Mức độ nguy hiểm của cao răng cấp độ 3
Tình trạng cao răng cấp độ 3 thường gây là nhiều ảnh hưởng không tốt tới sức khỏe. Thậm chí nếu cao răng không được xử lý kịp thời, người bệnh có thể gặp phải những biến chứng nguy hiểm. Những biến chứng có thể xảy ra là gì và làm sao để khắc phục tình trạng cao răng độ 3?
1. Cao răng hình thành có mấy cấp độ?
Tình trạng cao răng ở con người được chia làm 4 cấp độ. Trong đó:
1.1 Cao răng cấp độ 1
Cấp độ 1 là tình trạng khi cao răng mới hình thành. Thời điểm này, ta khó có thể nhận thấy khi không quan sát thật kĩ. Điều này là bởi những thức ăn thừa, cặn bẩn bám lại còn mềm và mỏng. Chúng có màu sắc trắng nhạt, bám dính trên khuôn hàm. Ở giai đoạn này, ta có thể chủ động dùng móng tay hoặc loại bàn chải lông mềm để xử lý cao răng độ 1.
1.2 Cao răng cấp đô 2
Cao răng ở cáp độ 2 sẽ bắt đầu chuyển từ những mảng bám mềm, mỏng sang tình trạng cứng hơn. Cao răng khi này cũng sẽ bám chặt hơn vào bề mặt răng. Không giống như cấp độ 1 có thể dùng tay hay bàn chải để làm sạch cao răng. Bệnh nhân có cao răng độ 2 cần tới nha khoa để được bác sĩ hỗ trợ xử lý.
1.3 Cao răng cấp độ 3
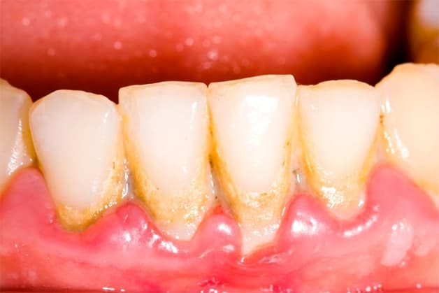
Ở cấp độ 3, cao răng cứng, bám chặt và khó có thể loại bỏ
Đây là thời điểm tình trạng cao răng bắt đầu nghiêm trọng hơn. Màu sắc cao răng sẽ chuyển dần từ màu vàng nhạt sang vàng đậm và nâu nhạt. Do đó, người bệnh cũng có thể dễ dàng nhận thấy chúng. Khi này, độ cứng chắc và dày của cao răng đã tăng lên nhiều. Không còn chỉ xuất hiện ở phần trong hàm, cao răng độ 3 còn lấn ra cả phần mặt ngoài của răng.
1.4 Cao răng cấp độ 4
Độ 4 là mức độ cao nhất của cao răng. Lúc này, màu sắc của cao răng đã chuyển sang đen. Tình trạng cao răn ăn sâu và bám chắc vào phần nướu răng, chân răng. Điều này khiến phần chân răng bị lộ rõ ra phía ngoài. Với cấp độ này, cao răng có thể xâm nhập, tấn công cả vào xương hàm bên trong.
2. Sự nguy hiểm của cao răng cấp độ 3
Ngay từ giai đoạn độ 3, người bệnh đã có thể nhận thấy rõ những tác động xấu mà cao răng gây ra. Cụ thể, cao răng độ 3 sẽ bao phủ nướu gây nhiều vấn đề nghiêm trọng. Điển hình như viêm nướu, tụt lợi, chân răng bị hở, răng dễ bị lung lay dẫn tới gãy rụng.
Ngoài ra, với vùng nướu bị viêm nhiễm có thể dẫn tới những bệnh lý nguy hiểm như
– Chảy máu ở chân răng: Cao răng độ 3 quá dày đè lên phần nướu răng sẽ gây nên những tổn thương. Đặc biệt, với vùng nướu ở sát chân răng sẽ dẫn tới hiện tượng bị chảy máu.
– Viêm nướu: Khi cao răng quá dày sẽ ăn sâu vào phần chân răng. Khi đó, những vi khuẩn có trong cao răng sẽ xâm nhập vào vùng nướu dẫn tới viêm nhiễm. Dây thần kinh và xương hàm cũng sẽ bị ảnh hưởng.
