Mảng bám cứng trên răng: Nguyên nhân và cách loại bỏ
Mảng bám cứng trên răng là một trong những vấn đề răng miệng phổ biến, gây ảnh hưởng lớn đến thẩm mỹ và sức khỏe răng miệng. Nếu không được xử lý kịp thời, mảng bám cứng có thể dẫn đến nhiều biến chứng nghiêm trọng như sâu răng, viêm nướu và thậm chí mất răng. Bài viết này sẽ giúp bạn hiểu rõ nguyên nhân, tác hại và cách loại bỏ mảng bám cứng trên răng một cách hiệu quả.
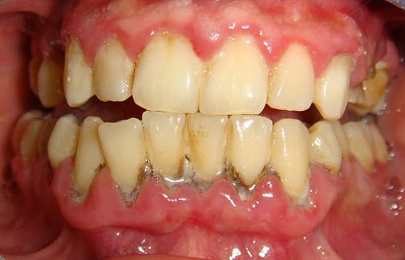
1. Mảng bám cứng trên răng là gì?
Mảng bám cứng trên răng, hay còn gọi là cao răng, là sự tích tụ của các mảng bám mềm đã cứng lại trên bề mặt răng và nướu. Mảng bám này hình thành từ vi khuẩn, thức ăn thừa, và khoáng chất từ nước bọt. Khi các mảng bám mềm không được loại bỏ đúng cách và kịp thời, chúng sẽ cứng lại thành cao răng, tạo ra các mảng bám cứng chắc trên răng.
Mảng bám cứng trên răng được hình thành từ chính các mảng bám mềm.
Mảng bám mềm là lớp màng mỏng, dính, không màu hoặc hơi vàng, hình thành trên bề mặt răng sau khi ăn uống. Nếu không được làm sạch thường xuyên qua việc đánh răng và sử dụng chỉ nha khoa, các mảng bám mềm này sẽ kết hợp với khoáng chất trong nước bọt và cứng lại thành cao răng. Cao răng thường có màu vàng hoặc nâu và bám chặt vào bề mặt răng, làm cho việc loại bỏ bằng cách chải răng thông thường trở nên khó khăn.
2. Những nguyên nhân hình thành mảng bám cứng cao răng
2.1. Vệ sinh răng chưa đạt dễ dẫn đến mảng bám cứng trên răng
Một trong những nguyên nhân chủ yếu dẫn đến sự hình thành của mảng bám cứng là vệ sinh răng miệng không đúng cách hoặc không đủ thường xuyên. Khi bạn không đánh răng đủ số lần hoặc không chải răng đúng cách, mảng bám mềm – chứa vi khuẩn, thức ăn thừa và khoáng chất từ nước bọt – sẽ tích tụ trên bề mặt răng. Nếu không được loại bỏ kịp thời, mảng bám mềm này sẽ cứng lại thành cao răng.
2.2. Nguyên nhân do chế độ ăn uống
Chế độ ăn uống đóng vai trò quan trọng trong việc hình thành mảng bám cứng. Việc tiêu thụ nhiều đồ ăn và thức uống chứa đường, tinh bột và acid tạo điều kiện thuận lợi cho vi khuẩn phát triển và hình thành mảng bám. Các thực phẩm như kẹo, bánh ngọt, nước ngọt có ga, và các loại trái cây chứa nhiều acid như cam, chanh, cũng góp phần làm tăng nguy cơ hình thành mảng bám cứng.
2.3. Sự kết hợp của nước bọt và thức ăn tạo ra mảng bám cứng trên răng
Nước bọt đóng vai trò quan trọng trong việc duy trì sự cân bằng khoáng chất trong miệng và giúp làm sạch tự nhiên các mảng bám trên răng. Tuy nhiên, nước bọt cũng chứa khoáng chất như canxi và phosphate. Khi các mảng bám mềm kết hợp với các khoáng chất này, chúng sẽ cứng lại và tạo thành cao răng. Quá trình này diễn ra nhanh hơn nếu bạn có lượng nước bọt nhiều hoặc nước bọt có chứa nhiều khoáng chất.
