Nguyên nhân răng sâu bị hôi & Cách khắc phục hiệu quả
Hôi miệng là tình trạng phổ biến có thể xảy ra ở mọi lứa tuổi và gây ảnh hưởng không nhỏ tới tâm lý, gây cản trở trong giao tiếp và của những người mắc phải vấn đề này. Có nhiều nguyên nhân khiến hơi thở có mùi nhưng nguyên nhân thường gặp nhất là do sâu răng. Hiểu được nguyên nhân răng sâu bị hôi sẽ giúp bạn khắc phục vấn đề này dễ dàng và triệt để hơn.
1. Răng sâu là gì?
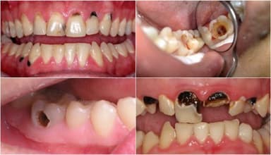
Răng bị sâu tạo nên cấu trúc răng với đầy lỗ hổng
Răng sâu là tình trạng bề mặt răng xuất hiện vết tổn thương, mất mô cứng, biểu hiện rõ ràng là những vết đen, lỗ nhỏ trên răng. Răng có thể bị sâu ở cả mặt nhai, mặt kẽ và chân răng. Bất cứ đối tượng nào cũng có thể mắc sâu răng nếu không vệ sinh răng miệng tốt.
Sâu răng có thể biểu hiện rất rõ ràng với những lỗ sâu ở trên răng, ngoài ra sâu răng cũng gây nên các tình trạng rất khó chịu như: đau buốt răng trong khi ăn nhai, chảy máu, sưng nướu và hơi thở có mùi hôi. Không chỉ đơn thuần gây nên những hậu quả như vậy, sâu răng để lâu còn dẫn đến nguy cơ mất răng vĩnh viễn, từ đó gây xô lệch răng, mất khả năng ăn nhai,…
4 giai đoạn phát triển của quá trình sâu răng gồm:
– Giai đoạn 1: Sâu men răng
– Giai đoạn 2: Sâu ngà răng
– Giai đoạn 3: Sâu tủy răng
– Giai đoạn 4: Hoại tử, chết tủy, hỏng răng
2. Răng sâu bị hôi do đâu?
Một trong những hậu quả thường gặp khi răng bị sâu chính là gây hôi miệng. Răng sâu bị hôi có thể do 1 nguyên nhân, cũng có thể do nhiều nguyên nhân kết hợp.
2.1 Răng sâu bị hôi do thức ăn mắc kẹt vào lỗ sâu
Tình trạng đặc trưng của sâu răng chính là sự tồn tại của những lỗ/hốc sâu trên bề mặt ăn sâu vào tận bên trong răng. Cấu tạo đặc biệt này xuất hiện khi răng bị sâu ở mức độ 2 và 3, tức là khi vi khuẩn đã ăn mòn vào đến ngà răng hoặc tủy răng.
Những lỗ sâu/hốc sâu răng này là vị trí rất dễ dàng kẹt lại thức ăn nhưng lại rất khó để có thể làm sạch. Khi các mẩu thức ăn bị mắc kẹt lại tại hóc sâu trong quá trình ăn uống và không được làm sạch hoàn toàn sẽ bị phân hủy bởi vi khuẩn gây sâu răng và bốc lên mùi khó chịu.
Khi loại bỏ được hết các mẩu tức ăn có trong lỗ sâu răng cũng có nghĩa là bạn đã ngăn chặn được sự “bốc mùi” của thức ăn khi đang phân hủy và hạn chế vi khuẩn phát triển lân sang các răng bên cạnh.
2.2 Do sự tích tụ của vi khuẩn
Vi khuẩn tích tụ chính là nguyên nhân khiến hơi thở có mùi hôi
Các lỗ sâu là nơi thực phẩm mắc kẹt lại trở thành môi trường thuận lợi cho sự phát triển của vi khuẩn gây sâu răng với nguồn thức ăn đầy đủ và vị trí khó để chạm tới.
