Tìm hiểu có nên lấy vôi răng không và cách nào hiệu quả
Vôi răng là gì? Có nên lấy vôi răng hay không? Bao lâu thì nên lấy vôi răng 1 lần? Nên lấy vôi răng ở đâu thì hiệu quả lại tối ưu chi phí? Mọi thắc mắc của bạn về lấy vôi răng sẽ được giải đáp ngay trong bài viết này.
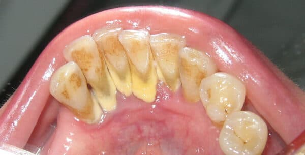
1. Lấy vôi răng là gì và nhận biết thế nào?
Vôi răng, mảng bám tích tụ trên răng gây nên nhiều bệnh lý răng miệng
Trước khi giải đáp có nên lấy vôi răng hay không, bạn đọc nên hiểu rõ bản chất vôi răng là gì và cách nhận biết nó ra sao.
Vôi răng còn được biết đến với tên gọi phổ biến hơn chính là cao răng. Vôi răng được hình thành do tác động của vi khuẩn lên các thức ăn còn sót lại, chưa được loại bỏ hết. Trải qua nhiều ngày tích tụ, chúng sẽ dần bám chặt ở đường nướu hoặc là được dưới nướu. Nếu không được xử lý loại bỏ, các mảng bám vôi răng có thể gây hệ quả kích ứng mô nướu. Nhiều trường hợp cao răng không được loại bỏ còn góp phần tăng thêm diện tích cho các mảng bám phát triển, bám chặt hơn và gây nên các bệnh về răng miệng như: sâu răng, viêm nướu.
Cách nhận biết vôi răng rất đơn giản, nó chính là lớp có màu vàng hay nâu trên răng hoặc nướu. Không chỉ tiềm ẩn nguy cơ gây hại sức khỏe răng miệng, mà chúng còn gây mất thẩm mỹ cho hàm răng của bạn.
2. Có nên lấy vôi răng để làm sạch răng miệng không?
Lấy vôi răng giúp làm sạch và ngăn ngừa các bệnh răng miệng
Như đã khẳng định sự tồn tại của vôi răng không chỉ gây ảnh hưởng tới sức khỏe răng miệng mà còn làm giảm thẩm mỹ cho hàm răng. Do đó, việc loại bỏ vôi răng là điều cần thiết.
Tại các cơ sở nha khoa uy tín, lấy vôi răng được thực hiện với quy trình chuyên nghiệp, sử dụng các thiết bị y tế tiên tiến, hiện đại để loại bỏ hoàn toàn vôi răng, mảng bám trên nướu. Kết quả mang tới cho bạn một hàm răng trắng sạch, không còn vôi răng hay mảng bám, đảm bảo sức khỏe răng miệng.
3. Lấy cao răng định kỳ bao lâu?
Không lấy cao răng hay giãn định kỳ lấy cao răng quá lâu có thể gây hại cho sức khỏe răng miệng. Thế nhưng, khoảng cách lấy cao răng quá lần cũng không tốt cho răng, khiến răng không được nghỉ ngơi và tiềm ẩn nguy cơ gây các tình trạng như: nhức răng, đau răng, buốt răng, khiến răng trở nên nhạy cảm…
Theo các chuyên gia, việc lấy cao răng nên được thực hiện trung bình 6 tháng/lần. Đây được đánh giá là khoảng thời gian thích hợp để mảng bám, vôi răng hình thành mà chưa gây ảnh hưởng tới sức khỏe khỏe của răng miệng.
Lưu ý rằng, nhiều người do thói quen ăn uống, vệ sinh răng miệng sẽ khiến vôi răng mảng bám hình thành nhiều, cần lấy cao răng sớm hơn. Do đó, cách tốt nhất bạn nên đến cơ sở nha khoa uy tín để được bác sĩ chuyên khoa kiểm tra và tư vấn thời gian lấy cao răng phù hợp, đảm bảo sức khỏe răng miệng.
