Điều trị viêm nướu cho từng giai đoạn
Viêm nướu hay viêm lợi là tình trạng tại lợi xuất hiện phản ứng viêm. Đây là một trong những bệnh lý răng miệng “khó ưa” có tỷ lệ mắc lớn nhất thế giới. Phải làm sao để điều trị viêm nướu? Muốn điều trị viêm nướu hiệu quả chúng ta cần phải biết những thông tin gì? Thông tin chi tiết được chia sẻ trong bài viết sau, cùng Thu Cúc TCI khám phá bạn nhé!
1. Dấu hiệu nhận biết viêm nướu
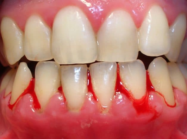
Viêm nướu có thể tiến triển liên tục mà không biểu hiện nhiều triệu chứng, ngay cả khi bệnh đã ở giai đoạn cuối. Tuy nhiên, đôi khi bệnh nhân cũng gặp một hoặc một vài triệu chứng bệnh như sau: Nướu sưng, đỏ, mềm, chảy máu trong và sau khi vệ sinh răng miệng, ăn nhai, nói chuyện; tụt nướu làm lộ chân răng; xuất hiện mủ hoặc túi sâu hoặc cả hai giữa răng và nướu; lệch khớp cắn; răng đau, nhạy cảm, lung lay khi ăn nhai; hôi miệng; nếu bệnh nhân có sử dụng răng giả thì răng giả có thể trở nên không phù hợp.
Bị viêm nướu bệnh nhân thường chảy máu lợi khi vệ sinh răng miệng, ăn nhai và nói chuyện
2. Nguyên nhân viêm nướu
Bệnh lý viêm nướu chủ yếu phát sinh do vệ sinh răng miệng kém, tạo điều kiện cho mảng bám và cao răng hình thành, gây viêm các mô xung quanh nướu. Cụ thể, các nguyên nhân và yếu tố rủi ro của bệnh lý này có thể kể đến là:
– Vệ sinh răng miệng kém, mảng bám và cao răng hình thành: Như đã chia sẻ phía trên, đây là nguyên nhân sinh viêm nướu chính. Sau khi ăn 10 – 15 phút, trên bề mặt răng sẽ xuất hiện một lớp màng sinh học. Nếu không được loại bỏ, lớp màng này sẽ dày lên mỗi ngày. Cho đến một độ dày nhất định, chúng được gọi là mảng bám. Ban đầu, mảng bám mềm và có thể vệ sinh dễ dàng bàn chải – kem đánh răng, chỉ nha khoa, tăm nước. Tuy nhiên, nếu chúng ta tiếp tục để nguyên chúng trên bề mặt răng, muối vô cơ trong nước bọt sẽ vôi hóa chúng thành cao răng. Cao răng cứng và rắn, không thể vệ sinh bằng các phương pháp thông thường tại nhà. Sự tồn tại của mảng bám và cao răng kích thích phản ứng của hệ miễn dịch, khiến các mô nướu bị phá hủy, gây viêm nướu.
– Rối loạn nội tiết tố: Bao gồm các thay đổi nội tiết tố vì mang thai, dậy thì, kinh nguyệt, tiền mãn kinh. Rối loạn nội tiết tố khiến nướu nhạy cảm hơn, dễ viêm hơn.
– Bệnh lý tiềm ẩn: Một số bệnh suy giảm miễn dịch có thể làm tăng nguy cơ viêm nướu, chẳng hạn như: HIV/AIDS, ung thư,… Ngoài ra bệnh nhân tiểu đường dễ nhiễm trùng, cũng dễ bị viêm nướu.
– Sử dụng thuốc điều trị bệnh: Một số thuốc điều trị có thể làm giảm hoạt động tuyến nước bọt, gây khô miệng; trong khi đó, nước bọt có nhiệm vụ bảo vệ răng và nướu. Những thuốc này là: Thuốc chống co giật Dilantin, thuốc chống đau thắt ngực, thuốc Procardia hoặc Adalat.
– Hút thuốc: Những người hút thuốc lá có nguy cơ bị viêm nướu cao hơn những người không hút thuốc lá.
– Tuổi tác: Bệnh lý viêm nướu xuất hiện nhiều hơn ở những người cao tuổi. Hiện tượng này xảy ra rất có thể là do hệ miễn dịch của người cao tuổi bị suy giảm.
