“Gánh” hậu quả khôn lường vì chủ quan với áp xe tai
Áp xe tai là một tình trạng viêm nhiễm có thể gây ra nhiều đau đớn và phiền toái cho người bệnh. Tuy nhiên, không ít người thường chủ quan, coi nhẹ tình trạng này nên đã không điều trị kịp thời, dẫn đến những hậu quả nghiêm trọng. Bài viết dưới đây sẽ giúp bạn hiểu rõ hơn về các biến chứng của áp xe tai và cách chăm sóc tai đúng cách để tránh tình trạng này.
1. Các biến chứng nguy hiểm của áp xe tai
Áp xe tai xảy ra khi một vùng tai bị vi khuẩn tấn công, dẫn đến hình thành ổ mủ do phản ứng của hệ miễn dịch. Nếu không được phát hiện và điều trị kịp thời, áp xe tai có thể dẫn đến nhiều biến chứng nghiêm trọng, gây ảnh hưởng lớn đến sức khỏe tai và toàn bộ cơ thể.
1.1 Viêm nhiễm lan rộng dẫn tới nhiễm trùng lan tỏa
Khi không điều trị, vi khuẩn trong ổ áp xe có thể lan sang các bộ phận khác của tai và gây viêm nhiễm diện rộng. Viêm nhiễm không chỉ giới hạn ở khu vực tai ngoài mà còn có thể lan vào tai giữa và tai trong. Viêm tai giữa là một trong những biến chứng phổ biến của áp xe tai, và nếu không được xử lý kịp thời, viêm tai giữa có thể gây ra những vấn đề phức tạp hơn, bao gồm tổn thương màng nhĩ và mất thính lực.
Không điều trị áp xe tai có thể biến chứng lan rộng ảnh hưởng tới sức khỏe và thẩm mỹ của người bệnh. (ảnh minh họa)
1.2 Mất thính lực vĩnh viễn
Một trong những biến chứng nguy hiểm nhất của áp xe tai là mất thính lực. Khi nhiễm trùng lan vào sâu trong tai, hệ thống thính giác có thể bị tổn thương nghiêm trọng. Nếu không được chữa trị kịp thời, tổn thương này có thể không hồi phục, dẫn đến mất thính lực vĩnh viễn. Mất khả năng nghe không chỉ ảnh hưởng đến chất lượng cuộc sống mà còn tác động tiêu cực đến khả năng giao tiếp và công việc hàng ngày.
1.3 Áp xe tai có thể gây viêm màng não
Viêm màng não là biến chứng nghiêm trọng và nguy hiểm nhất. Khi vi khuẩn từ ổ áp xe tai lan vào máu và tiếp cận não bộ, chúng có thể gây ra viêm màng não – một tình trạng viêm nhiễm các màng bảo vệ não và tủy sống. Viêm màng não không chỉ đe dọa đến tính mạng mà còn để lại nhiều di chứng nghiêm trọng như tổn thương thần kinh, giảm nhận thức và khả năng vận động. Các triệu chứng của viêm màng não thường bao gồm sốt cao, đau đầu dữ dội, co giật và cứng cổ, đòi hỏi phải được điều trị ngay lập tức.
1.4 Nhiễm trùng máu
Nhiễm trùng máu xảy ra khi vi khuẩn từ ổ áp xe tai xâm nhập vào dòng máu, gây nhiễm trùng toàn thân. Đây là một tình trạng cực kỳ nguy hiểm và có thể đe dọa đến tính mạng nếu không được điều trị kịp thời. Các triệu chứng của nhiễm trùng máu bao gồm sốt cao, nhịp tim nhanh, khó thở và da xanh xao. Nếu không được điều trị, nhiễm trùng máu có thể dẫn đến suy đa tạng và tử vong.
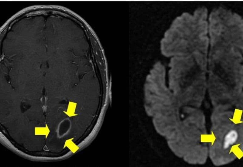
1.5 Áp xe nội sọ
Đây là một biến chứng hiếm gặp nhưng vô cùng nghiêm trọng. Khi vi khuẩn từ ổ áp xe tai lan vào não, chúng có thể tạo ra các ổ áp xe trong mô não. Điều này gây áp lực lên não, dẫn đến các triệu chứng như đau đầu dữ dội, buồn nôn, nôn mửa, co giật và thậm chí là hôn mê. Áp xe nội sọ là tình trạng cấp cứu đòi hỏi phải được điều trị ngay lập tức, thường là qua phẫu thuật để loại bỏ ổ mủ.