Vậy trẻ em thì có cần lấy cao răng không? Câu trả lời là có, trẻ em cũng cần lấy cao răng định kỳ để bảo vệ tốt nhất cho sức khỏe răng miệng. Các bé
4. Nên lấy vôi răng ở đâu thì tốt, giá cả phải chăng?
Nên lấy vôi răng tại nha khoa uy tín, đảm bảo an toàn
Lấy vôi răng ở đâu thì tốt, giá cả phải chăng hiện là thắc mắc của không ít độc giả. Câu trả lời là bạn nên lấy cao răng tại các nha khoa uy tín, được cấp phép hoạt động bởi cơ quan chức năng, có bác sĩ chuyên môn giỏi, đầu tư máy móc, thiết bị y tế hiện đại. Tất cả các yếu tố này sẽ góp phần đảm bảo hiệu quả thăm khám và loại bỏ vôi răng của bạn tốt nhất.
Nếu bạn vẫn đang kiếm tìm một địa chỉ lấy vôi răng tốt thì có thể tham khảo ngay dịch vụ này tại Chuyên khoa Răng hàm mặt, Hệ thống Y tế Thu Cúc TCI. Nơi đây quy tụ đội ngũ bác sĩ chuyên khoa giàu kinh nghiệm, cung cấp mọi dịch vụ khám và điều trị về răng, bao gồm cả lấy vôi răng. Hơn thế, Chuyên khoa Răng hàm mặt Thu Cúc TCI còn chú trọng đầu tư máy móc, thiết bị chuyên khoa tiên tiến, cơ sở hạ tầng hiện đại, đội ngũ điều dưỡng viên hướng dẫn, chăm sóc bệnh nhân tận tình. So với kết quả nhận được, bảng giá khám và điều trị răng tại Thu Cúc TCI được đánh giá ở mức phải chăng, được nhiều gia đình Việt tin tưởng lựa chọn và đánh giá cao.
5. Hướng dẫn chăm sóc răng miệng đúng cách sau khi lấy vôi răng
Sau khi đã loại bỏ vôi răng và mảng bám tích tụ trong răng và nướu, bạn cần có chế độ chăm sóc răng cẩn thận, đúng cách. Mục đích nhằm đảm bảo cho quá trình phục hồi diễn ra tốt nhất, đồng thời ngăn ngừa tối đa việc hình thành mảng bám không tốt cho sức khỏe răng miệng. Dưới đây là một số hướng dẫn về cách vệ sinh và chăm sóc răng miệng sau khi đã lấy cao răng:
– Chải răng thường xuyên và nhẹ nhàng ít nhất 2-3 lần mỗi ngày. Bạn nên sử dụng bàn chải đánh răng có lông mềm để tránh làm tổn thương nướu và răng.
– Phương pháp chải răng đúng. Bạn nên chải răng từ trên xuống dưới hoặc thực hiện động tác chải tròn để đảm bảo làm sạch kẽ răng một cách toàn diện. Không nên chải răng quá 2 phút để tránh làm mòn men răng.
– Sử dụng chỉ nha khoa để loại bỏ cặn thức ăn giữa các kẽ răng. Hoặc cách khác, bạn cũng có thể dùng tăm nước để đạt được hiệu quả tương tự.
– Súc miệng kỹ bằng nước muối sinh lý sau khi đánh răng và sau khi ăn để giúp kháng vi khuẩn và kích thích quá trình lành tình trạng nướu.
– Chú ý chăm sóc đồ dùng vệ sinh răng miệng. Bạn nên rửa thật sạch bàn chải răng sau mỗi lần sử dụng. Hãy bảo quản chúng ở nơi khô ráo và sạch sẽ để ngăn chặn sự phát triển của vi khuẩn. Đồng thời, bạn cũng nên thay đổi bàn chải đánh răng thường xuyên, đặc biệt khi lông bàn chải bắt đầu xơ cứng, có hiện tượng gãy.
Như vậy, với thắc mắc có nên lấy vôi răng không thì câu trả lời chắc chắn là có. Ngoài việc nên duy trì lấy cao răng khoảng 6 tháng/lần, bạn cũng nên chú ý chăm sóc răng miệng đúng cách mỗi ngày để đảm bảo sức khỏe răng miệng nhé.
