Những vị trí như thế này sẽ là địa điểm hàng đầu va có điều kiện thuận lợi nhất đẻ vi khuẩn tích tụ, sinh sôi. Vii khuẩn gây sâu răng sẽ tích tụ ngày càng nhiều, cùng với đó, chúng thực hiện quá trình phân rã thức ăn còn đọng lại, gây nên mùi hôi khó chịu miệng, nhất là khi nói và thở bằng miệng.
2.3 Răng sâu bị hôi do vật liệu trám răng không tương thích
Nguyên nhân này có thể coi là một rủi ro đối với người bị mắc. Khi mà người có răng sâu đã chủ dộng điều trị sâu răng bằng cách hàn trám lỗ sâu thì đó cũng có thể là nguyên nhân khiến hơi thở bốc mùi khó chịu.
Trong trường hợp vật liệu trám/hàn răng không tương thích với răng thật, không lấp đầy hoàn toàn lỗ sâu mà vẫn sót lại những khe hở nhỏ cũng có thể tạo thành môi trường thuận lợi cho vi khuẩn ẩn náu bên dưới và tiếp tục gây hôi miệng.
3. Cách cải thiện răng sâu bị hôi tại nhà
Răng sâu bị hôi dù mới chớm hay kéo dài và có mùi nặng đều khiến cho chính chủ vô cùng tự ti khi giao tiếp. Để cải thiện tình trạng miệng có mùi khó chịu, chúng ta có thể thực hiện ngay với những biện pháp đơn giản, dễ dàng tại nhà.
3.1 Trị răng sâu bị hôi bằng cách uống nhiều nước lọc
Phương pháp trị hôi miệng đơn giản, hiệu quả và tự nhiên nhất chính là sử dụng nước bọt của bạn. Nước bọt là công cụ làm sạch khoang miệng, răng lợi tức thời mà bất cứ ai cũng có. Hoạt động nuốt nước bọt giúp làm sạch miệng và rửa trôi các vi khuẩn gây hôi miệng tích tụ trong khoang miệng.
Tuy nhiên khi miệng bị khô, mắc chứng giảm tiết nước bọt thì tần suất răng miệng được vệ sinh bất cứ lúc nào này cũng sẽ ít đi, tình trạng hôi miệng lại tiếp diễn và bộc lộ. Chính vì vậy, uống nước lọc thường xuyên và nhiều lần trong ngày là cách để bạn “tiếp sức” cho quá trình rửa trôi vi khuẩn này.
Bên cạnh uống nhiều nước, nhai kẹo cao su hoặc ngậm kẹo (không đường) và có chứa xylitol cũng là cách vừa giúp hơi thở thơm mát, vừa giúp kích thích tuyến nước bọt tự sản xuất nhiều hơn mà vẫn hạn chế được sâu răng.
Ngoài ra cũng cần hạn chế hút thuốc và ăn những thực phẩm lưu mùi như hành, tỏi.
3.2 Sử dụng nước súc miệng
Sử dụng nước súc miệng đều đặn cũng phần nảo cải thiện hôi miệng do sâu răng
Các loại nước súc miệng trên thị trường hiện nay sẽ giúp hơi thở thơm mát rõ rệt ngay tức thì và ngăn chặn tình trạng hôi miệng do răng sâu một cách hiệu quả tuy nhiên không duy trì được lâu. Súc miệng mỗi ngày bằng nước súc miệng chuyên dụng sau khi đánh răng hoặc sau khi ăn cơm xong sẽ giúp loại bỏ nốt những vi khuẩn còn sót lại trong khoang miệng, giúp ngăn ngừa tình trạng sâu răng và hơi thở có mùi do răng sâu.
Ngoài ra bạn đừng quên, nước muối cũng là một loại nước súc miệng hiệu quả, dễ tìm, dễ sử dụng giúp ngăn chặn sự phát triển của vi khuẩn ở khoang miệng, lưỡi và cổ họng, giảm tình trạng hôi miệng do răng sâu dần dần về lâu dài.
