép mô mềm: giúp củng cố nướu mỏng hoặc lấp đầy những nơi nướu đã bị rút.
– Tái tạo mô: giúp kích thích sự phát triển của mô xương và nướu, hỗ trợ răng tốt hơn.
– Phẫu thuật xương. Làm mịn các miệng hố nông (trong xương) do mất xương.
Đối với nhiều bệnh nhân, việc điều trị có thể chỉ bao gồm cạo vôi và làm láng mặt gốc răng. Phẫu thuật sẽ được thực hiện khi các mô quanh răng không lành mạnh và không thể chữa lành với các phương pháp không xâm lấn.
5.3 Sử dụng thuốc
Thuốc kháng sinh có thể dùng để kết hợp với phẫu thuật hoặc dùng đơn lẻ nhằm tạm thời loại bỏ các vi khuẩn liên quan tới nướu răng, hoặc ngăn chặn sự phá hủy của răng.
6. 5 lý do khách hàng tin chọn Hệ thống TCI trong điều trị các bệnh về nướu
Chuyên khoa Răng hàm mặt – Hệ thống Y tế Thu Cúc TCI đã mang lại nụ cười khỏe mạnh và tự tin cho hàng ngàn khách hàng.
– Đội ngũ bác sĩ nha khoa trên 15 năm kinh nghiệm, từng tu nghiệp nước ngoài trực tiếp thăm khám và lên kế hoạch điều trị cho người bệnh.
– Cơ sở vật chất hiện đại, hệ thống thiết bị nha khoa tiên tiến
– Dịch vụ chăm sóc khách hàng chu đáo, tận tâm
– Áp dụng bảo hiểm y tế, bảo hiểm bảo lãnh theo quy định
Khác hàng có nhu cầu thăm khám và điều trị các bệnh lý về nướu, vui lòng liên hệ tổng đài 1900 55 88 92 để được hỗ trợ đăng ký khám.







