Sán lá lớn ở gan và những điều cần biết trong chẩn đoán và điều trị
Sán lá lớn ở gan, hay sán lá gan lớn là ký sinh trùng dẫn đến một bệnh lý gây nhiều ảnh hưởng đến sức khỏe con người, gây ra tình trạng sụt cân và ăn uống kém. Bài viết này, Thu Cúc TCI cùng bạn tìm hiểu về sán lá gan lớn cũng như cách chẩn đoán và điều trị bệnh lý này.
1. Bệnh sán lá gan lớn ở người được hiểu như thế nào?
Hai loại ký sinh trùng Fasciola hepatica và Fasciola gigantica gây ra bệnh sán lá gan lớn ở người. Loài Fasciola gigantica chủ yếu có mặt ở các quốc gia châu Á. Đối với loại ký sinh trùng Fasciola hepatica, chúng chủ yếu được tìm thấy ở các quốc gia khu vực Châu Âu, Nam Mỹ, Châu Phi và một số ít khu vực ở Châu Á.
Người không phải là ký chủ chính trong chuỗi ký chủ để ký sinh của sán lá lớn mà chỉ là một ký chủ ngẫu nhiên, thay vào đó động vật ăn cỏ như trâu, bò, cừu là vật chủ chính. Ngoài ra, sán lá gan nói chung có thêm ký chủ trung gian là ốc nước. Đây cũng là lý do khi ăn ốc chưa chế biến kỹ hoặc ăn sống các loại rau sống dưới nước, con người rất dễ ăn phải ấu trùng sán.
Bệnh sán lá gan lớn ở người xảy ra sau khi ấu trùng sán xâm nhập vào cơ thể và phát triển thành sán trưởng thành.
Hình ảnh sán lá gan lớn
2. Có thể nhận biết các biểu hiện của bệnh sán lá lớn ở gan như thế nào?
Tùy thuộc vào giai đoạn phát triển của sán lá gan lớn, vị trí sán ký sinh và số lượng ấu trùng sán xâm nhập vào cơ thể người mà các biểu hiện sẽ khác nhau. Tuy nhiên hầu hết các biểu hiện lâm sàng của bệnh thường không đặc hiệu. Điều này dẫn đến người bệnh có thể đi khám khi bị bệnh mạn tính diễn ra từ từ hoặc nhập viện khi bị bệnh bụng ngoại khoa cấp tính.
– Mệt mỏi, gầy sút cân hoặc suy mòn không rõ nguyên nhân gây ra. Ở trẻ em, nhiều trường hợp thường không phát triển nhanh và hay bị suy dinh dưỡng.
– Tình trạng đau bụng ở hạ sườn phải, lan rộng về phía sau hoặc vùng thượng vị – mũi ức. Các cơn đau thường không đặc hiệu, có thể âm ỉ, đôi khi dữ dội. Có nhiều trường hợp thậm chí không đau bụng.
– Thường ăn không ngon miệng, chán ăn, ăn uống thất thường.
– Đường ruột bị rối loạn các chức năng kèm theo triệu chứng buồn nôn, đầy bụng khó tiêu.
– Một vài trường hợp ghi nhận những cơn sốt thất thường, sốt cao kèm theo cảm giác rét nhưng không xác định được nguyên nhân.
– Một số bệnh nhân gặp tình trạng thiếu máu mạn tính, da xanh xao, móng tay trắng và niêm mạc nhợt nhạt ở các vị trí mắt, môi, lưỡi,..
Trong các trường hợp sán lá gan lớn nặng và gây ra các biến chứng, các ống tiết trên đường tiêu hóa bị tắc nghẽn, dẫn đến các biểu hiện lâm sàng như vàng da tắc mật, viêm đường mật, viêm tụy cấp, tình trạng bị xuất huyết tiêu hoá.
Tình trạng đau bụng, chán ăn ở người bệnh
3. Chẩn đoán và điều trị bệnh sán lá gan lớn ở người
3.1. Làm thế nào để chẩn đoán bệnh sán lá lớn ở gan?
Sự xuất hiện của kháng thể trong huyết thanh có thể được xác định bằng xét nghiệm ELISA. Xét nghiệm máu này cũng được thực hiện giống như các xét nghiệm máu khác. Nồng độ kháng thể chống kháng nguyên sán lá gan tăng lên, đặc biệt là kháng thể IgM, có thể cân nhắc đến loại xét nghiệm này.
Ngoài ra, soi cấy phân hoặc dịch mật có thể giúp tìm thấy trứng sán. Tuy nhiên tỷ lệ tìm thấy trứng sán khá thấp và nó còn phụ thuộc vào phương pháp xét nghiệm và kinh nghiệm của kỹ thuật viên.
