Cao răng độ 3 là gì và cách xử lý
Thực tế, cao răng có nhiều cấp độ khác nhau và cao răng độ 3 được chuyên gia đánh giá là đáng báo động, có thể nguy hiểm tới sức khỏe răng miệng. Vậy bạn đã biết cao răng độ 3 là gì chưa? Cùng Thu Cúc TCI tìm hiểu ngay về cao răng độ 3 là gì và cách xử lý nó qua bài viết dưới đây nhé.
1. Tìm hiểu cao răng độ 3 là gì?
Cao răng cấp độ 3 đặc trưng bởi sự hình thành mảng bám cứng đầu trên bề mặt răng, bất kể là ở mặt trong hay mặt ngoài. Sự hình thành cao răng xuất phát từ việc không làm sạch được các mảnh vụn thức ăn, chúng đọng lại trong kẽ răng và dần dần biến thành lớp mảng cứng khó vệ sinh.
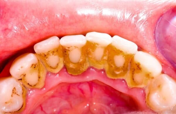
Hình ảnh cao răng độ 3 có các mảng bám vàng sẫm màu và cứng (minh họa).
Các mức độ cao răng được phân chia thành 4 cấp độ từ 1 đến 4. Trong đó, cao răng cấp độ 1 và 2 thường không gây ra nhiều khó khăn cho người bệnh. Tuy nhiên, cao răng cấp độ 3 là khi mảng bám đã phát triển dày và cứng. Từ đó, gây ra những khó khăn lớn trong việc làm sạch cao răng. Độ dày của mảng cao răng có thể lên đến 2mm, lan rộng xung quanh thân răng và bám dính xuống nướu. Mảng bám này thường có màu vàng đậm hoặc nâu đậm và xuất hiện cả ở mặt trong và mặt ngoài của răng, làm cho hàm răng trở nên không đẹp mắt.
2. Cao răng độ 3 nguy hiểm như thế nào tới sức khỏe?
Tình trạng cao răng có thể gặp ở mức độ nhẹ hoặc nặng, đều ảnh hưởng đến sức khỏe răng miệng của mỗi người một cách khác nhau. Cao răng cấp độ 3 được xem xét là một vấn đề khá nghiêm trọng, không chỉ gây mất thẩm mỹ và phiền toái mà còn có thể dẫn đến nhiều vấn đề sức khỏe răng miệng nguy hiểm:
2.1 Chảy máu chân răng:
Lớp vôi răng quá dày ở mức 3 có thể ảnh hưởng lên nướu, gây tổn thương cho vùng nướu gần chân răng và dẫn đến chảy máu nướu.
2.2 Viêm nướu:
Cao răng dày và nhiễm sâu vào chân răng tạo điều kiện cho vi khuẩn xâm nhập vào nướu. Từ đó cao răng mức 3 này có thể gây viêm nướu. Điều này có thể ảnh hưởng đến dây thần kinh và xương hàm.
2.3 Suy yếu men răng:
Cao răng bám chặt vào bề mặt răng làm dần mòn men răng, tạo điều kiện thuận lợi cho vi khuẩn xâm nhập, gây đau răng, viêm tủy, hoại tử lợi và nhiều vấn đề khác.
2.4 Viêm và nhiễm trùng lợi:
Khi vi khuẩn trong mảng bám tấn công nướu, có thể dẫn đến viêm nhiễm lợi răng. Nguy cơ tụt lợi chân răng, răng lung lay và gãy rụng cũng tăng lên.
2.5 Gây hôi miệng:
Các mảng bám cứng đầu và vi khuẩn kẽ răng có thể gây ra hơi thở khó chịu, ảnh hưởng đến giao tiếp. Vì những biến chứng nghiêm trọng như trên, việc duy trì vệ sinh miệng thường xuyên và làm sạch cao răng cấp độ 3 là vô cùng quan trọng để bảo vệ sức khỏe răng miệng, ngăn ngừa tình trạng tiến triển thành các bệnh lý răng miệng nguy hiểm hơn.
3. Cách loại bỏ cao răng độ 3 như thế nào?
Để loại bỏ cao răng độ 3, giải pháp hiệu quả nhất là tìm đến các phòng nha khoa uy tín để thực hiện quá trình loại bỏ cao răng. Hiện nay, nhiều nha khoa đã áp dụng công nghệ lấy cao răng siêu âm, giúp loại bỏ cao răng một cách hoàn toàn và hiệu quả.
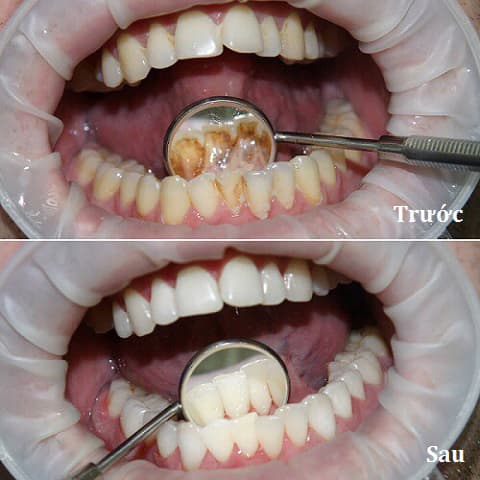
Hình ảnh trước và sau khi loại bỏ cao răng, hàm răng trở nên trắng khỏe hơn.
