Những cách chữa trị khi răng cửa bị sâu bên trong
Bệnh sâu răng là một vấn đề rất phổ biến trong lĩnh vực nha khoa. Sâu răng không chỉ có ở răng hàm mà còn xuất hiện ở răng cửa. Trong trường hợp răng cửa bị sâu bên trong, việc nhận biết sẽ dễ hơn do răng cửa ở vị trí dễ nhìn. Nếu sâu răng cửa không được xử trí có thể gây mất thẩm mỹ và gây nên nhiều vấn đề liên quan.
1. Nguyên nhân bị sâu răng cửa
Sâu răng là tình trạng mô cứng của răng bị tổn thương, ban đầu sẽ gây mòn lớp men bên ngoài của răng, sau đó sẽ tiến xa hơn vào ngà răng và tủy răng, gây ra viêm nhiễm tủy và hoại tử tủy. Quá trình này diễn ra khi vi khuẩn trong mảng bám và mảnh vụn thức ăn gây thiếu khoáng chất cho răng.
Các nguyên nhân dẫn đến sâu răng, đặc biệt ở răng cửa, chủ yếu xuất phát từ lối sống và chế độ ăn uống hàng ngày cũng như cách chăm sóc răng miệng. Cụ thể:
– Không đánh răng thường xuyên hoặc đánh răng sai cách làm cho mảng bám và thức ăn vẫn còn tồn tại ở giữa các kẽ răng và chân răng, tạo điều kiện thuận lợi cho vi khuẩn phát triển.
Vệ sinh răng miệng chưa đúng cách cũng là nguyên nhân khiến răng cửa bị sâu
– Nếu mảng bám không được loại bỏ, nó sẽ hình thành thành cao răng trong một khoảng thời gian, gây hại cho nướu và có thể gây viêm nướu, viêm nha chu.
– Thiếu việc uống nước đủ mỗi ngày dẫn đến khoang miệng khô, làm giảm tiết nước bọt – một yếu tố quan trọng trong việc loại bỏ mảng bám và cân bằng axit trong miệng.
– Thói quen ăn đồ ngọt, thức ăn chứa tinh bột hoặc ăn vặt đa dạng có thể tăng nguy cơ mắc sâu răng ở cả răng cửa và ngà răng.
2. Hậu quả sâu răng cửa
Thực chất răng bị sâu không phải vấn đề quá nghiêm trọng nếu như người bệnh phát hiện sớm và kịp thời xử lý tại nha khoa. Tuy nhiên, trong trường hợp sâu răng trở nên nghiêm trọng và lan tỏa đến ngà răng và tủy răng, những hậu quả nặng nề sẽ xuất hiện. Điều này không chỉ ảnh hưởng đến thẩm mỹ mà còn gây tác động xấu đến sức khỏe và tâm lý của người bệnh.
– Tác động đến thẩm mỹ
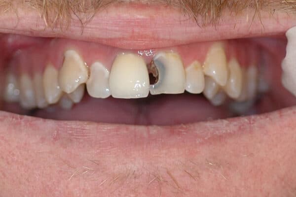
Răng cửa, vốn nằm ở phía trước, thường dễ dàng thấy khi mỉm cười hoặc giao tiếp hàng ngày. Vì thế, sự xuất hiện của sâu răng với những lỗ sâu và vết đen trên bề mặt răng sẽ gây tổn thương đến vẻ đẹp của miệng. Tình trạng này thường khiến người bệnh cảm thấy mất tự tin, do dự khi nói chuyện với người khác.
– Sự suy giảm trong việc ăn nhai
Bất kỳ chiếc răng nào bị sâu, đặc biệt là răng cửa, đều làm hoạt động ăn nhai trở nên khó khăn. Điều này dẫn đến răng trở nên yếu hơn, khó cắn xé thức ăn, cảm giác ê buốt và đau đớn khiến việc ăn trở nên khó khăn. Việc không ăn nhai đúng cách trong thời gian dài còn có thể dẫn đến các vấn đề liên quan đến hệ tiêu hóa và dạ dày.
– Mất men răng dẫn đến sự suy yếu
Sâu răng có thể ảnh hưởng rất nhiều mức độ, trong trường hợp nặng, việc mòn men răng gần như hoàn toàn làm cho răng trở nên yếu đi. Điều nghiêm trọng hơn là vi khuẩn có thể lây lan từ răng sâu xuống mô nướu, xương hàm và các tổ chức chống đỡ răng, gây ra hiện tượng lung lay và thậm chí là gãy rụng của răng.
