Dán sứ veneer bao nhiêu tiền và những điều cần biết
Nụ cười đẹp luôn là một trong những yếu tố quan trọng tạo nên ấn tượng tốt đẹp với người đối diện. Tuy nhiên, không phải ai cũng có những hàm răng trắng đẹp như ý. Nếu bạn đang băn khoăn về việc cải thiện nụ cười của mình, dán sứ Veneer có thể là một giải pháp đáng cân nhắc. Nhưng câu hỏi đặt ra là: dán sứ Veneer bao nhiêu tiền? Bài viết này sẽ cung cấp cho bạn thông tin chi tiết về chi phí cũng như những điều cần biết khi lựa chọn phương pháp này.
1. Dán sứ Veneer là gì?
1.1. Định nghĩa
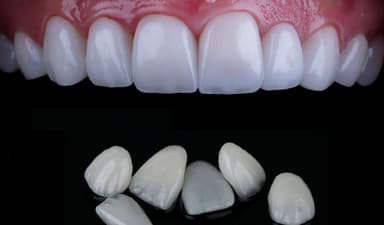
Dán sứ Veneer là một kỹ thuật nha khoa thẩm mỹ, trong đó các mảnh sứ mỏng được gắn lên bề mặt răng nhằm cải thiện màu sắc, hình dáng và kích thước của răng. Phương pháp này được áp dụng rộng rãi để khắc phục các vấn đề như răng xỉn màu, răng mẻ, sứt, khoảng cách giữa các răng quá lớn hay răng bị lệch lạc nhẹ.
Dán sứ có thể khắc phục nhiều khuyết điểm của răng.
Quy trình dán sứ Veneer thường bao gồm việc mài một lớp men răng mỏng để tạo không gian cho mảnh sứ. Sau đó, bác sĩ sẽ lấy dấu răng và gửi đến phòng lab để thiết kế mảnh sứ phù hợp. Cuối cùng, mảnh sứ sẽ được gắn lên răng bằng chất kết dính đặc biệt.
1.2. Ưu điểm của dán sứ Veneer
Dán sứ Veneer ngày càng được ưa chuộng vì những ưu điểm nổi bật sau:
– Tính thẩm mỹ cao: Mảnh sứ Veneer có màu sắc và độ trong tự nhiên, giúp tạo nên hàm răng đẹp hoàn hảo.
– Bền: Với chất liệu sứ cao cấp, tuổi thọ của Veneer có thể lên đến 10-15 năm nếu được chăm sóc đúng cách.
– Ít xâm lấn: So với các phương pháp khác như bọc răng sứ, dán sứ Veneer yêu cầu mài răng ít hơn, giúp bảo tồn cấu trúc răng tự nhiên.
– Đa dạng ứng dụng: Có thể khắc phục nhiều vấn đề về răng như răng xỉn màu, răng mẻ, thưa hay lệch lạc nhẹ.
2. Giải đáp thắc mắc: chi phí dán sứ Veneer bao nhiêu tiền?
2.1. Các yếu tố ảnh hưởng đến giá dán sứ Veneer bao nhiêu tiền
Giá dán sứ Veneer có thể khác nhau đáng kể tùy thuộc vào nhiều yếu tố. Cụ thể:
– Chất liệu sứ: Có nhiều loại sứ Veneer khác nhau như sứ Zirconia, sứ E.max, sứ Nano… Mỗi loại chất liệu sẽ có đặc tính khác nhau dẫn đến giá thành khác nhau.
– Số lượng răng cần dán: Rõ ràng, càng nhiều răng cần dán Veneer, chi phí càng cao.
– Tình trạng răng ban đầu: Nếu răng của bạn cần điều trị thêm (như tẩy trắng, chữa tủy) trước khi dán Veneer, chi phí sẽ tăng lên.
– Kỹ thuật và kinh nghiệm của bác sĩ: Bác sĩ có nhiều kinh nghiệm và kỹ năng tốt thường có mức phí cao hơn.
– Địa điểm điều trị: Chi phí tại các thành phố lớn hoặc trung tâm nha khoa cao cấp thường cao hơn so với các địa điểm khác.
– Thương hiệu và công nghệ sử dụng: Các trung tâm nha khoa sử dụng công nghệ tiên tiến và thương hiệu uy tín thường có mức giá cao hơn.
Có nhiều yếu tố ảnh hưởng đến chi phí dán sứ.
