Loại bỏ cao răng tại nhà: Lợi bất cập hại
Cao răng không chỉ gây khó chịu mà còn có ảnh hưởng rất xấu đến sức khỏe răng miệng của bạn. Thay vì đến phòng khám nha khoa, nhiều người lựa chọn loại bỏ cao răng tại nhà. Vậy, thực sự thì loại bỏ cao răng tại nhà có nên hay không? Trong bài viết này, Thu Cúc TCI xin làm sáng tỏ thắc mắc của rất nhiều người này, đọc ngay nếu quan tâm, bạn nhé!
1. Cao răng và một số thông tin bạn cần biết
1.1. Cao răng là gì? Cao răng hình thành ra sao?
Cao răng là một lớp cứng hình thành trên bề mặt răng do quá trình khoáng hóa của mảng bám. Quá trình hình thành cao răng diễn ra theo các bước sau:
– Hình thành mảng bám: Mảng bám là một lớp mỏng, chứa vi khuẩn, thức ăn thừa và các hợp chất từ nước bọt, bám trên bề mặt răng.
– Tích tụ và khoáng hóa: Mảng bám không được loại bỏ bằng bàn chải – kem đánh răng và chỉ nha khoa, sẽ tích tụ và bắt đầu khoáng hóa trong vòng từ 24 đến 72 giờ. Trong quá trình này, các khoáng chất như canxi và phosphate trong nước bọt sẽ tích tụ tại mảng bám và biến đổi mảng bám thành một lớp cứng, gọi là cao răng,
– Hình thành cao răng: Cao răng thường hình thành ở những nơi có sự tích tụ nước bọt nhiều, như gần các tuyến nước bọt dưới lưỡi và gần lợi. Khi đã hình thành, cao răng rất khó để loại bỏ chỉ bằng bàn chải – kem đánh răng và chỉ nha khoa.
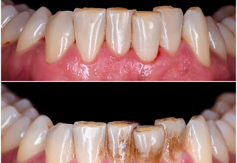
Cao răng thường hình thành ở những nơi có sự tích tụ nước bọt nhiều, như gần các tuyến nước bọt dưới lưỡi và gần lợi.
1.2. Cao răng có những tác hại nào?
Sự tồn tại của cao răng không chỉ ảnh hưởng đến thẩm mỹ mà còn gây ra nhiều tác hại lâu dài cho sức khỏe răng miệng. Dưới đây là một số tác hại của cao răng mà nhiều người có thể gặp phải:
– Hơi thở có mùi: Cao răng tích tụ vi khuẩn và thức ăn thừa có thể gây hôi miệng, làm ảnh hưởng đến sự tự tin và khả năng giao tiếp của người bệnh.
– Sâu răng: Cao răng tạo điều kiện thuận lợi cho vi khuẩn sản sinh acid từ thức ăn, đặc biệt là thức ăn chứa đường và tinh bột. Acid này có thể phá hủy men răng, dẫn đến sâu răng.
– Viêm nướu và bệnh nha chu: Cao răng chứa hàng tỷ vi khuẩn có thể gây viêm nướu, khiến nướu sưng và chảy máu. Viêm nướu có thể tiến triển thành bệnh nha chu – một tình trạng viêm nghiêm trọng, ảnh hưởng đến mô và xương hỗ trợ răng, có thể khiến răng lung lay và rụng.
– Ảnh hưởng đến sức khỏe tổng thể: Nghiên cứu chỉ ra rằng bệnh nha chu liên quan đến cao răng có thể làm tăng nguy cơ mắc các bệnh toàn thân như bệnh tim mạch, đái tháo đường và các vấn đề sinh sản như sinh non và trẻ sinh ra nhẹ cân.
Cao răng chứa hàng tỷ vi khuẩn có thể gây viêm nướu, khiến nướu sưng và chảy máu.
