Chuyên gia giải đáp: Tại sao lấy cao răng lại chảy máu?
Cao răng là nguyên nhân khởi phát nhiều bệnh lý răng miệng, đơn giản có – phức tạp có. Không những thế, răng có cao cũng tương đối mất thẩm mỹ. Chính vì vậy, lấy cao răng định kỳ là việc ai trong chúng ta cũng nên và cần phải làm. Tuy nhiên, nhiều người lấy cao răng bị chảy máu. Tại sao lấy cao răng lại chảy máu? Cùng đọc lý giải của chuyên gia trong bài viết sau bạn nhé!
1. Cơ bản về cao răng
1.1. Khái niệm
Cao răng là tổ hợp cặn lắng cứng của các muối vô cơ (canxi carbonat và phosphate), cặn lắng mềm (mảnh vụn thức ăn, các khoáng chất trong khoang miệng), vi khuẩn, tế bào chết biểu mô và cặn lắng sắt trong huyết thanh.
1.2. Quá trình hình thành cao răng
Quá trình hình thành cao răng diễn ra như sau: Sau khi ăn 15 phút, một màng mỏng che phủ bề mặt răng sẽ xuất hiện. Trong trường hợp màng này không được loại bỏ, ngày qua ngày, vi khuẩn sẽ sinh sôi và phát triển, làm nó dày lên. Khi màng này dày đủ, nó được gọi là mảng bám. Thời gian đầu, mảng bám mềm và chúng ta có thể dễ dàng loại bỏ chúng bằng bàn chải, chỉ nha khoa và tăm nước. Tuy nhiên, trạng thái này của mảng bám không tồn tại mãi mãi. Chúng sẽ trở nên cứng và rắn qua thời gian do bị vôi hóa bởi các muối vô cơ có trong nước bọt. Lúc này, mảng bám được gọi là cao răng.
1.3. Phân loại cao răng
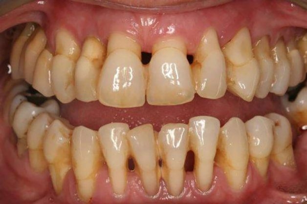
Cao răng được phân loại thành 2 nhóm là: Cao răng thường và cao răng huyết thanh. Cao răng thường là cao răng được mô tả phía trên. Cao răng huyết thanh là cao răng thường thấm đẫm máu và huyết thanh. Máu và huyết thanh này là kết quả của bệnh lý viêm lợi sinh ra do cao răng thường.
Cao răng huyết thanh màu nâu đỏ
1.4. Tác hại của cao răng
Như đã chia sẻ, cao răng là nguyên nhân khởi phát nhiều bệnh lý răng miệng phổ biến, như: Hôi miệng, sâu răng, viêm lợi, viêm nha chu,… Những bệnh lý này nếu không được điều trị tích cực, có thể tiến triển đến viêm xương ổ răng, tiêu xương hàm, rụng răng,… Ngoài ra, sự tồn tại của cao răng còn đe dọa “diện mạo” của răng.
Chính vì những tác hại này mà chuyên gia nha khoa khuyến cáo tất cả chúng ta nên lấy cao răng định kỳ. tần suất lấy cao răng ở mỗi cá nhân là khác nhau. Tuy nhiên, thường thì con số này sẽ là 6 tháng/lần.
2. Tại sao lấy cao răng lại chảy máu?
Về cơ bản, lấy cao răng là một hạng mục vệ sinh răng miệng định kỳ bình thường, không tiềm tàng bất cứ một nguy hiểm nào. Tuy nhiên, một số trường hợp sau khi lấy cao răng bị chảy máu. Tại sao lại vậy?
Theo lý giải của chuyên gia nha khoa, sau khi lấy cao răng mà bị chảy máu thì có thể là vì một hoặc một vài nguyên nhân sau:
– Do cao răng quá dày: Trường hợp cao răng tích tụ quá dày, bám kín thân răng và chân răng (dưới lợi), việc lấy cao răng sẽ ít nhiều tác động đến mô lợi xung quanh răng. Cao răng càng nhiều, mức độ tổn thương càng lớn. Lúc này lợi có thể sẽ chảy máu.