Áp xe tai biến chứng nặng có thể gây áp xe nội sọ, một biến chứng rất nghiêm trọng đe dọa đến sức khỏe của người bệnh. (ảnh minh họa)
2. Hãy chăm sóc tai đúng cách, để tránh áp xe
Phòng ngừa áp xe tai là cách tốt nhất để bảo vệ sức khỏe tai của bạn và tránh các biến chứng nguy hiểm. Dưới đây là một số biện pháp chăm sóc tai đúng cách giúp ngăn ngừa tình trạng áp xe tai hiệu quả.
2.1 Vệ sinh tai đúng cách để tránh áp xe tai
Nhiều người thường có thói quen dùng tăm bông để vệ sinh tai. Tuy nhiên, việc này có thể gây tổn thương cho niêm mạc tai, đẩy ráy tai vào sâu hơn hoặc gây nhiễm trùng nếu không cẩn thận. Thay vì sử dụng tăm bông, bạn nên vệ sinh tai bằng nước muối sinh lý hoặc các dung dịch vệ sinh tai chuyên dụng, đồng thời tránh cắm bất kỳ vật cứng hoặc sắc nhọn nào vào tai.
2.2 Tránh ẩm ướt kéo dài
Tai là một khu vực nhạy cảm và dễ bị nhiễm trùng khi tiếp xúc với môi trường ẩm ướt. Để ngăn ngừa áp xe tai, hãy luôn giữ tai khô ráo sau khi tắm hoặc bơi lội. Bạn có thể sử dụng khăn mềm hoặc máy sấy tóc để làm khô tai một cách nhẹ nhàng sau khi tiếp xúc với nước. Đặc biệt, nếu bạn là người thường xuyên bơi lội, hãy cân nhắc việc sử dụng nút tai chống nước để bảo vệ tai khỏi nước.
2.3 Điều trị viêm tai kịp thời
Viêm tai là một trong những nguyên nhân chính dẫn đến áp xe tai nếu không được điều trị đúng cách và kịp thời. Khi phát hiện các dấu hiệu của viêm tai như đau tai, ngứa tai, hoặc dịch tiết bất thường, bạn nên đến gặp bác sĩ để được chẩn đoán và điều trị kịp thời. Điều này sẽ giúp ngăn chặn vi khuẩn phát triển và hình thành ổ áp xe trong tai.
Phòng ngừa áp xe tai bằng cách điều trị hiệu quả tình trạng viêm tai ngay từ khi còn sớm.
2.4 Tránh tiếp xúc với môi trường bụi bẩn, ô nhiễm
Môi trường sống và làm việc bụi bẩn, ô nhiễm cũng là yếu tố làm tăng nguy cơ nhiễm trùng tai. Bụi bẩn và vi khuẩn có thể dễ dàng xâm nhập vào tai và gây ra các vấn đề về viêm nhiễm. Do đó, hãy hạn chế tiếp xúc với các môi trường có nhiều khói bụi, đồng thời đeo khẩu trang và bảo vệ tai khi phải làm việc trong môi trường ô nhiễm.
2.5 Kiểm tra tai định kỳ
Việc kiểm tra tai định kỳ là biện pháp quan trọng giúp bạn phát hiện sớm các vấn đề về tai, từ đó có thể điều trị kịp thời trước khi tình trạng trở nên nghiêm trọng. Đặc biệt đối với những người có tiền sử về viêm tai hoặc các vấn đề về tai, việc kiểm tra tai định kỳ nên được thực hiện thường xuyên hơn để đảm bảo tai luôn khỏe mạnh.
Áp xe tai có thể gây ra nhiều biến chứng nguy hiểm nếu không được điều trị kịp thời và đúng cách. Việc chủ quan với tình trạng này không chỉ khiến bạn phải chịu đựng đau đớn mà còn tiềm ẩn nguy cơ mất thính lực, viêm màng não và nhiều vấn đề nghiêm trọng khác. Do đó, hãy luôn chăm sóc tai đúng cách, đảm bảo vệ sinh sạch sẽ và kiểm tra tai định kỳ để bảo vệ sức khỏe của bản thân.











