Sâu răng cửa ở người lớn và cách xử trí
Sâu răng thường thường xuất hiện phổ biến ở những chiếc răng hàm nằm phía sau. Điều này là do cấu trúc bề mặt rãnh và năm bên trong nên khó vệ sinh. Tuy nhiên, các răng cửa ở phía trước vẫn có thể bị ảnh hưởng bởi sâu răng. Tình trạng sâu răng cửa ở người lớn có thể gây ra nhiều phiền toái, đặc biệt là về mặt thẩm mỹ.
1. Nguyên nhân, dấu hiệu sâu răng cửa
1.1. Nguyên nhân sâu răng cửa ở người lớn
Sâu răng cửa là một vấn đề răng miệng mà tổn thương xảy ra khi một hoặc nhiều lỗ hình thành trên răng cửa. Ban đầu, những lỗ này có kích thước nhỏ, tuy nhiên chúng sẽ ngày càng phát triển lớn hơn nếu không được điều trị kịp thời.
Nguyên nhân gây ra sâu răng cửa là do hoạt động của một số loài vi khuẩn có thể tồn tại trong mảng bám trên bề mặt răng. Vi khuẩn trong mảng bám có khả năng chuyển đổi đường trong thức ăn thành axit. Nếu mảng bám được cho phép tích tụ trong thời gian dài, axit này có thể bắt đầu làm hỏng men răng của bạn.
Việc vệ sinh răng hàng ngày không đúng cách cũng góp phần khiến răng sâu. Nếu việc chải răng không thực hiện đúng cách hoặc sử dụng bàn chải có lông quá to để làm sạch các kẽ răng, mảng bám có thể không được loại bỏ. Theo thời gian, điều này sẽ tạo điều kiện cho vi khuẩn xâm nhập và gây ra các vấn đề về răng miệng, đặc biệt là sâu răng. Vì thế, việc vệ sinh răng miệng đúng cách là một phần quan trọng để ngăn ngừa sâu răng nói chung, cũng như sâu răng cửa nói riêng.
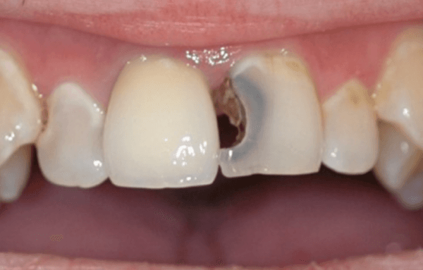
Sâu răng cửa rất ảnh hưởng đến thẩm mỹ
Dù ai cũng có khả năng bị sâu răng cửa, nhưng có một số người có nguy cơ cao hơn. Các yếu tố này bao gồm:
– Tiêu thụ một số loại thức ăn và đồ uống dễ gây sâu răng.
– Thường xuyên ăn vặt hoặc nhâm nhi thức ăn.
– Thiếu nước ở cơ thể.
– Hàm răng không đồng đều hoặc yếu.
– Tình trạng tụt nướu.
– Cao răng: Mảng bám thức ăn không được loại bỏ có thể tạo điều kiện thuận lợi cho vi khuẩn xâm nhập và gây hại cho men răng, gây ra sâu răng.
– Bệnh trào ngược axit từ dạ dày: Axit có thể gây mòn men răng.
– Thói quen vệ sinh răng miệng kém, ví dụ như không chải răng hoặc không sử dụng chỉ nha khoa hàng ngày.
– Thiếu vi chất fluorua.
– Miệng khô.
1.2. Những dấu hiệu sâu răng cửa ở người lớn
Những biểu hiện của sâu răng cửa sẽ phụ thuộc vào độ sâu của lỗ, ban đầu có thể không có triệu chứng rõ ràng, nhưng khi lỗ càng trở nên lớn hơn, các triệu chứng có thể trở nên nghiêm trọng hơn.
Các dấu hiệu của sâu răng cửa bao gồm:
– Đau hoặc nhức ở khu vực răng cửa mà không có dấu hiệu báo trước.
– Răng trở nên nhạy cảm.
– Đau khi tiêu thụ thực phẩm ngọt, nóng hoặc lạnh.
– Các lỗ hoặc vết nứt trên răng cửa.
– Vùng răng cửa xuất hiện vết đen, trắng hoặc nâu.
– Đau khi cắn xuống.
2. Răng cửa bị sâu có thể gây nên những hậu quả gì?
Sâu răng cửa thường được coi là một vấn đề thường thấy và không đáng quá lo lắng. Tuy nhiên, nếu bỏ qua tình trạng sâu răng cửa, sẽ có những hậu quả nghiêm trọng đe dọa đến sức khỏe. Cụ thể như sau:
– Sâu răng cửa làm hại men răng, làm răng trở nên yếu dần: Các chuyên gia cho biết rằng vùng nướu, xương ổ răng và dây chằng nha chu có mối liên hệ quan trọng với nhau. Chúng đảm nhận chức năng nâng đỡ và bảo vệ các mô mềm phía dưới. Mảng bám hình thành do sâu răng gây nên sẽ tạo điều kiện cho vi khuẩn xâm nhập, phá hủy men răng và làm cho răng trở nên yếu dần. Vị trí răng cửa là nơi thức ăn tiếp xúc đầu tiên, nên sâu răng cửa sẽ tạo điều kiện cho vi khuẩn tiếp tục xâm nhập, gây hại cho nướu răng.
– Sâu răng cửa ảnh hưởng đến sức khỏe tổng thể: Một số bộ phận trên cơ thể liên quan đến sức khỏe răng miệng, chẳng hạn như đường hô hấp và hệ tiêu hóa. Khi răng miệng bị tổn thương, sẽ ảnh hưởng đến các bộ phận khác. Sâu răng cửa gây rối loạn chức năng cắn và xé thức ăn, gây mệt mỏi và thậm chí gây sút cân.