3.3 Nhai lá bạc hà hoặc táo
Lá bạc hà chứa nhiều tinh chất dầu thơm, nhiều vi chất và được biết đến với khả năng kháng khuẩn, kháng viêm cao. Cách đơn giản nhất là bạn nhai sống lá bạc hà hoặc nhai cùng muối hoặc chanh sẽ giúp làm sạch răng miệng tốt hơn, tăng cường hiệu quả trị hôi miệng.
Ngoài ra, thường xuyên ăn táo giảm mùi hôi hiệu quả. Nhờ vào việc táo giàu polyphenol, đây là chất có thể làm sạch răng miệng tự nhiên khi ăn và tiêu diệt vi khuẩn gây mùi trong miệng.
3.4 Vệ sinh răng miệng đúng cách
Đây là mấu chốt của mọi vấn đề răng miệng, không chỉ riêng vấn đề sâu răng hôi miệng. Việc vệ sinh răng miệng không đầy đủ và sai cách dẫn đến việc không làm sạch được câc mẩu thức ăn còn đọng lại trên răng, từ đó khiến vi khuẩn sinh sôi nhiều hơn, gây sâu răng và tạo nên mùi hôi khó chịu.
Chải răng đúng cách theo vòng tròn hoặc chiều dọc thân răng là cách chải răng đúng, giúp dễ dàng làm sạch bề mặt răng, loại bỏ thức ăn thừa mà không làm hại đến cổ răng. Đánh răng ít nhất 2 lần/ngày buổi sáng và trước khi đi ngủ hoặc sau khi ăn 30 phút là những việc cơ bản để giữ vệ sinh răng miệng tốt hơn. Bên cạnh đó, để loại bỏ thưc săn ở kẽ răng, bạn không nên sử dụng tăm vì có thể gây chảy máu nướu, vi khuẩn sẽ tấn công dẫn đến viêm nướu, khiến miệng sẽ có mùi hôi. Sử dụng chỉ nha khoa nhẹ nhàng để làm sạch kẽ răng là cách an toàn nhất cho sức khỏe nướu.
4. Điều trị hôi miệng do sâu răng tại nha khoa
Không chỉ do sâu răng, hôi miệng cũng là biểu hiện phổ biến của một số bệnh lý răng miệng như cao răng, viêm nướu,… Thăm khám nha khoa và lấy cao răng định kỳ mỗi 6 tháng sẽ giúp bạn có hàm răng sạch khỏe, dễ dàng phát hiện bệnh lý răng miệng để điều trị từ sớm. Nếu không kiểm soát và điều trị bệnh lý răng miệng, nhất là sâu răng thì sẽ gây ảnh hưởng lớn tới sức khỏe của toàn bộ răng và khiến hơi thở luôn có mùi khó chịu.
Tuy nhiên, bạn nên tìm đến những nha khoa uy tín và bác sĩ giàu kinh nghiệm để tránh điều trị răng sâu không triệt để và gây kích ứng nướu. Trám răng là biện pháp bịt lại lỗ sâu bằng các chất liệu nhân tạo, giúp răng sâu khôi phục được lại hình dạng ban đầu. Khi điều trị răng sâu bằng cách này, mùi hôi miệng cũng sẽ được cải thiện dần do các nha sĩ sẽ làm thủ thuật để làm sạch lỗ sâu, loại bỏ vi khuẩn gây mùi, ngăn không cho vi khuẩn tồn tại và phát triển thêm.
Hy vọng bài viết này đã phần nào giải đáp giúp bạn nguyên nhân răng sâu bị hôi, từ đó dễ dàng tìm ra được gốc rễ của vấn đề để có thể loại bỏ tình trạng này một cách dễ dàng và nhanh chóng.

















