Bọc răng sứ 1 chiếc được không, chuyên gia giải đáp
Bọc sứ là một trong những phương pháp phục hình răng được ưa chuộng nhất hiện nay bởi nó có khả năng cải thiện thẩm mỹ cũng như chức năng ăn nhai của răng vô cùng hiệu quả. Nhiều người thường tự hỏi liệu có thể bọc răng sứ 1 chiếc được không. Bài viết này của Thu Cúc TCI sẽ cung cấp lời giải đáp chi tiết cho vấn đề đó, giúp bạn hiểu hơn về bọc sứ và tự tin lựa chọn phương pháp phục hình răng này, nếu cần.
1. Bọc sứ là giải pháp phục hình răng như thế nào?
Bọc sứ là phương pháp phục hình răng được áp dụng rộng rãi trong nha khoa để khôi phục chức năng ăn nhai và thẩm mỹ của răng có khiếm khuyết. Trong phương pháp này, bác sĩ nha khoa sẽ che phủ hoàn toàn răng thật bằng một mão sứ được chế tác riêng biệt.
Trong bọc sứ, bác sĩ nha khoa sẽ che phủ hoàn toàn răng thật bằng một mão sứ được chế tác riêng biệt.
2. Giải đáp thắc mắc chi tiết: Bọc răng sứ 1 chiếc được không?
Bọc răng sứ một chiếc được không? Câu trả lời cho câu hỏi này là: Có, bạn hoàn toàn có thể bọc sứ cho chỉ một chiếc răng. Bọc sứ cho chỉ một chiếc răng là phương pháp phổ biến trong các trường hợp:
– Một răng có khiếm khuyết về màu sắc: Đối với răng bị đổi màu nghiêm trọng, không thể cải thiện đáng kể bằng phương pháp tẩy trắng, bọc sứ có thể là phương pháp cải thiện vấn đề thích hợp. Mão sứ có thể được chế tác để phù hợp với màu sắc tự nhiên của các răng còn lại, mang lại hình ảnh đồng đều và hài hòa.
– Một răng có khiếm khuyết về hình dạng hoặc kích thước: Đối với răng có hình dạng hoặc kích thước bất thường, bọc sứ có thể cải thiện đáng kể về thẩm mỹ. Mão sứ sẽ được thiết kế để điều chỉnh hình dạng và kích thước của răng, tạo nên một nụ cười đẹp.
– Một răng mòn nghiêm trọng: Răng có thể mòn do chế độ ăn uống có hàm lượng acid cao hoặc do nghiến răng. Bọc sứ cho răng mòn giúp phục hồi chức năng ăn nhai và bảo vệ răng thật.
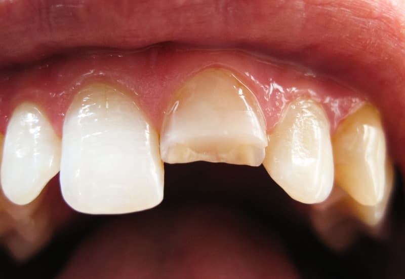
– Một răng bị gãy hoặc mẻ: Khi một răng bị gãy hoặc mẻ lớn, phục hình bằng bọc sứ có thể giúp khôi phục hình dạng và chức năng ăn nhai của răng. Mão sứ sẽ che phủ phần răng tổn thương và bảo vệ nó khỏi các tổn thương tiếp theo.
– Một răng đã điều trị tủy: Sau khi điều trị tủy, răng thường yếu và dễ gãy; bọc sứ giúp tăng cường độ bền cho răng, đồng thời cải thiện thẩm mỹ cho răng đã thay đổi màu sau điều trị tủy.
Khi một răng bị gãy hoặc mẻ lớn, phục hình bằng bọc sứ có thể giúp khôi phục hình dạng và chức năng ăn nhai của răng.