Răng cửa bị sâu có thể làm ảnh hưởng đến nhiều vấn đề
– Tác động tiêu cực đến sức khỏe nha khoa
Sâu răng có thể gây ra nhiều vấn đề nha khoa nguy hiểm, bao gồm áp xe răng, viêm chóp răng, viêm xương hàm và thậm chí là mất nhiều răng. Tình trạng này khiến việc điều trị trở nên phức tạp và khó khăn hơn, có thể không thể phục hồi sức khỏe nha khoa như ban đầu.
– Ảnh hưởng sức khỏe toàn diện
Bệnh sâu răng có thể gây ra nhiều vấn đề liên quan đến hệ hô hấp và tiêu hóa. Trong trường hợp sâu răng lan tỏa và gây viêm nhiễm lặp lại, có nguy cơ nhiễm trùng máu, làm tăng khả năng mắc các bệnh về tim mạch, tiểu đường và nhiều bệnh lý khác.
3. Điều trị sâu răng cửa
Phát hiện sâu răng ở răng cửa rất dễ thông qua việc quan sát bằng mắt thường, nhận biết qua những lỗ sâu gây mất thẩm mỹ trên bề mặt răng. Ngay từ những giai đoạn ban đầu của bệnh, việc can thiệp nha khoa kịp thời là cần thiết để đảm bảo vẻ đẹp của răng cửa và, điều quan trọng hơn, bảo vệ sức khỏe toàn diện cho răng miệng và cả cơ thể.
Tùy thuộc vào mức độ nghiêm trọng của sâu răng, bác sĩ nha khoa sẽ lựa chọn một trong các phương pháp điều trị sau đây:
3.1. Trám răng cho răng cửa bị sâu bên trong
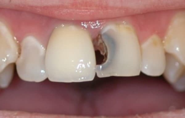
Khi răng cửa bị sâu, việc đầu tiên là loại bỏ vùng sâu và các mảng tủy bị viêm, hoại tử để ngăn ngừa nguy cơ lan truyền tới các vùng răng khỏe mạnh. Sau đó, bác sĩ sẽ tiến hành trám răng cửa bằng Composite, tạo ra một lớp vật liệu tương tự răng để khôi phục hình dáng và màu sắc ban đầu của răng.
Tùy thuộc vào tình trạng, việc trám răng cửa có thể khá phức tạp và độ bền không cao. Vì răng cửa thường có hình dáng nhỏ, rìa mỏng, và nếu mất mô răng nhiều thì lớp trám dễ bong tróc khi ăn nhai. Vì vậy, đối với những trường hợp sâu răng nghiêm trọng, việc sử dụng phương pháp trám răng thẩm mỹ không phải lúc nào cũng phù hợp.
Nên đi khám để được bác sĩ định hướng cách xử trí khi răng bị sâu
3.2. Bọc răng sứ cho răng cửa bị sâu bên trong
Việc bọc răng sứ cho răng bị sâu yêu cầu răng còn phần chân khỏe mạnh để làm trụ nâng đỡ cho mão răng sứ. Mão răng sứ vừa đảm bảo thẩm mỹ, vừa có độ bền cao và khả năng chịu lực ăn nhai tốt.
Có nhiều loại răng sứ như sứ kim loại và sứ toàn phần. Đối với răng cửa, sứ toàn phần thường được khuyến nghị. So với sứ kim loại, sứ toàn phần không bị ánh đen khi tiếp xúc với ánh sáng và không gây viền đen nướu do tác động của kim loại. Hơn nữa, về cả hiệu quả và độ bền, răng sứ toàn phần được đánh giá cao hơn nhiều.
3.3 Nhổ răng và trồng răng giả
Trong trường hợp sâu răng quá nặng và không thể áp dụng các phương pháp khác như trám răng hay bọc sứ, việc nhổ răng sâu là cần thiết. Điều này giúp ngăn ngừa tình trạng tổn thương các cấu trúc xung quanh răng và ngăn ngừa các biến chứng nguy hiểm.
Sau khi nhổ răng, trồng răng giả là cần thiết, đặc biệt là sử dụng phương pháp trồng răng Implant để ngăn ngừa tình trạng tiêu xương hàm. Việc này đảm bảo cả về thẩm mỹ lẫn chức năng ăn nhai, tương tự như một chiếc răng thật.
Răng cửa bị sâu bên trong cũng đem lại mối nguy hiểm đáng lo ngại. Ngay khi phát hiện răng bị sâu, việc quan trọng là bạn nên đến thăm bác sĩ nha khoa để có phương án điều trị kịp thời.

