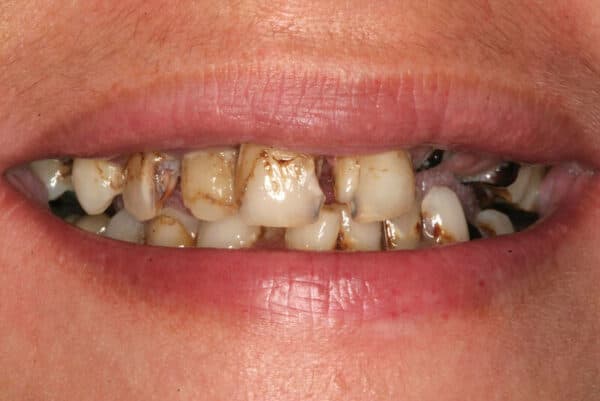
Răng sâu để lâu không chữa có thể ảnh hưởng đến sức khỏe tổng thể
– Sâu răng cửa ở người lớn sẽ ảnh hưởng tính thẩm mỹ: Biểu hiện của sâu răng là các vết sâu màu đen, nâu xám, làm mất đi tính thẩm mỹ của hàm răng. Lỗ sâu răng cũng tạo cảm giác không sạch sẽ, khiến người bệnh mất tự tin trong giao tiếp. Nếu không khắc phục, mảng bám thức ăn còn trên răng có thể dẫn đến răng ố vàng, nhiễm màu, gây sưng nướu, chảy máu và các bệnh lý liên quan.
– Sâu răng cửa ảnh hưởng tới tinh thần: Khi răng cửa bị sâu, bệnh nhân có thể luôn cảm thấy đau nhức và khó chịu, dẫn đến tình trạng mệt mỏi. Nếu kéo dài, tình trạng này có thể gây cáu giận, tâm trạng tiêu cực do dây thần kinh bị tổn thương.
Tóm lại, răng cửa bị sâu sẽ tác động mạnh mẽ đến chất lượng cuộc sống. Vì vậy, khi phát hiện dấu hiệu sâu răng, nên thăm khám tại các cơ sở nha khoa uy tín để được bác sĩ tư vấn và xử lý kịp thời.
3. Xử trí khi bị sâu răng cửa
Việc phát hiện và điều trị sâu răng cửa càng sớm càng tốt để ngăn ngừa tình trạng trở nên nghiêm trọng hơn. Điều này đặc biệt quan trọng đối với trẻ nhỏ, vì chúng thường có nguy cơ phát triển nhiều vết sâu răng ở các răng khác nhau.
Để phát hiện sớm sâu răng cửa, việc thường xuyên đi khám nha khoa là cần thiết. Tần suất khám sẽ do bác sĩ nha khoa quyết định dựa trên tình trạng răng miệng và tình hình sức khỏe tổng thể.
Trong khoảng thời gian chờ đến cuộc hẹn khám kế tiếp, triệu chứng của sâu răng cửa có thể gây khó chịu. Bạn có thể tham khảo bác sĩ về việc sử dụng thuốc giảm đau không kê đơn hoặc thực hiện các biện pháp như:
– Súc miệng bằng nước ấm.
– Có thể dùng loại kem đánh răng chuyên dụng cho răng nhạy cảm.
– Không nên ăn uống những đồ quá nóng hoặc lạnh.
Cần chọn lựa những địa chỉ nha khoa tin cậy để điều trị sâu răng
Để điều trị sâu răng cửa ở người lớn, bước đầu thường là loại bỏ phần răng bị sâu để ngăn vi khuẩn lan tỏa sang các phần răng khác. Kỹ thuật nạo vết sâu yêu cầu loại bỏ triệt để vùng bị sâu mà không ảnh hưởng đến mô lành. Tuy nhiên, với răng cửa, vì hình thể mảnh và men ở rìa răng mỏng, việc thực hiện điều này có thể gây mất quá nhiều mô răng thật. Điều này sẽ gây khó khăn cho việc phục hình và duy trì tính thẩm mỹ sau điều trị.
Cách điều trị sau đó sẽ phụ thuộc vào mức độ tổn thương của răng cửa, và các lựa chọn có thể bao gồm:
– Trám răng: Đối với những vết sâu nhỏ hoặc nằm ở mặt trong của răng cửa, bác sĩ có thể sử dụng vật liệu trám có màu tương tự với răng như nhựa composite để lấp đầy lỗ.
– Bọc răng (gắn mão răng): Đối với trường hợp răng bị sâu nặng đến mức không còn men răng khỏe mạnh, gắn mão răng có thể là phương án. Sau khi loại bỏ phần bị tổn thương, mão răng sẽ được đặt lên phần còn lại của răng.
– Lấy tủy răng cửa: Nếu chân răng hoặc tủy bị tổn thương không thể sửa chữa, lấy tủy răng có thể cần thiết. Bác sĩ sẽ loại bỏ dây thần kinh, mạch máu và mô bị sâu, sau đó lấp đầy các ống tủy bằng vật liệu phù hợp và đặt mão răng để bảo vệ và phục hồi răng.
Sâu răng cửa có thể ảnh hưởng đến sức khỏe răng miệng, tình trạng sức khỏe tổng thể, khả năng ăn nhai và vẻ đẹp của răng của bạn. Việc điều trị sâu răng cửa có thể trở nên phức tạp hơn nếu tổn thương lan rộng. Vì lý do này, quan trọng nhất là phải ngăn ngừa sâu răng cửa ở người lớn trước khi nó xuất hiện và cố gắng phát hiện kịp thời để đạt được hiệu quả tốt nhất trong việc điều trị.
