Người bệnh cũng có thể được tiến hành các cận lâm sàng tổng quát khác ngoài các xét nghiệm để xác định tác nhân nêu trên. Tỷ lệ bạch cầu ái toan cao hơn tổng số bạch cầu bình thường trong xét nghiệm công thức máu có thể giúp bác sĩ nghĩ đến tình trạng nhiễm ký sinh trùng ở người.
Trong số các công cụ chẩn đoán hình ảnh, siêu âm là phương tiện đầu tiên để kiểm tra các tổ chức của gan mật. Các ổ phản âm hỗn hợp hình tổ ong có thể được chụp lại thông qua siêu âm, chúng cho thấy các tổn thương gan do sán lá gan lớn. Siêu âm cũng có thể xác định tụ dịch trong màng phổi, ổ bụng hoặc dưới bao gan.
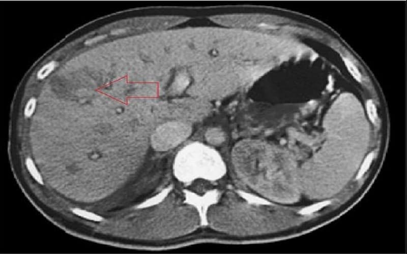
Chụp cắt lớp vi tính ổ bụng có thể được thực hiện trong những trường hợp cần thiết trong những trường hợp nghi ngờ về tắc nghẽn ống mật tụy chưa rõ nguyên nhân.
Minh họa tổn thương sán lá gan trên phim chụp cắt lớp vi tính
3.2. Điều trị bệnh sán lá lớn ở gan như thế nào?
Điều trị sán lá gan lớn bằng cách sử dụng thuốc đặc trị sau khi các bác sĩ chuyên khoa thăm khám và chẩn đoán kỹ lưỡng. Thuốc đặc trị thường được bào chế với hàm lượng phù hợp và kê đơn theo cân nặng cơ thể, được sử dụng sau bữa ăn.
Đối với các chỉ định dùng thuốc, cần xem xét các nhóm đối tượng chống chỉ định. Những nhóm này bao gồm những người mắc bệnh lý cấp tính khác như nhiễm trùng; phụ nữ có thai hoặc đang cho con bú; người vận hành máy móc hoặc tàu xe; người bệnh gan, tim mạch, thận,.. trong giai đoạn cấp hoặc mạn tính. Đồng thời, cần thông báo cho người bệnh và theo dõi các tác dụng không mong muốn của thuốc có thể xảy ra ngay sau khi uống thuốc. Các tác dụng không mong muốn có thể là đau bụng, sốt nhẹ, đau đầu nhẹ hay nổi mẩn,..
Việc điều trị bằng thuốc theo hướng dẫn như trên có thể không hiệu quả trong việc tiêu diệt ký sinh trùng trong trường hợp sán lá gan làm tổn thương một khối nhu mô gan, dẫn đến hình thành ổ áp xe gan. Lúc này, người bệnh có thể cần can thiệp chọc hút ổ áp xe, đặc biệt là nếu ổ áp có đường kính trên 6 cm.
4. Theo dõi sau điều trị dành cho bệnh nhân bị sán lá lớn ở gan
Sau khi sử dụng một liều thuốc, bệnh nhân cần được khám lại để đánh giá hiệu quả tiêu diệt ký sinh trùng. Một lần tái khám được thực hiện trong 3 ngày sau khi sử dụng thuốc, và các lần tái khám tiếp theo là sau khoảng 3 tháng và 6 tháng.
Bác sĩ đánh giá liệu các triệu chứng lâm sàng đã giảm hoặc hết và liệu người bệnh đã hồi phục khả năng tiêu hóa hay không. Đồng thời tiến hành tổng phân tích máu, đánh giá tỷ lệ bạch cầu ái toan trở về bình thường hoặc giảm và siêu âm gan, đánh giá kích thước các ổ tổn thương gan giảm. Cần đảm bảo trứng sán không thể được tìm thấy trong dịch mật hoặc phân.
Nhìn chung, bệnh sán lá lớn ở gan là một bệnh nhiễm ký sinh trùng đường tiêu hóa phổ biến ở nước ta do thói quen ăn sống phổ biến ở nhiều khu vực. Để phục hồi sức khỏe cho bản thân và gia đình, việc chẩn đoán sớm và điều trị tích cực là rất cần thiết để ngăn ngừa các biến chứng nguy hiểm.