– Do bệnh nhân mắc các bệnh lý răng miệng: Nếu bệnh nhân đang mắc các bệnh lý răng miệng như viêm lợi, viêm nha chu,…; tức là nếu răng và lợi bệnh nhân đang ở trong trạng thái nhạy cảm, tác động từ các thiết bị nha khoa có thể sẽ kích thích phản ứng của các bệnh lý răng miệng đó, làm răng và lợi chảy máu.
– Do vấn đề toàn thân: Bệnh nhân mắc các bệnh lý đặc biệt, khiến tình trạng chảy máu dễ xảy ra và khó kiểm soát, có thể sẽ bị chảy máu khi lấy cao răng. Một bệnh lý như thế có thể kể đến là bệnh máu khó đông.
– Do kỹ thuật của chuyên gia: Kỹ thuật của chuyên gia nha khoa có thể nói là yếu tố quan trọng nhất quy định kết quả lấy cao răng. Nếu chuyên gia “không thực sự là chuyên gia” (chuyên môn thấp, ít kinh nghiệm hành nghề), thao tác lấy cao răng không chuẩn xác, khiến mô lợi và chân răng bị xâm lấn quá mức, tình trạng chảy máu sẽ xuất hiện.
Tại sao lấy cao răng lại chảy máu? Có thể là vì bệnh nhân bị viêm nha chu
Chảy máu khi lấy cao răng là một hiện tượng bình thường. Nó sẽ biến mất sau nhiều nhất là 2 giờ. Còn nếu máu chảy liên tục nhiều ngày, bệnh nhân cần thăm khám với chuyên gia ngay, bởi:
– Có thể hệ thống mạch máu nuôi dưỡng lợi và chân răng của bệnh nhân đã bị tổn thương và không thể tự chữa lành,
– Có thể bệnh nhân đã bị nhiễm trùng nướu: Do thiết bị nha khoa không đảm bảo vô khuẩn.
3. Cách khắc phục lấy cao răng xong bị chảy máu
Trước tiên, để bản thân không bao giờ gặp phải tình trạng chảy máu khi lấy cao răng, chúng ta cần:
– Trao gửi niềm tin cho đúng cơ sở y tế chuyên khoa răng hàm mặt. Ở những cơ sở uy tín, luôn có đội ngũ y bác sĩ chuyên môn cao, giàu kinh nghiệm, thao tác chuẩn, không xâm lấn mô lợi, chân răng. Bên cạnh đó, những phòng nha chất lượng, được nhiều bệnh nhân lựa chọn còn sở hữu hệ thống máy móc, trang thiết bị y tế hiện đại. Sử dụng chúng, đảm bảo việc lấy cao răng sẽ diễn ra dễ dàng, ít hoặc không chảy máu.
– Lấy cao răng định kỳ: Tránh để cao răng tồn đọng quá lâu và trở nên quá dày.
– Điều trị tích cực các bệnh lý răng miệng và bệnh lý toàn thân.
Còn khi lấy cao răng bị chảy máu, bạn cần: Súc miệng nước muối hoặc dung dịch vệ sinh được chuyên gia chỉ định. Sau đó, cắn chặt bông y tế ở vị trí chảy máu. Giữ nguyên bông cho đến khi máu ngừng chảy. Nếu chảy máu do một bệnh lý răng miệng nào đó, bệnh nhân cần dùng thêm thuốc kháng sinh kết hợp ngậm máng theo chỉ định của bác sĩ. Ngoài ra, bệnh nhân cũng có thể bổ sung thêm Vitamin C, Protein.
Để không bị chảy máu khi lấy cao răng, chúng ta cần lựa chọn cẩn thận phòng nha
Tại sao lấy cao răng lại chảy máu? Trong hầu hết các trường hợp là do cao răng quá dày. Nếu không phải vì nguyên nhân này, thì là do bệnh nhân mắc các bệnh lý răng miệng, các bệnh lý toàn thân và do kỹ thuật của chuyên gia. Chính vì vậy, để hạn chế tình trạng chảy máu khi lấy cao răng, bạn cần lựa chọn phòng nha uy tín, lấy cao răng định kỳ và chủ động kiểm soát các bệnh lý răng miệng và bệnh lý toàn thân.

















