Hình ảnh viêm phế quản và cách nhận biết, điều trị
Viêm phế quản là một trong những bệnh lý hô hấp phổ biến ở trẻ nhỏ, đặc biệt là trong những mùa giao mùa hoặc khi thời tiết thay đổi đột ngột. Bệnh xảy ra khi niêm mạc phế quản bị viêm nhiễm do virus hoặc vi khuẩn, dẫn đến khó thở, ho và nhiều triệu chứng khó chịu khác. Việc nhận biết hình ảnh viêm phế quản một cách chính xác, nhanh chóng là rất quan trọng để phát hiện và đảm bảo trẻ được điều trị kịp thời, tránh những biến chứng nguy hiểm. Kết bài cần có 1 lần nữa cụm từ chủ đề. Bên cạnh đó, bạn nên có 1 đoạn dẫn dắt khoảng 2-3 câu trước khi gạch đầu dòng liệt kê
1. Viêm phế quản là gì?
Viêm phế quản xảy ra khi đường dẫn khí trong phổi bị viêm, dẫn đến ho và khó thở. Bệnh có thể do virus, vi khuẩn hoặc các tác nhân kích thích như bụi, khói thuốc lá gây ra. Đối với trẻ nhỏ, hệ miễn dịch còn yếu, viêm phế quản có nguy cơ tiến triển thành biến chứng nguy hiểm nếu không được phát hiện và xử lý kịp thời.
Phân loại viêm phế quản
– Viêm phế quản cấp tính: Thường do virus gây ra, kéo dài trong thời gian ngắn (1-2 tuần).
– Viêm phế quản mạn tính: Kéo dài hơn và liên quan đến các tác nhân kích thích lâu dài, như khói thuốc lá hoặc ô nhiễm môi trường.
2. Nhận biết hình ảnh viêm phế quản ở trẻ
Nhận biết sớm các dấu hiệu viêm phế quản giúp phụ huynh đưa trẻ đến khám kịp thời, tránh biến chứng nguy hiểm.
2.1. Dấu hiệu viêm cấp tính phế quản
– Ho khan hoặc ho có đờm: Đờm thường có màu trắng, vàng hoặc xanh.
– Sốt nhẹ hoặc sốt cao: Trẻ có thể mệt mỏi, quấy khóc do sốt.
– Thở rít, khó thở: Nghe tiếng thở có âm thanh bất thường.
– Chảy nước mũi, nghẹt mũi: Triệu chứng thường đi kèm với viêm mũi họng.
Dấu hiệu viêm phế quản
2.2. Dấu hiệu tình trạng viêm phế quản
– Ho kéo dài: Tình trạng ho tái đi tái lại, đặc biệt vào sáng sớm.
– Đờm đặc, màu sắc thay đổi: Có thể xuất hiện đờm màu nâu nếu có lẫn máu.
– Khó thở mạn tính: Trẻ thường xuyên thở dốc ngay cả khi vận động nhẹ.
3. Chẩn đoán viêm phế quản qua hình ảnh và phương pháp khoa học
Chẩn đoán viêm phế quản cần được thực hiện bởi bác sĩ chuyên khoa. Ngoài khám lâm sàng, bác sĩ có thể chỉ định một số xét nghiệm và chụp hình ảnh để xác định tình trạng bệnh.
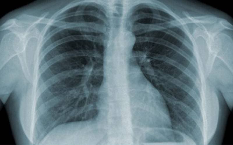
3.1. Hình ảnh viêm phế quản trên phim X-quang và nội soi
– X-quang lồng ngực: Giúp phát hiện tình trạng viêm nhiễm hoặc tăng tiết dịch nhầy trong phế quản.
– Nội soi phế quản: Hình ảnh trực tiếp cho thấy tình trạng phù nề, tăng tiết dịch, hoặc tổn thương niêm mạc.
