Thực hư việc lấy cao răng miễn phí hiện nay
Lấy cao răng là một trong những thủ thuật nha khoa cơ bản nhưng vô cùng quan trọng, giúp loại bỏ mảng bám và vôi răng, ngăn ngừa các bệnh lý răng miệng nguy hiểm. Trong thời gian gần đây, thông tin về việc lấy cao răng miễn phí xuất hiện ngày càng nhiều, thu hút sự quan tâm của đông đảo mọi người. Tuy nhiên, thực hư của những thông tin này như thế nào? Liệu có thực sự tồn tại các chương trình lấy cao răng miễn phí đáng tin cậy? Bài viết này sẽ giúp bạn làm sáng tỏ những vấn đề này, đồng thời cung cấp thêm những thông tin hữu ích về việc lấy cao răng.
1. Lấy cao răng để làm gì?
Trước khi thảo luận về việc lấy cao răng miễn phí, chúng ta cần hiểu rõ sự cần thiết của việc loại bỏ cao răng định kỳ.
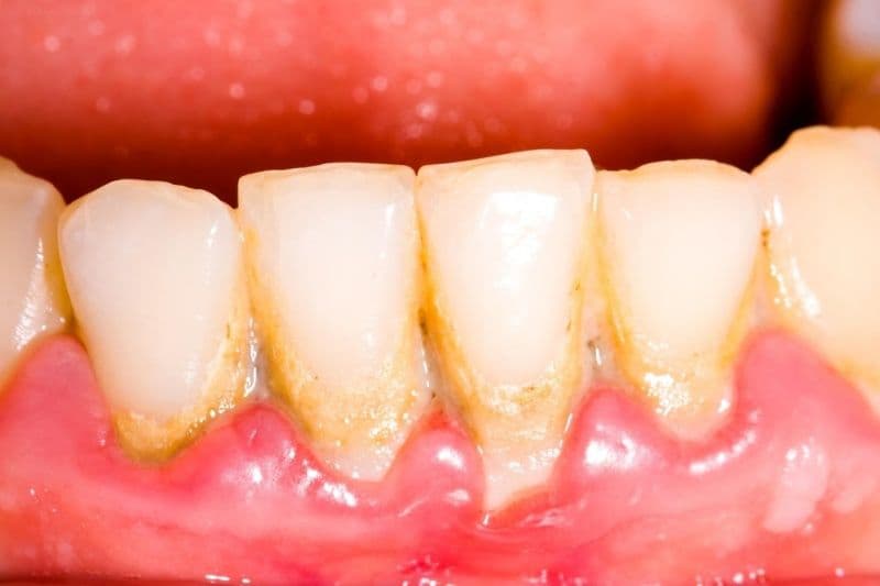
Cao răng, hay vôi răng, là những mảng bám cứng đầu được cấu thành từ thức ăn thừa, vi khuẩn và khoáng chất trong nước bọt. Nếu không được loại bỏ, cao răng sẽ gây ra những tác động tiêu cực đến sức khỏe răng miệng, khởi đầu bằng viêm nướu (sưng, đỏ, chảy máu), tiến triển thành viêm nha chu (đe dọa đến các mô nâng đỡ răng), gây sâu răng và hôi miệng, thậm chí còn gây ra những vấn đề nghiêm trọng cho sức khỏe tổng thể.
Cao răng có thể trở thành “mối nguy hại” cho sức khỏe răng miệng nếu không được giải quyết sớm.
Do đó, việc lấy cao răng định kỳ là một biện pháp quan trọng để bảo vệ nụ cười và sức khỏe của bạn.
2. Có hay không chuyện lấy cao răng miễn phí?
2.1. Thực trạng vấn đề lấy cao răng miễn phí
Hiện nay, các thông tin về việc lấy vôi răng miễn phí xuất hiện khá nhiều trên các phương tiện truyền thông, mạng xã hội và tại các phòng khám nha khoa. Vậy, thực hư của các chương trình này là như thế nào?
Các chương trình khuyến mãi: Nhiều phòng khám nha khoa thường xuyên đưa ra các chương trình khuyến mãi, giảm giá dịch vụ lấy cao răng, thậm chí có những đợt khuyến mãi “lấy cao răng miễn phí”. Tuy nhiên, những chương trình này thường có điều kiện đi kèm, ví dụ như chỉ áp dụng cho khách hàng mới, trong một khoảng thời gian nhất định hoặc khi sử dụng các dịch vụ khác.
