Cạo vôi răng như thế nào cho đúng cách?
Những mảng bám chân răng chính là địa chỉ ẩn nấp của các vi khuẩn gây bệnh cho răng. Với phương pháp cạo vôi răng tiên tiến cùng sự hỗ trợ của Nha sĩ khéo léo của bệnh viện Thu Cúc, nỗi lo bệnh răng miệng với những mảng bám dày đặc nguy hại sẽ nhanh chóng được “giải quyết” mang đến cho bạn hàm răng chắc khỏe, sáng bóng.
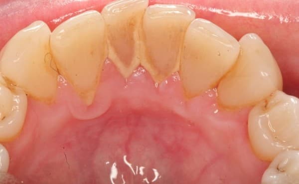
Tại sao phải cao vôi răng?

- Những mảng bám quanh chân răng là môi trường cho các vi khuẩn ẩn nấp gây hại cho răng vì vậy cần được loại bỏ.
Cao răng là chất cặn cứng có màu vàng nâu, thường đóng xung quanh cổ răng được hình thành từ các thành phần phân hủy của thức ăn, cách chất vô cơ và vi khuẩn trong khoang miệng. Theo đó, cao răng có thể bám trên bề mặt răng, kẽ giữa các răng và ở vùng lợi cổ răng. Một số trường hợp có cao răng dưới lợi gây nên tình trạng tiêu xương ổ răng nghiêm trọng,..
Cao răng bám nhiều trên răng sẽ gây các bệnh lý có hại cho răng miệng, tạo điều kiện cho các vi khuẩn thừa cơ tấn công răng gây nên các bênh răng miệng. Do đó lấy cao răng và đánh bóng răng là việc làm cần thiết thực hiện để chăm sóc tốt sức khỏe răng miệng. Các chuyên gia nha khoa khuyên rằng bạn nên thực hiện khám sức khỏe răng miệng định kì và cạo vôi răng ít nhất 1 – 2 lần trong 1 năm để loại bỏ những vấn đề răng miệng.
Dịch vụ cạo vôi răng ở Thu Cúc
Được chú trọng đầu tư về cả nhân lực và vật lực, khoa Răng hàm mặt bệnh viện Thu Cúc hiện đang là địa chỉ được đông đảo người bệnh tin tưởng lựa chọn các dịch vụ khám và điều trị bệnh răng miệng và nha khoa thẩm mỹ trong đó có dịch vụ cạo vôi răng.

- Các nha sĩ giỏi trực tiếp thực hiện thao tác cạo vôi răng khéo léo, nhẹ nhàng tạo cảm giác dễ chịu cho mọi người bệnh.
Thực hiện cao vôi răng ở bệnh viện Thu Cúc, người bệnh sẽ được đội ngũ bác sĩ giỏi chuyên môn giàu kinh nghiệm trực tiếp thăm khám, chẩn đoán tình trạng bệnh lý mô răng, xác định có cao răng và tư vấn phương pháp điều trị hiệu quả. Các nha sĩ tại khoa Răng hàm mặt – bệnh viện Thu Cúc hầu hết đều được đào tạo tại cơ sở y khoa uy tín và có thời gian dài tu nghiệp tại các quốc gia có nền nha khoa hàng đầu thế giới. Đây là cơ hội lớn để các bác sĩ tiếp cận với các kĩ thuật, công nghệ nha khoa hiện đại và áp dụng vào thăm khám và điều trị cho mọi người bệnh tại bệnh viện Thu Cúc.