Công nghệ lấy cao răng siêu âm hoạt động thông minh, giúp loại bỏ các mảng bám cứng đầu. Dù cao răng đã tồn tại trong thời gian dài, nó vẫn được loại bỏ an toàn, hạn chế tối đa tình trạng chảy máu. Quy trình lấy cao răng phải đạt tiêu chuẩn của Bộ Y tế và được thực hiện bởi đội ngũ bác sĩ chuyên môn có nhiều kinh nghiệm.
Dưới đây là quy trình tiêu chuẩn của việc lấy cao răng tại các bệnh viện lớn:
Bước 1: Thăm khám và tư vấn với bác sĩ chuyên môn về cao răng đang mắc phải.
Bước 2: Tiến hành vệ sinh răng miệng để chuẩn bị cho quá trình lấy cao răng.
Bước 3: Thực hiện quá trình loại bỏ cao răng bằng công nghệ siêu âm.
Bước 4: Đánh bóng răng để khôi phục thẩm mỹ và sự trơn tru của bề mặt răng.
Bước 5: Kiểm tra cuối cùng và hướng dẫn cách chăm sóc răng miệng sau quá trình lấy cao răng.
4. Nên đi lấy cao răng thời điểm nào?
Khi nào nên thực hiện quá trình loại bỏ cao răng là một câu hỏi quan trọng. Cao răng thường bám mạnh vào chân răng và nướu răng. Trong một số trường hợp, khi bạn ăn thức ăn, cao răng có thể tự rơi ra. Tuy nhiên, những mảng bám này không thể tự bong tróc hoàn toàn và cần sự can thiệp từ bên ngoài. Việc lấy cao răng định kỳ giúp loại bỏ chúng và ngăn ngừa nhiều vấn đề về sức khỏe răng miệng. Vậy, thời điểm nào là lý tưởng để thực hiện quá trình lấy cao răng?
Bác sĩ đang thực hiện lấy cao răng mức 3 cho bệnh nhân (minh họa).
Theo khuyến nghị của nhiều chuyên gia, bạn nên xem xét lấy cao răng mỗi khoảng 6 tháng một lần. Tuy nhiên, nếu bạn phát hiện cao răng hình thành và gắn chặt nhanh chóng, có thể xem xét cạo vôi răng sau 3-4 tháng một lần để đảm bảo sức khỏe răng miệng của bạn.
5. Lưu ý chăm sóc sau khi lấy cao răng độ 3
Sau khi lấy cao răng, cần chú ý đến việc chăm sóc răng miệng để bảo vệ men răng. Mặc dù quá trình lấy cao răng không gây tổn thương cấu trúc răng nhưng răng vẫn cần bảo vệ. Men răng sau lấy cao răng vẫn có thể nhạy cảm và trong một số trường hợp, có thể dẫn đến ê buốt răng. Dưới đây là 5 lưu ý quan trọng sau lấy cao răng mức 3:
– Hạn chế tiêu thụ thực phẩm có màu sẫm đen như cà phê, trà đen… Vì trong thời gian này men răng đang nhạy cảm, chúng dễ bị nhiễm màu và xỉn đi.
– Không nên tiến hành tẩy trắng răng ngay sau khi lấy cao răng. Hãy đợi cho đến khi răng đã ổn định trở lại.
– Bổ sung đủ dinh dưỡng cho sức khỏe răng miệng, bao gồm chất xơ, canxi, vitamin,… Mục đích để giúp răng khỏe mạnh và ngăn ngừa sự hình thành cao răng cấp 3.
– Vệ sinh răng miệng đúng cách bằng cách đánh răng nhẹ nhàng với bàn chải có lông mềm. Hãy hạn chế thời gian đánh răng không quá 2 phút để tránh mài mòn men răng.
– Sử dụng chỉ nha khoa và súc miệng nước muối hàng ngày để duy trì khoang miệng sạch sẽ. Khi đó vi khuẩn không có cơ hội phát triển dẫn tới hạn chế tình trạng hình thành cao răng.
Hy vọng những thông tin về cao răng độ 3 là gì và cách xử lý kể trên hữu ích cho bạn đọc. Để giảm thiểu nguy cơ xấu đến sức khỏe răng và nướu, hãy thực hiện loại bỏ cao răng sớm. Hơn nữa, duy trì thói quen vệ sinh miệng đúng cách, cân nhắc chế độ ăn uống bằng việc tăng cường tiêu thụ thực phẩm tốt cho răng, và hạn chế đồ ăn ngọt có thể gây hại cho men răng. Những thói quen này sẽ giúp bảo vệ sức khỏe răng miệng của bạn tốt hơn.
