2.2. Trung bình dán sứ veneer bao nhiêu tiền?
Mức giá dán sứ Veneer có thể dao động khá lớn, từ khoảng 2 triệu đến 10 triệu đồng cho một răng, tùy thuộc vào các yếu tố đã đề cập ở trên. Để có cái nhìn cụ thể hơn, chúng ta có thể chia thành các mức giá như sau:
– Mức giá thấp (2-4 triệu đồng/răng): Thường áp dụng cho các loại sứ cơ bản, tại các phòng khám nhỏ hoặc ở các tỉnh, thành phố nhỏ.
– Mức giá trung bình (4-7 triệu đồng/răng): Phổ biến tại các trung tâm nha khoa uy tín ở thành phố lớn, sử dụng các loại sứ chất lượng tốt.
– Mức giá cao (7-10 triệu đồng/răng trở lên): Áp dụng cho các loại sứ cao cấp, công nghệ tiên tiến, tại các trung tâm nha khoa có tên tuổi.
Lưu ý rằng, nhiều trung tâm nha khoa có chính sách giảm giá khi khách hàng dán nhiều răng cùng lúc. Vì vậy, nếu bạn có kế hoạch dán Veneer cho nhiều răng, hãy tham khảo các gói ưu đãi để tiết kiệm chi phí.
3. Lưu ý sau khi dán sứ
Sau khi đầu tư vào nụ cười mới với sứ Veneer, việc chăm sóc đúng cách là vô cùng quan trọng để duy trì vẻ đẹp và độ bền của răng. Dưới đây là những hướng dẫn chi tiết giúp bạn bảo vệ răng sứ Veneer một cách hiệu quả:
– Vệ sinh răng miệng đúng cách: Đánh răng ít nhất 2 lần/ngày bằng bàn chải lông mềm và kem đánh răng không chứa chất mài mòn. Hàng ngày nên dùng chỉ nha khoa để lấy thức ăn khỏi kẽ răng.
– Tránh thực phẩm và đồ uống gây ố màu: Hạn chế cà phê, trà, rượu vang đỏ. Nếu uống, hãy súc miệng ngay sau đó.
– Từ bỏ thói quen có hại: Không cắn móng tay, nhai đá, hoặc dùng răng để mở nắp chai.
– Bảo vệ răng khi ngủ và chơi thể thao: Sử dụng máng bảo vệ răng nếu bạn nghiến răng khi ngủ hoặc tham gia các môn thể thao va chạm.
– Hạn chế đồ uống có tính axit: Giảm tiêu thụ nước trái cây chua và nước ngọt có ga.
– Kiểm tra định kỳ: Đến nha sĩ kiểm tra và vệ sinh răng miệng chuyên sâu 6 tháng/lần.
– Chú ý đến những thay đổi bất thường: Nếu nhận thấy sự thay đổi về màu sắc, độ nhạy cảm, hoặc dấu hiệu bong tróc, hãy liên hệ nha sĩ ngay.
Tuân thủ những hướng dẫn về chăm sóc răng sau khi dán sứ.
Tuân thủ những hướng dẫn này sẽ giúp bạn duy trì vẻ đẹp và kéo dài tuổi thọ của răng sứ Veneer, đảm bảo nụ cười rạng rỡ trong nhiều năm tới.
Dán sứ Veneer là một phương pháp hiệu quả để cải thiện nụ cười của bạn. Mặc dù chi phí có thể khá cao, từ 2 đến 10 triệu đồng cho một răng, nhưng kết quả thẩm mỹ và độ bền lâu dài của nó khiến nhiều người cảm thấy xứng đáng với số tiền bỏ ra.
Khi quyết định dán sứ Veneer, bạn nên cân nhắc kỹ lưỡng về ngân sách, lựa chọn trung tâm nha khoa uy tín và bác sĩ có kinh nghiệm. Đồng thời, hãy nhớ rằng việc chăm sóc và bảo quản sau khi dán sứ cũng quan trọng không kém để đảm bảo tuổi thọ và tính thẩm mỹ lâu dài cho hàm răng của bạn.
Một nụ cười đẹp không chỉ nâng cao vẻ ngoài mà còn giúp bạn tự tin hơn trong cuộc sống. Vì vậy, nếu bạn đang cân nhắc về việc dán sứ Veneer, hãy tham khảo ý kiến của chuyên gia nha khoa để có được lựa chọn phù hợp nhất cho bản thân.


