- Công nghệ cạo vôi răng tiên tiến nhanh chóng làm sạch các mảng bám chân răng đem lại hiệu quả tối ưu.
Để hỗ trợ thực hiện các dịch vụ khám bệnh răng miệng tổng quát và nha khoa thẩm mỹ, khoa Răng hàm mặt bệnh viện Thu Cúc đã trang bị các thiết bị y tế công nghệ cao hiện đại, được nhập khẩu từ nước ngoài như: hệ thống gồm 6 ghế máy nha khoa Gnatus (Braxin), đèn hàn quang trùng hợp Litesx (Mỹ), máy X quang kỹ thuật số RSV (Pháp), máy nội soi răng (Hàn Quốc),.. Với sự hỗ trợ của hệ thống trang thiết bị này, kỹ thuật cạo vôi răng tại bệnh viện Thu Cúc được thực hiện nhanh gọn và không ảnh hưởng đến răng, không gây cảm giác ê buốt, đau nhức răng cho người bệnh. Dưới sự hỗ trợ của các công cụ nha khoa và kinh nghiệm của bác sĩ, việc lấy cao răng chỉ mất khoảng thời gian ngắn mọi mảng bám quanh răng đều được loại bỏ hoàn toàn giúp bạn nhanh chóng phục hồi hàm răng chắc khỏe.
Quy trình cạo vôi răng được thực hiện bài bản theo đúng quy định tiêu chuẩn của Bộ Y tế. Theo đó, các nha sĩ thực hiện các thao tác một cách khéo léo, nhẹ nhàng giúp loại bỏ những mảng bám và vôi đã bám cứng trên răng, làm sạch những tác nhân viêm nhiễm nằm sâu dưới nướu lợi. Toàn bộ răng được làm sạch bởi máy cạo vôi răng bằng sóng siêu âm kết hợp với kĩ thuật đánh bóng và tạo cho răng có bề mặt mịn giảm thiểu các mảng bám và tác nhân gây bệnh răng miệng.

- Trang thiết bị y tế hiện đại, không gian bệnh viện sang trọng, sạch sẽ tạo cảm giác thoải mái, dễ chịu cho mọi người bệnh đến thực hiện dịch vụ tại Thu Cúc.
Với bất kỳ thao tác y tế nào, vấn đề vô khuẩn vô trùng đều được ưu tiên hàng đầu. Hiểu rõ về yêu cầu về độ vệ sinh và an toàn khoa Răng hàm mặt bệnh viện Thu Cúc luôn chú trọng trong khâu vô khuẩn tất cả các dụng cụ và thiết bị y tế. Thực hiện cạo vôi răng tại đây, người bệnh sẽ được thực hiện tại phòng vô trùng với bộ dụng cụ riêng đã được khử khuẩn tuyệt đối.
Tại không gian sang trọng, hiện đại, tiện nghi của quy mô bệnh viện – khách sạn hướng tới tiêu chuẩn Quốc tế của Bệnh viện Thu Cúc, người bệnh sẽ được đội ngũ nhân viên tiếp đón và chỉ dẫn nhiệt tình chu đáo tạo cảm giác thoải mái, dễ chịu cho bạn trong suốt quá trình thực hiện dịch vụ.
Sau khi cạo vôi răng cần lưu ý gì?
Sau khi cạo vôi răng để giữ răng luôn bền màu không bị ngả màu nhanh, luôn chắc khỏe, bạn nên chú ý:
- Không nên sử dụng các loại đồ ướng đậm màu như cà phê, rượu vang đỏ, trà, nước giải khát có màu,.
- Các loại gia vị như mù tạc, nước sốt cà chua, nước tương.
- Không ăn đồ ăn quá nóng quá lạnh.
- Không hút thuốc, hạn chế ăn các loại bánh kẹo từ socola.
- Hạn chế dùng son môi hay những chất tạo màu khác.
- Đánh răng ít nhất 2 lần mỗi ngày với kem đánh răng có chữa flour.
- Uống nhiều nước, sữa.
- Ăn nhiều trái cây như chuối, táo.
- Bổ sung đầy đủ các dưỡng chất cần thiết cho cơ thể.
- Đến khám nha sĩ khi có hiện tượng răng ngả màu nhanh sau khi cạo vôi răng.
Để được tư vấn kĩ hơn về dịch vụ cạo vôi răng tại Bệnh viện Thu Cúc, hoặc muốn đặt lịch thăm khám sớm nhất cùng các nha sĩ giỏi, xin vui lòng liên hệ tổng đài 1900 55 88 92, hotline 0936 388 288.

















