Chi phí lấy cao răng hiện nay và quy trình thực hiện
Cao răng là một vấn đề tưởng chừng đơn giản nhưng lại khá nguy hiểm nếu không xử lý triệt để. Bạn có thắc mắc chi phí lấy cao răng hiện nay và quy trình thực hiện ra sao không? Cùng Thu Cúc TCI tìm hiểu mức chi phí cạo vôi răng trước khi đến nha khoa nhé.
1. Tìm hiểu về cao răng và lý do phải lấy cao răng
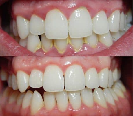
Mảng bám vàng trắng trên chân răng và vùng dưới nướu, được gọi là cao răng hay vôi răng trong lĩnh vực y tế. Cao răng xuất hiện khi thức ăn, mảng bám không được loại bỏ thường xuyên. Từ đó tạo điều kiện cho sự tích tụ vi khuẩn có hại. Trong tình trạng này, vi khuẩn chiếm tới 70% thành phần của cao răng. Mặc dù đánh răng được hàng ngày, nhưng không thể loại bỏ hoàn toàn cao răng cứng đầu.
Cao răng xuất hiện khi thức ăn, mảng bám không được loại bỏ (minh họa).
Theo nha sĩ, việc vệ sinh đều đặn cao răng rất cần thiết để ngăn chặn sự tích tụ quá mức, dẫn đến tình trạng cao răng trở nên dày đặc và gắn chắc vào chân răng hoặc kẽ răng. Điều này khiến viêm lợi và chảy máu chân răng nặng thêm do sự phát triển nhanh chóng của vi khuẩn.
Không chỉ vậy, cao răng dày còn tạo điều kiện cho vi khuẩn gây ra các vấn đề bệnh lý khác. Ví dụ như viêm amidan, lở miệng, và viêm họng. Vì vậy, việc loại bỏ cao răng chủ động sẽ giảm thiểu rất nhiều nguy cơ viêm nhiễm.
2. Lấy cao răng có đau và buốt không?
Phương pháp lấy cao răng thực hiện nhanh chóng và không gây xâm nhập vào cấu trúc răng hoặc tủy. Do đó không gây khó khăn về sức khỏe trong quá trình thực hiện. Mặc dù vậy, những người có răng nhạy cảm có thể trải qua cảm giác ê buốt răng. Hiện tượng này thường chỉ kéo dài trong thời gian ngắn và tự dần biến mất.
Ngoài ra, có thể gặp hiện tượng chảy máu chân răng trong quá trình lấy cao răng. Tuy nhiên, không quá lo ngại vì hiện tượng chảy máu là do lớp cao răng đã trở nên dày đặc và bám chặt vào chân răng. Do đó, đi lấy mảng cao răng đó ra ít nhiều cũng có thể khiến nướu chảy máu..
Để giảm thiểu đau buốt sau khi thực hiện lấy cao răng,nên tuân thủ các điều sau:
– Tránh ăn nhiều thức ăn và đồ uống nóng quá mức hoặc quá lạnh.
– Hạn chế tiếp xúc với thuốc lá, đồ uống có màu đậm hoặc có cồn trong thời gian sau quá trình lấy cao răng.
– Nếu cần sử dụng thuốc, hãy tuân thủ đúng liều lượng được ghi trong hướng dẫn.
– Tuân theo lịch hẹn tái khám theo chỉ định của chuyên gia y tế.
3. Các yếu tố tác động đến chi phí lấy cao răng
Việc xác định chi phí lấy cao răng tại mỗi phòng nha khoa phụ thuộc vào nhiều yếu tố cụ thể, trong đó bao gồm:
3.1 Mức độ tình trạng vôi răng (nhiều hay ít):
Đây là một yếu tố quan trọng ảnh hưởng đến giá lấy cao răng. Người có ít vôi răng và không có vấn đề về sức khỏe răng miệng thường có chi phí thấp hơn. Ngược lại, những người có nhiều vôi răng hơn sẽ phải trả mức giá cao hơn.
3.2 Đối tượng thực hiện (độ tuổi):
Giá lấy cao răng cũng phụ thuộc vào độ tuổi của người thực hiện. Trẻ em thường có mức giá thấp hơn so với người lớn.
3.3 Cơ sở nha khoa thực hiện lấy cao răng:
Mặc dù lấy cao răng không phức tạp, giá cả vẫn khác nhau tùy theo cơ sở nha khoa. Điều này phụ thuộc vào trang thiết bị, trình độ của bác sĩ thực hiện. Vì vậy, việc tìm hiểu và lựa chọn các cơ sở uy tín là điều quan trọng.
Chi phí lấy cao răng vẫn khác nhau tùy theo cơ sở nha khoa (minh họa).