– Men răng bị suy yếu: Phần cao răng bám chặt khiến men răng bị suy yếu, tạo điều kiện thuận lợi cho vu khuẩn xâm nhập, gây nên những tình trạng như viêm tủy, đau răng, hoại tử lợi, …
– Hôi miệng: Những mảng bám lâu ngày không được loại bỏ cùng vi khuẩn kẽ răng sẽ gây mùi khó chịu. Điều này ảnh hưởng nghiêm trọng tới người bệnh trong quá trình giao tiếp.
Cao răng độ 3 không xử lý sớm có thể kéo theo nhiều biến chứng
Ta có thể thấy, cao răng độ 3 gây ra nhiều nguy hiểm với sức khỏe người bệnh. Do đó, khi nhận biết được cao răng đang ở mức độ nào, người bệnh cần nhanh chóng đến nha khoa uy tín để loại bỏ.
3. Phương pháp làm sạch cao răng cấp độ 3
Để có thể làm sạch cao răng độ 3, phương pháp duy nhất chính là tới bệnh viện, cơ sở y tế uy tín để bác sĩ kiểm tra, tiến hành xử lý với những dụng cụ chuyên dụng. Hiện nay, phương pháp lấy cao răng siêu âm đang được sử dụng phổ biến nhất. Ưu điểm của phương pháp này chính là loại bỏ triệt để cao răng mà không gây ảnh hưởng tới những mô mềm xung quanh. Phần mũi sóng siêu âm có thiết kế với tần số cao. Nhờ đó, việc phá vỡ liên kết của các mảng bám cao răng trở nên dễ dàng hơn. Dù lớp cao răng có dày, bám chặt cỡ nào cũng có thể được xử lý hoàn toàn.
Quy trình lấy cao răng độ 3 sẽ được thực hiện với 5 bước cơ bản:
– Bước 1: Kiểm tra và tư vấn.
– Bước 2: Thực hiện vệ sinh sạch răng miệng.
– Bước 3: Tiến hành các bước loại bỏ cao răng.
– Bước 4: Đánh bóng cho răng.
Sau khi vừa lấy cao răng, ta cần thực hiện chế độ chăm sóc phù hợp để bảo vệ sức khỏe răng miệng và làm chậm quá trình hình thành cao răng
– Bước 5: Kiểm tra răng miệng và hướng dẫn chăm sóc.
4. Những lưu ý về chăm sóc sau khi lấy cao răng
Tuy lấy cao răng là một phương pháp nha khoa khá an toàn và không gây tình trạng xâm lấn tới cấu trúc răng. Tuy nhiên, men răng sau khi lấy cao vẫn sẽ khá nhạy cảm. Vì vậy, sau khi thực hiện lấy cao răng, ta cần thực hiện một chế độ chăm sóc phù hợp:
– Hạn chế tối đa việc sử dụng những loại thực phẩm, nước uống có màu sẫm. Điều này là bởi men răng sau khi vừa lấy cao sẽ rất dễ bị nhiễm màu.
– Sau khi vừa lấy cao răng không thực hiện tẩy trắng răng ngay. Nếu muốn tẩy trắng răng, ta cần chờ tới khi tình trạng răng đã ổn định hơn.
– Bổ sung thêm đầy đủ các loại dưỡng chất cần thiết cho sức khỏe răng miệng. Ví dụ như chất xơ, vitamin, canxi, … Nhờ đó, răng sẽ khỏe mạnh hơn và làm chậm quá trình hình thành cao răng mới.
– Thực hiện quá trình vệ sinh răng miệng khoa học, phù hợp. Cụ thể, hãy chải răng với thao tác nhẹ, bàn chải lông mềm và lưu ý mỗi lần đánh răng không quá 2 phút. Đánh răng quá lâu có thể gây nên tình trạng mòn men răng.
– Bên cạnh việc đánh răng, ta nên sử dụng chỉ nha khoa và nước muối sinh lý súc miệng để việc làm sạch được tối ưu hơn, hạn chế hình thành cao răng mới.
Trên đây là những chia sẻ về cao răng độ 3 và những giải pháp để khắc phục. Hy vọng qua đó, mọi người đã nắm được phương pháp để chăm sóc sức khỏe răng miệng tốt hơn.

