Các chương trình từ thiện: Một số tổ chức từ thiện, bệnh viện hay các trường đại học y có thể tổ chức các chương trình khám răng và cạo cao răng miễn phí cho cộng đồng, đặc biệt là ở những vùng sâu vùng xa hoặc những đối tượng khó khăn. Tuy nhiên, số lượng các chương trình này không nhiều và thường diễn ra không thường xuyên.
Các phòng khám quảng cáo chưa đúng sự thật: Một số phòng khám nha khoa lợi dụng sự quan tâm của mọi người đến việc cạo cao răng miễn phí để thu hút khách hàng. Họ có thể quảng cáo rầm rộ về việc “lấy cao răng miễn phí” nhưng thực tế lại cố tình đưa ra các chi phí phát sinh khác hoặc sử dụng các thiết bị, vật liệu không đảm bảo chất lượng.
2.2. Những điều cần lưu ý khi tìm kiếm các dịch vụ lấy cao răng miễn phí
Để tránh những rủi ro không đáng có khi tìm kiếm các dịch vụ cạo cao răng miễn phí, bạn cần lưu ý một số điều sau:
– Tìm hiểu thông tin: Khi thấy các chương trình loại bỏ cao răng miễn phí bất kỳ, bạn cần tìm hiểu kỹ thông tin về đơn vị tổ chức, thời gian, địa điểm, điều kiện và các chi phí phát sinh (nếu có).
Trước khi quyết định tham gia bất kỳ chương trình lấy vôi răng miễn phí nào, bạn cần tìm hiểu kỹ thông tin.
– Kiểm tra giấy phép hoạt động: Nên lựa chọn những phòng khám nha khoa có giấy phép hoạt động do cơ quan có thẩm quyền cấp, để đảm bảo an toàn và chất lượng dịch vụ.
– Tham khảo ý kiến của người thân, bạn bè: Hỏi ý kiến những người thân, bạn bè đã từng sử dụng dịch vụ tại các phòng khám nha khoa mà bạn quan tâm, để có cái nhìn khách quan hơn.
– Cảnh giác với các quảng cáo quá hấp dẫn: Không nên tin vào những quảng cáo “lấy cao răng miễn phí 100%” hoặc những lời hứa hẹn quá mức, vì thường sẽ có những điều kiện đi kèm hoặc tiềm ẩn những rủi ro không lường trước được.
– Ưu tiên chất lượng hơn là giá rẻ: Lấy cao răng là một thủ thuật nha khoa cần được thực hiện bởi bác sĩ có chuyên môn và sử dụng các thiết bị hiện đại. Vì vậy, bạn nên ưu tiên chất lượng dịch vụ hơn là chỉ quan tâm đến việc có được miễn phí hay không.
3. Nên lấy cao răng ở đâu?
Một phòng khám nha khoa chất lượng thường hội tụ những tiêu chí sau đây.
Trước hết, đội ngũ bác sĩ phải có chuyên môn vững vàng, thể hiện qua bằng cấp chính quy, kinh nghiệm thực hành phong phú và sự cập nhật liên tục những kiến thức mới nhất trong lĩnh vực nha khoa. Bên cạnh đó, phòng khám cần được trang bị các thiết bị, máy móc hiện đại, đảm bảo quy trình lấy cao răng được thực hiện chính xác, nhẹ nhàng và an toàn cho người bệnh.
Phòng khám cần được trang bị các thiết bị, máy móc hiện đại, đảm bảo quy trình lấy cao răng được thực hiện chính xác.
Một yếu tố không thể bỏ qua đó là quy trình vô trùng. Phòng khám cần tuân thủ nghiêm ngặt các quy định về vô trùng để tránh lây nhiễm chéo trong quá trình điều trị. Về mặt chi phí, mức giá dịch vụ nên hợp lý, tương xứng với chất lượng, không quá rẻ nhưng cũng không quá đắt. Cuối cùng, để có cái nhìn khách quan, bạn nên tham khảo những đánh giá, nhận xét từ những khách hàng đã từng sử dụng dịch vụ tại phòng khám đó.
Việc lấy cao răng miễn phí có thể là một cơ hội tốt để bạn chăm sóc răng miệng, nhưng cần phải cẩn trọng và tìm hiểu kỹ thông tin. Đừng vì ham rẻ mà lựa chọn những địa chỉ không uy tín, gây ảnh hưởng đến sức khỏe. Hãy ưu tiên chất lượng dịch vụ và lựa chọn những phòng khám nha khoa uy tín để đảm bảo an toàn và hiệu quả. Lấy cao răng định kỳ không chỉ giúp bạn có một nụ cười đẹp mà còn bảo vệ sức khỏe răng miệng và toàn thân.

















