Tìm hiểu nguyên nhân không có phôi thai
Không có phôi thai còn được biết đến với tên gọi khác là hiện tượng trứng rỗng. Vậy nguyên nhân không có phôi thai là do đâu? Bài viết dưới đây sẽ giải thích những nội dung cơ bản nhất, giúp bạn hiểu rõ hơn về hiện tượng trứng rỗng này.
1. Hiện tượng trứng rỗng hay không có phôi thai là gì?
Hiện tượng không có phôi thai còn được gọi là hiện tượng trứng rỗng. Trứng rỗng là tình trạng trứng được thụ tinh và đã di chuyển vào tử cung song không hình thành nên em bé.
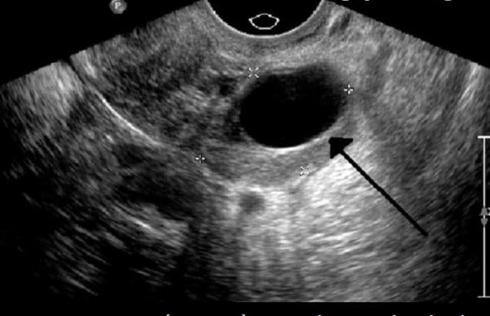
Hình ảnh siêu âm của một trường hợp không có phôi thai
Ban đầu, trứng rỗng sẽ tiếp tục phát triển về kích thước. Tuy nhiên từ tuần thai 8 – 13, trứng rỗng này sẽ bị đào thải và gây nên tình trạng sảy thai. Sảy thai được xem như sự tự đào thải của cơ thể đối với các trứng thụ tinh có những bất thường.
Trứng rỗng tuy không thể phát triển song do nhau thai vẫn phát triển trong thời gian đầu nên các dấu hiệu mang thai vẫn được biểu hiện giống như mang thai bình thường. Hormone hCG tiếp tục được sinh ra và chỉ giảm khi chuyển sang giai đoạn sảy thai. Chị em sẽ thấy xuất hiện những triệu chứng của thai nghén như chậm kinh nguyệt, chóng mặt, cương tức ngực, buồn nôn,… Khi kiểm tra bằng que thử, que vẫn hiện 2 vạch. Thậm chí kết quả xét nghiệm máu vẫn kết luận bạn đang mang thai mặc dù trên thực tế thai không tồn tại.
2. Nguyên nhân không có phôi thai?
Siêu âm là phương pháp giúp phát hiện sớm tình trạng không có phôi thai
Hiện tại, nguyên nhân trứng rỗng vẫn chưa được khẳng định chính xác. Tuy nhiên, các thống kê ghi nhận được từ nhiều trường hợp trứng rỗng cho thấy có tới hơn 90% trường hợp sảy thai tự nhiên do không có phôi thai này liên quan trực tiếp tới những bất thường về nhiễm sắc thể.
Chính vì thế, nguyên nhân không có phôi thai do khiếm khuyết trong gen đang chiếm ưu thế. Theo đó, trứng của người vợ hoặc tinh trùng của người trồng hoặc cả hai người mang những thông tin di truyền chứa những bất thường. Điều này khiến cho trứng sau khi thụ tinh không thể phân chia tạo nên cơ thể thai nhi hoàn chỉnh. Hiện tượng trứng rỗng cũng được đánh giá là một trong những chọn lọc của cơ thể con người giúp đào thải gen xấu. Bởi trong trường hợp phôi mang gen xấu sẽ biểu hiện ở trẻ những dị tật bẩm sinh và hội chứng bệnh không mong muốn.
3. Điều trị tình trạng không có phôi thai như thế nào?
Trứng rỗng sẽ bị đào thải ra khỏi cơ thể chỉ là thời gian sớm hay muộn. Trong nhiều trường hợp, quá trình sảy thai diễn ra rất sớm khiến nhiều chị em chưa biết mình mang thai hay không. Tuy nhiên không ít trường hợp, trứng rỗng phát triển khá to và đào thải rất chậm. Lúc đó, chị em có thể tham khảo một trong các phương án kích thích sảy thai sau đây:
3.1. Không tác động, để sảy thai tự nhiên
Theo cách này, quá trình sảy thai sẽ diễn ra một cách tự nhiên. Đặc điểm của cách này chính là không hại sức khỏe của mẹ. Tuy nhiên, không phải trường hợp nào cũng có thể để sảy thai tự nhiên. Nếu thai đã ngừng phát triển từ 10 ngày, cần kích thích để co bóp đẩy thai ra ngoài, tránh hoại tử trong tử cung gây tổn thương và biến chứng. Bên cạnh đó, do vấn đề tâm lý, nhiều chị em sẽ không thể chờ đợi quá trình sảy thai tự nhiên này diễn ra.