2.4. Hút thuốc lá
Hút thuốc lá không chỉ làm răng ố màu mà còn góp phần hình thành mảng bám cứng nhanh hơn. Các chất hóa học trong khói thuốc lá, chẳng hạn như nicotine và tar, tạo điều kiện thuận lợi cho vi khuẩn phát triển và tích tụ trên răng. Đồng thời, hút thuốc lá làm giảm khả năng làm sạch tự nhiên của nước bọt, dẫn đến sự hình thành nhanh chóng của cao răng.
Cao răng hình thành bởi nhiều nguyên nhân.
2.5. Do đặc điểm cá thể dễ hình thành cao răng
Yếu tố di truyền cũng có thể ảnh hưởng đến sự hình thành cao răng. Một số người có thể có răng và nướu dễ bị tích tụ mảng bám hơn do cấu trúc răng hoặc lượng khoáng chất trong nước bọt của họ. Nếu bạn có tiền sử gia đình bị cao răng hoặc các vấn đề về răng miệng, bạn cũng có nguy cơ cao hơn gặp phải tình trạng này.
3. Cách loại bỏ và phòng ngừa mảng bám cao răng
Mảng bám cứng trên răng, hay còn gọi là cao răng, không chỉ gây mất thẩm mỹ mà còn ảnh hưởng đến sức khỏe răng miệng. Việc loại bỏ mảng bám cứng cần được thực hiện đúng cách để đảm bảo răng và nướu luôn khỏe mạnh. Dưới đây là những phương pháp hiệu quả giúp loại bỏ mảng caorăng.
Đánh răng ít nhất hai lần mỗi ngày với kem đánh răng chứa fluoride là cách cơ bản nhất để ngăn ngừa và loại bỏ mảng bám. Đánh răng đúng cách, kỹ lưỡng trong ít nhất hai phút, và chải đều tất cả các bề mặt của răng. Tránh làm tổn thương nướu bằng cách dùng bàn chả mềm. Đặc biệt, hãy chú ý chải sạch khu vực đường viền nướu, nơi mảng bám thường tích tụ.
Nước súc miệng chứa các chất kháng khuẩn giúp loại bỏ vi khuẩn và giữ cho miệng luôn sạch sẽ và hơi thở thơm mát. Sử dụng nước súc miệng sau khi đánh răng và dùng chỉ nha khoa để tăng cường hiệu quả làm sạch răng miệng. Hãy chọn nước súc miệng chứa fluoride để bảo vệ men răng và ngăn ngừa sâu răng.
Thăm khám nha sĩ định kỳ ít nhất hai lần mỗi năm để kiểm tra và làm sạch răng chuyên sâu. Bác sĩ nha khoa sẽ sử dụng các dụng cụ chuyên dụng như máy cạo vôi răng và máy siêu âm để loại bỏ mảng bám cứng và cao răng một cách hiệu quả. Việc thăm khám định kỳ giúp ngăn ngừa các vấn đề răng miệng nghiêm trọng và duy trì sức khỏe răng miệng tốt nhất.
Đến nha khoa để được lấy cao răng an toàn và sạch sẽ.
Chọn kem đánh răng chứa các thành phần giúp ngăn ngừa mảng bám và cao răng, đồng thời bảo vệ men răng và nướu. Các loại kem đánh răng chứa baking soda, fluoride và các chất kháng khuẩn có thể giúp làm sạch răng hiệu quả và ngăn ngừa sự hình thành của mảng bám cứng.
Hạn chế tiêu thụ đồ ăn và thức uống chứa nhiều đường, tinh bột và acid. Tăng cường ăn rau củ quả, trái cây và thực phẩm giàu chất xơ để làm sạch răng tự nhiên và bảo vệ men răng. Uống nhiều nước giúp làm sạch miệng và ngăn ngừa sự hình thành của mảng bám.
Mảng bám cứng trên răng là vấn đề không thể xem nhẹ, có thể dẫn đến nhiều biến chứng nghiêm trọng nếu không được xử lý kịp thời. Việc duy trì vệ sinh răng miệng đúng cách, thăm khám nha sĩ định kỳ và thay đổi thói quen ăn uống sẽ giúp bạn loại bỏ mảng bám cứng và bảo vệ sức khỏe răng miệng. Hãy chăm sóc răng miệng đúng cách để giữ cho nụ cười luôn sáng bóng và khỏe mạnh.