2. Giải đáp chi tiết thắc mắc: Loại bỏ cao răng tại nhà có nên hay không?
2.1. Loại bỏ cao răng tại nhà có nên hay không?
Loại bỏ cao răng định kỳ là rất quan trọng để duy trì sức khỏe răng miệng và dự phòng các vấn đề sức khỏe tổng thể khác. Để loại bỏ cao răng hiệu quả, cần sự can thiệp của nha sĩ. Việc loại bỏ cao răng tại nhà không được khuyến khích vì nhiều lý do, đặc biệt liên quan đến an toàn và hiệu quả của quá trình này. Dưới đây là một số nguyên nhân chính khiến bạn không nên loại bỏ cao răng tại nhà:
– Loại bỏ không hiệu quả: Cao răng rất cứng và bám chặt trên bề mặt răng, loại bỏ không triệt để có thể khiến cao răng sót lại, từ đó dẫn đến sự tích tụ cao răng trở lại nhanh chóng.
– Tổn thương men răng và nướu: Nha sĩ sử dụng các công cụ chuyên dụng như máy siêu âm để loại bỏ cao răng một cách nhẹ nhàng. Những dụng cụ này được thiết kế để không gây hại cho men răng và nướu. Sử dụng dụng cụ không chuyên dụng tại nhà, men răng và nướu có thể tổn thương. Men răng và nướu còn có thể tổn thương do bạn vụng về không được đào tạo kỹ năng loại bỏ cao răng bài bản. Nướu tổn thương, có thể chảy máu hoặc thậm chí là teo, dẫn đến các vấn đề răng miệng nghiêm trọng hơn trong tương lai.
– Tăng nguy cơ nhiễm trùng: Sử dụng dụng cụ không đảm bảo vệ sinh hoặc không sử dụng dụng cụ đúng cách có thể dẫn đến nhiễm trùng tại các khu vực xung quanh răng và nướu.
Vì những lý do trên, việc loại bỏ cao răng nên được thực hiện tại các phòng khám nha khoa, bởi các nha sĩ. Họ có kiến thức, kỹ năng và trang thiết bị phù hợp để đảm bảo quá trình loại bỏ cao răng diễn ra an toàn và hiệu quả, giúp bảo vệ sức khỏe răng miệng của bạn.
Việc loại bỏ cao răng nên được thực hiện tại các phòng khám nha khoa, bởi các nha sĩ.
2.2. Hướng dẫn loại bỏ cao răng tại nhà trước khi nó hình thành
Lấy cao răng tại nhà là không nên. Tuy nhiên, có một số phương pháp bạn có thể thực hiện tại nhà để hạn chế sự hình thành của cao răng; những phương pháp đó là:
– Vệ sinh răng miệng thường xuyên: Sử dụng bàn chải mềm và kem đánh răng chứa fluoride để vệ sinh răng miệng ít nhất hai lần một ngày, đặc biệt là sau khi ăn và trước khi đi ngủ. Dùng thêm chỉ nha khoa để hỗ trợ loại bỏ mảng bám và thức ăn thừa giữa các kẽ răng, nơi mà bàn chải tiếp cận không hiệu quả. Sử dụng thêm nước súc miệng chứa fluoride hoặc nước súc miệng chống khuẩn để hỗ trợ giảm mảng bám.
– Thực hành chế độ ăn uống lành mạnh: Giảm đường và tinh bột trong chế độ ăn uống có thể giúp hạn chế sự phát triển của mảng bám, từ đó hạn chế sự hình thành cao răng.
Phía trên là câu trả lời cho câu hỏi loại bỏ cao răng tại nhà có nên hay không. Nhiều người hy vọng có thể lấy cao răng tại nhà để vừa tiết kiệm chi phí. Thực tế, mặc dù có nhiều phương pháp ngăn ngừa cao răng hình thành, chúng ta không có phương pháp lấy cao răng tại nhà nào thực sự hiệu quả. Việc loại bỏ cao răng tại nhà tiềm ẩn nhiều nguy cơ như loại bỏ không hiệu quả, tổn thương men răng và nướu, tăng nguy cơ nhiễm trùng. Bởi thế, tốt nhất là bạn nên đến phòng khám nha khoa để được nha sĩ loại bỏ cao răng an toàn.
