Hình ảnh chụp Xquang viêm phế quản
3.2. Các xét nghiệm hỗ trợ
– Xét nghiệm máu: Kiểm tra bạch cầu và các dấu hiệu viêm.
– Xét nghiệm đờm nhằm xác định tác nhân gây bệnh (virus, vi khuẩn).
4. Nguy cơ và biến chứng của viêm phế quản ở trẻ
Viêm phế quản nếu không được điều trị đúng cách có thể dẫn đến nhiều biến chứng nguy hiểm:
– Viêm phổi: Nhiễm trùng lan xuống phổi, làm tổn thương nhu mô phổi.
– Hen phế quản: Gây khó thở tái phát lâu dài.
– Suy hô hấp: Do tình trạng viêm làm hẹp đường thở nghiêm trọng.
Phụ huynh cần đặc biệt lưu ý khi trẻ có các triệu chứng nặng như: thở rít, môi tím tái, không ăn uống được.
5. Trị viêm phế quản ở trẻ
Việc điều trị viêm phế quản không chỉ phụ thuộc vào triệu chứng mức độ bệnh.
5.1. Viêm phế quản cấp tính
Điều trị cơ bản như sau:
– Điều trị triệu chứng: Sử dụng thuốc hạ sốt, thuốc long đờm hoặc thuốc giảm ho theo chỉ định của bác sĩ.
– Xông mũi họng: Giúp trẻ dễ thở hơn.
– Bù nước và điện giải: Uống nhiều nước hoặc dung dịch oresol để tránh mất nước.
5.2. Viêm phế quản mạn tính
– Thuốc giãn phế quản nhằm làm hôn giúp mở rộng đường thở.
– Liệu pháp oxy: Dành cho các trường hợp suy hô hấp.
– Thay đổi lối sống: Tránh khói thuốc, môi trường ô nhiễm.
6. Phòng ngừa viêm phế quản
Phòng bệnh là cách tốt nhất để bảo vệ sức khỏe cho trẻ nhỏ.
6.1. Tiêm chủng đầy đủ
Các vắc xin như vắc xin phòng cúm, vắc xin phế cầu giúp giảm nguy cơ mắc viêm phế quản do virus hoặc vi khuẩn.
Tiêm chủng để tránh các bệnh lây truyền cũng như nguy cơ viêm phế quản
6.2. Duy trì môi trường sạch sẽ
– Tránh để trẻ tiếp xúc với khói thuốc hoặc bụi bẩn.
– Giữ không gian sống sạch sẽ, thông thoáng, tránh ẩm mốc.
6.3. Tăng cường sức đề kháng
– Đảm bảo dinh dưỡng đủ chất.
– Khuyến khích trẻ vận động phù hợp với tuổi và ngủ đủ giấc.
7. Khi nào nên đưa trẻ khám?
Đôi khi, các triệu chứng viêm phế quản có thể khiến phụ huynh nhầm lẫn với cảm lạnh thông thường. Tuy nhiên, phụ huynh nên đưa trẻ đi khám viêm phế quản ngay khi nghi ngờ hoặc thấy:
– Trẻ ho kéo dài trên 5 ngày không thuyên giảm.
– Trẻ khó thở, môi tím tái hoặc mệt mỏi nhiều.
– Các triệu chứng viêm phế quản tái phát nhiều lần.
Hãy lựa chọn cơ sở y tế uy tín để đảm bảo trẻ được chẩn đoán và điều trị đúng cách, tránh những biến chứng nguy hiểm.
Viêm phế quản tùy phổ biến nhưng tiềm ẩn nguy cơ biến chứng nguy hiểm nếu không được xử lý kịp thời. Thông qua các hình ảnh viêm phế quản, cha mẹ có thể dễ dàng nhận biết tình trạng viêm trong đường hô hấp của trẻ. Việc phát hiện sớm, đưa trẻ đi khám và thực hiện các biện pháp phòng ngừa sẽ giúp bảo vệ sức khỏe của trẻ tốt hơn.

