– Chế độ dinh dưỡng thiếu cân bằng: Cụ thể là chế độ dinh dưỡng thiếu Vitamin C – Vitamin có tác dụng nâng cao sức đề kháng của cơ thể.
– Gen
Người hút thuốc dễ bị viêm nướu hơn người không hút thuốc
3. Biến chứng viêm nướu
Kiểm soát bệnh lý viêm nướu tương đối đơn giản. Tuy nhiên, viêm nướu có nguy cơ phát triển thành viêm nha chu, nếu không được điều trị tích cực kịp thời. Được biết, viêm nha chu là bệnh lý gây tiêu xương ổ răng, tiêu xương hàm và rụng răng, rất nguy hiểm.
Bên cạnh đó, viêm nướu mãn tính cũng đã được thừa nhận là có liên quan đến một số bệnh lý toàn thân, chẳng hạn như các bệnh hô hấp, bệnh tiểu đường, bệnh động mạch vành, đột quỵ hoặc viêm khớp dạng thấp. Theo đó, vi khuẩn gây viêm nướu có thể xâm nhập vào máu và di chuyển đến tim, phổi, các cơ quan khác của cơ thể.
4. Điều trị viêm nướu
4.1. Điều trị viêm nướu ở giai đoạn nhẹ
Ở giai đoạn nhẹ, viêm nướu có thể được cải thiện chỉ bằng việc vệ sinh răng miệng.
Cách vệ sinh răng miệng đúng đắn là:
Bước 1 – Sử dụng bàn chải và kem đánh răng: Chải răng bằng bàn chải và kem đánh răng theo chuyển động tròn hoặc dọc (không chải theo chuyển động ngang). Đặt bàn chải nghiêng một góc 45 độ so với viền nướu khi chải răng cửa và đặt bàn chải song song bề mặt răng khi chải răng hàm. Mỗi ngày, thực hiện 2 – 3 lần, trong 2 – 3 phút, sau khi ăn ít nhất nửa giờ. Lưu ý về bàn chải và kem đánh răng: Lựa chọn bàn chải mềm và kem đánh răng kháng khuẩn.
Bước 2 – Sử dụng chỉ nha khoa và tăm nước: Để làm sạch các vùng không thể làm sạch bằng bàn chải.
Bước 3 – Sử dụng dung dịch kháng khuẩn hoặc nước muối sinh lý 0,9% để súc miệng.
Ngoài vệ sinh răng miệng tại nhà mỗi ngày, bệnh nhân viêm nướu cũng cần đến cơ sở y tế chuyên khoa răng hàm mặt để vệ sinh răng miệng chuyên sâu. Bởi vệ sinh răng miệng tại nhà chỉ có thể làm sạch mảng bám còn cao răng thì không.
Bệnh nhân viêm nướu cần đến phòng nha để vệ sinh răng miệng chuyên sâu
4.2. Điều trị viêm nướu giai đoạn nặng
Ở giai đoạn nặng, đe dọa hoặc đã tiến triển đến viêm nha chu, bệnh nhân cần phải được điều trị với chuyên gia. Theo đó, tùy thuộc tình trạng bệnh của từng cá nhân, chuyên gia sẽ chỉ định bệnh nhân sử dụng một số thuốc điều trị, có thể tham khảo như sau:
– Nước súc miệng chứa chlorhexidine – một chất kháng khuẩn sát trùng
– Thuốc sát trùng giải phóng theo thời gian chứa chlorhexidine: Chuyên gia sẽ nhét thuốc này vào răng sau khi răng được lấy cao.
– Các vi cầu kháng sinh chứa minocycline: Sau khi lấy cao răng, chuyên gia sẽ đưa chúng vào túi nha chu.
Càng điều trị viêm nướu sớm, hiệu quả điều trị càng cao, bệnh nhân càng tiết kiệm được công sức, thời gian và tiền bạc. Chính vì vậy, ngay khi dấu hiệu viêm nướu xuất hiện, bệnh nhân cần tìm kiếm sự hỗ trợ của chuyên gia. Nhiều bệnh nhân viêm nướu có thể không gặp phải bất cứ một triệu chứng bất thường nào ở giai đoạn đầu của bệnh. Thế nên, thăm khám định kỳ tại phòng nha là cần thiết để phát hiện và điều trị sớm viêm nướu.

