3. Quy trình bọc răng sứ 1 chiếc
Tương tự bọc sứ nhiều răng, quy trình bọc sứ một răng cũng bao gồm nhiều bước cần thiết để đảm bảo mão sứ phù hợp về mặt thẩm mỹ cũng như chức năng ăn nhai với những răng tự nhiên còn lại. Theo đó, dưới đây là các bước chính trong quy trình bọc sứ cho một răng:
3.1. Thăm khám và tư vấn
Bác sĩ nha khoa thăm khám răng miệng tổng quát và trao đổi về nhu cầu cũng như mong muốn của bạn. Bác sĩ cũng kiểm tra răng cần phục hình và xác định xem bọc sứ có phải là giải pháp phù hợp nhất cho răng này hay không.
3.2. Chuẩn bị răng
Nếu quyết định bọc sứ, bác sĩ nha khoa sẽ tiến hành chuẩn bị răng. Trong quá trình chuẩn bị răng này, bác sĩ nha khoa mài một lượng nhỏ men răng để tạo không gian cho mão sứ. Mài răng giúp đảm bảo rằng mão sứ khi lắp vào sẽ vừa với răng thật, hài hòa với các răng tự nhiên còn lại và không làm thay đổi khớp cắn của bạn.
3.3. Lấy dấu răng
Sau khi răng đã được chuẩn bị, bác sĩ sẽ lấy dấu răng của bạn. Dấu răng này sau đó được gửi đến phòng thí nghiệm để chế tác mão sứ. Chế tạc mão sứ thường mất vài ngày đến một tuần, tùy thuộc vào phòng thí nghiệm.
3.4. Lắp mão sứ tạm thời
Trong thời gian chờ đợi mão sứ hoàn thiện, bác sĩ có thể lắp một mão sứ tạm thời cho bạn. Mão sứ tạm thời này giúp bảo vệ răng đã mài, duy trì chức năng ăn nhai, đồng thời giúp bạn quen với cảm giác có dị vật trong miệng.
3.5. Lắp mão sứ hoàn thiện
Khi mão sứ đã hoàn thiện, bạn sẽ quay lại phòng khám để bác sĩ thử mão sứ trên răng của bạn. Bác sĩ sẽ kiểm tra xem mão sứ có phù hợp về màu sắc, hình dạng và kích thước không. Nếu tất cả đều ổn, mão sứ sẽ được gắn cố định vào răng thật bằng keo chuyên dụng.
3.6. Đánh giá cuối cùng và chỉnh sửa
Sau khi mão sứ đã được lắp, bác sĩ sẽ tiến hành các điều chỉnh cuối cùng để đảm bảo bạn cảm thấy thoải mái và khớp cắn của bạn chính xác. Bác sĩ cũng sẽ hướng dẫn bạn cách chăm sóc mão sứ để đảm bảo nó bền đẹp lâu dài.
Bác sĩ sẽ kiểm tra xem mão sứ có phù hợp về màu sắc, hình dạng và kích thước không.
Phía trên là câu trả lời cho câu hỏi bọc răng sứ 1 chiếc được không. Theo đó, bạn hoàn toàn có thể bọc răng sứ cho chỉ 1 chiếc răng, khi răng đó có vấn đề về thẩm mỹ (xỉn màu, hình dáng và kích thước bất thường) hay khi răng đó có vấn đề về chức năng ăn nhai (gãy, mẻ, đã điều trị tủy…). Bọc sứ một răng không chỉ giúp bảo vệ răng đó mà còn giúp cải thiện chức năng ăn nhai và thẩm mỹ tổng thể của cả hàm. Quy trình bọc sứ một răng không khác quy trình bọc sứ nhiều răng, cũng bao gồm các bước: Thăm khám và tư vấn, chuẩn bị răng, lấy dấu răng, lắp mão sứ tạm thời, lắp mão sứ hoàn thiện, đánh giá cuối cùng và chỉnh sửa. Nếu bạn đang cân nhắc bọc sứ một răng, hãy tham khảo ý kiến của bác sĩ nha khoa để đảm bảo rằng đây là phương pháp phục hình phù hợp nhất cho tình trạng răng của mình. Bằng cách lựa chọn mão sứ phù hợp và tuân thủ các hướng dẫn chăm sóc sau điều trị, bạn sẽ có thể tận hưởng những lợi ích lâu dài từ quyết định bọc sứ một răng của bản thân.