3.2. Kích thích co bóp tử cung
Đây là một trong những cách giúp thúc đẩy quá trình sảy thai được diễn ra nhanh hơn. Các bác sĩ sẽ sử dụng thuốc khiến tử cung kích thích co bóp đẩy trứng rỗng ra ngoài. Biện pháp này không gây đau và giúp quá trình sảy thai diễn ra nhanh hơn so với sảy thai tự nhiên.
3.3. Nong và nạo tử cung
Nong và nạo tử cung là biện pháp tại chỗ, giúp loại bỏ hoàn toàn trứng rỗng và các phần nhau thai liên quan ra khỏi tử cung một cách nhanh nhất. Nong và nạo tử cung thường chỉ được khuyến khích trong trường hợp trứng rỗng đào thải quá lâu, đồng thời chị em muốn tìm hiểu chính xác nguyên nhân gây nên sảy thai là gì. Khi nong và nạo tử cung, một phần mẫu từ trứng rỗng sẽ được đưa về phòng thí nghiệm để tìm ra nguyên nhân.
4. Sau khi sảy thai, chị em nên làm gì?
Nếu bị sảy thai nhiều lần, vợ chồng cần thăm khám để tìm ra nguyên nhân không có phôi thai
Với chị em đang khao khát có tin vui nếu không may bị trứng rỗng cũng không nên quá đau buồn. Bởi trứng rỗng bị cơ thể loại bỏ là điều không thể tránh khỏi. Thay vào đó chị em nên:
4.1. Chăm sóc sức khỏe bản thân
Tránh stress, căng thẳng là điều cần thiết sau sảy thai. Chị em cần chủ động chăm sóc sức khỏe, ăn uống và nghỉ ngơi điều độ để cơ thể nhanh chóng phục hồi.
Nếu thực hiện nong và nạo tử cung, chị em cần lưu ý sau khi thực hiện tiểu phẫu:
- Không nên vận động mạnh, thay vào đó nên di chuyển nhẹ nhàng và dành thời gian nghỉ ngơi.
- Chị em cần giữ gìn vệ sinh vùng kín để ngăn ngừa nguy cơ nhiễm trùng có thể lan sang các cơ quan bên cạnh. Sau quá trình nong nạo tử cung, lớp niêm mạc tử cung cũ sẽ bong ra. Vì thế, tình trạng chảy máu âm đạo sẽ xuất hiện và thường kéo dài từ 2 – 3 tuần.
4.2. Thời điểm thích hợp để mang thai trở lại
Đây là câu hỏi nhiều chị em quan tâm sau khi sảy thai. Không nên vội mang thai luôn vì tử cung chưa thể phục hồi hoàn toàn sẽ dẫn đến nhiều nguy hiểm cho thai kỳ. Tốt nhất chị em nên mang thai lại sau 6 tháng kể từ thời điểm sảy thai. Trong thời gian chờ mang thai, chị em nên:
- Cân bằng dinh dưỡng, nghỉ ngơi hợp lý
- Giữ tâm trạng thoải mái
- Luyện tập thể thao đều đặn để tăng cường sức đề kháng cho bản thân
- Bổ sung axit folic cho cả vợ và chồng. Axit folic sẽ giúp phòng ngừa nguy cơ dị tật có thể xuất hiện ở thai nhi.
4.3. Kiểm tra sức khỏe nếu hiện tượng sảy thai hoặc trứng rỗng diễn ra nhiều lần
Nhiều chị em liên tục gặp phải tình trạng sảy thai, đây là hiện tượng bất thường cần thăm khám kỹ càng để tìm ra nguyên nhân. Nếu sau khi bị trứng rỗng, chị em tiếp tục bị sảy thai ở những lần tiếp theo thì vợ chồng nên tới các cơ sở chuyên khoa để thăm khám sức khỏe sinh sản, thực hiện một số xét nghiệm chuyên sâu nhằm tìm ra nguyên nhân trước khi có kế hoạch mang thai lần tiếp theo.
Với thông tin chia sẻ trên đây hy vọng đã giúp chị em hiểu được nguyên nhân không có phôi thai và vì sao hiện tượng trứng rỗng lại sảy thai cũng như những lưu ý khi trong trường hợp này.