Tóm lại, việc định giá dịch vụ lấy cao răng có sự biến đổi tùy theo nhiều yếu tố cụ thể. Hiểu rõ những yếu tố này sẽ giúp bạn có cái nhìn toàn diện hơn về giá cả và lựa chọn được phòng nha khoa phù hợp.
4. Chi phí lấy cao răng hiện nay ở mức bao nhiêu?
Hiện tại, dịch vụ lấy cao răng đã khá phổ biến tại các phòng nha khoa trên thị trường. Do đó, không tránh khỏi sự biến đổi giá cả giữa các cơ sở nha khoa. Mặc dù có sự chênh lệch về giá, nhưng phạm vi này không quá rộng. Hiện nay, giá cho dịch vụ lấy cao răng dao động từ khoảng 100.000 – 400.000đ mỗi lượt.
5. Quy trình 4 bước lấy cao răng chuẩn y tế
Cách tiến hành lấy cao răng chuẩn y tế theo 4 bước như sau:
5.1 Bước 1: Tư vấn
Trước hết, khách hàng sẽ trải qua một buổi kiểm tra tổng quan về tình trạng răng miệng. Và quan trọng là, không mất phí cho quá trình này. Nếu bất kỳ vấn đề nào khác về răng miệng được phát hiện, bác sĩ sẽ thảo luận với bạn. Sau đó, nha sĩ sẽ đưa ra phương pháp điều trị vôi răng phù hợp.
5.2 Bước 2: Loại bỏ cao răng
Sử dụng sóng âm để loại bỏ những mảng cao răng đã bám chặt quanh chân răng và cổ răng. Thời gian thực hiện cho mỗi lần cạo vôi răng thường dao động trong khoảng 15-20 phút. Đôi khi, trong những trường hợp phức tạp, việc này có thể kéo dài hơn.
5.3 Bước 3: Đánh bóng bề mặt răng sau cạo
Ngay sau khi quá trình loại bỏ cao răng hoàn tất, bác sĩ sẽ tiến hành sang bước 3. Ở bước này bác sĩ sử dụng các dụng cụ chuyên dụng để đánh bóng bề mặt răng. Bước giúp làm sáng bóng hơn bề mặt răng và ngăn chặn sự tái hình thành của cao răng.
5.4 Bước 4: Kiểm tra và hoàn tất
Cuối cùng, một lần kiểm tra sẽ được thực hiện để đảm bảo rằng cao răng đã được loại bỏ hoàn toàn. Tại giai đoạn này, quá trình loại bỏ cao răng mới chính thức hoàn thành.
6. 4 Lợi ích của lấy cao răng định kỳ với sức khỏe
Theo lời khuyên từ các chuyên gia y tế, nên lấy cao răng định kỳ từ 1 – 2 lần mỗi năm. Điều này cực kỳ quan trọng để duy trì thẩm mỹ và sức khỏe cho răng miệng. Việc lấy cao răng mang lại nhiều ưu điểm đáng kể như sau:
6.1 Nguy cơ mắc các bệnh lý về răng miệng giảm hẳn
Cao răng chứa đựng vi khuẩn, dễ gây sâu răng, mòn men răng, tụt lợi, và viêm nha chu. Lấy cao răng có thể ngăn chặn sự phát triển vi khuẩn và hạn chế rủi ro mắc phải các bệnh này.
Nguy cơ mắc các bệnh lý về răng miệng giảm hẳn (minh họa).
6.2 Luôn duy trì được hơi thở thơm mát
Lớp cao răng dày đặc gây khó khăn cho quá trình vệ sinh răng miệng. Điều này dẫn đến việc vi khuẩn tăng nhanh và gây ra mùi hôi miệng. Bằng cách loại bỏ tình trạng cao răng, bạn sẽ cải thiện và có hơi thở thơm mát hơn.
6.3 Răng trở nên sạch sẽ và thẩm mỹ hơn
Màu sắc của cao răng thường bị tối màu hơn so với màu tự nhiên của răng về mặt thẩm mỹ. Bằng cách loại bỏ cao răng, bạn sẽ khôi phục lại hàm răng sáng bóng.
6.4 Sức khỏe cho răng và xương hàm được đảm bảo
Vi khuẩn từ cao răng có thể xâm nhập sâu vào khu vực nướu và gây tổn thương cho răng và xương hàm. Về lâu dài điều này có thể gây ra hư hỏng cho cấu trúc răng và xương hàm, thậm chí dẫn đến mất răng.
Hy vọng những thông tin về chi phí lấy cao răng hiện nay và quy trình thực hiện hữu ích với bạn đọc. Đừng quên lấy cao răng cũng chính là một cách đơn giản và tốn ít chi phí nhất để bảo vệ răng miệng.

















