Gãy 2 Xương Cẳng Chân: Triệu chứng, chuẩn đoán và Cách điều trị
Gãy 2 xương cẳng chân là loại gãy thân xương dài thường gặp do nhiều nguyên nhân, trong đó phổ biến nhất là tai nạn giao thông. Bài viết dưới đây cung cấp cho bạn đọc những thông tin cần thiết về gãy 2 xương cẳng chân.
- Gãy xương chân kiêng ăn gì và nên ăn gì giúp xương nhanh lành
- Cách nhận biết gãy xương ngón chân giữa
1. Gãy 2 xương cẳng chân là gì?
Gãy 2 xương cẳng chân là loại gãy thân xương dài thường gặp do nhiều nguyên nhân, trong đó phổ biến nhất là nguyên nhân tai nạn giao thông. Tổn thương do gãy 2 xương cẳng chân khá phức tạp, chẩn đoán dễ song điều trị có nhiều khó khăn và dễ gặp nhiều biến chứng.
Gãy 2 xương cẳng chân là loại gãy thân xương dài thường gặp do nhiều nguyên nhân, trong đó phổ biến nhất là tai nạn giao thông.
2. Nguyên nhân và cơ chế gãy 2 xương cẳng chân
⊹ Cơ chế trực tiếp: Bánh xe đâm vào, đồ vật nặng đè trực tiếp vào cẳng chân… Các trường hợp bị gãy xương cẳng chân do cơ chế trực tiếp, xương chày và xương mác thường gãy ngang mức.
⊹ Cơ chế chấn thương gián tiếp chủ yếu do ngã, có thể bị gãy ngang hoặc gãy chép vát, xoắn vặn. Các trường hợp bị gãy xương cẳng chân do cơ chế gián tiếp, xương mác gãy thứ phát sau gãy xương chày nên thường gãy cao hơn mức gãy ở xương chày.
3. Triệu chứng của gãy 2 xương cẳng chân
- Triệu chứng toàn thân: Bệnh nhân có thể bị sốc.
- Triệu chứng tại chỗ: Đau chói tại chỗ gãy; chân bị gãy không cử động được; cẳng chân sưng nề, càng để lâu càng sưng nhiều và có thể kèm theo các nốt phồng thanh huyết; cẳng chân cong vẹo, thường mở góc ra ngoài và ra sau; có thể nhìn thấy đầu gãy gồ ngay dưới da; ngắn chi; lạo xạo xương; có thể có các triệu chứng của tổn thương mạch máu thần kinh…
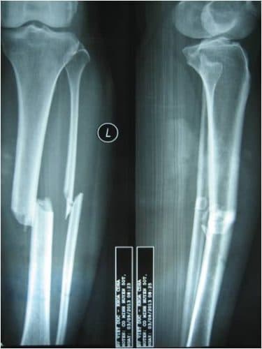
- Triệu chứng trên X-quang: Cần chụp X – quang hai tư thế thẳng và nghiêng, chụp toàn bộ cẳng chân lấy cả khớp gối và khớp cổ chân. Hình ảnh trên X-quang cho thấy rõ vị trí của xương chầy và xương mác, hình thái đường gãy và mức độ di lệch.
Hình ảnh trên X-quang cho thấy rõ vị trí của xương chầy và xương mác, hình thái đường gãy và mức độ di lệch.
4. Biến chứng của gãy 2 xương cẳng chân
Biến chứng toàn thân: Sốc chấn thương do đau đớn và mất máu nhiều; tắc mạch máu do mỡ; loét điểm tỳ, viêm phổi, viêm đường tiết niệu do nằm lâu…
Biến chứng tại chỗ: Thương tổn mạch máu thần kinh; biến chứng gãy kín thành gãy hở do ngay sau khi gãy xương không được cố định, các cơ co làm cho đầu gãy sắc nhọn chọc thủng da; rối loạn dinh dưỡng sớm; biến chứng chèn ép khoang…
Các biến chứng muộn là: Chậm liền xương và khớp giả;
5. Điều trị gãy 2 xương cẳng chân như thế nào?
5.1. Sơ cứu
Giảm đau:
+ Toàn thân: Promedol 0,02 hoặc Morphin 0,01 x 1 ống tiêm bắp thịt nếu không có các phản chỉ định. Có thể dùng các thuốc giảm đau dạng uống như Efferalgan Codêin 0,50, Morfen….
+ Tại chỗ: Phóng bế gốc chi bằng dung dịch Novocain 0,25% x 60ml.
+ Bất động tạm thời: Cố định từ 1/3 trên đùi tới gót chân bằng nẹp êke gỗ hoặc 2 nẹp tre đặt ở mặt trong và mặt ngoài. Nếu không có thì bất động bằng nẹp tuỳ ứng như cố định chi gãy vào súng trường hoặc buộc vào cẳng chân bên lành…
Bó bột là một trong những phương pháp điều trị bảo tồn phổ biến trong gãy xương.
5.2. Điều trị gãy 2 xương cẳng chân
Điều trị bảo tồn: Bó bột ngay đối với gãy 2 xương cẳng chân không di lệch hoặc ít di lệch. Bó bột dọc từ 1/3 trên đùi tới bàn chân, theo dõi chèn ép bột trong 48 giờ đầu. Sau 5-7 ngày khi cẳng chân hết sưng nề thì quấn bột tròn kín. Để bột từ 8-10 tuần.
Điều trị bằng phương pháp phẫu thuật: Mổ cấp cứu hoặc mổ phiên tùy thuộc mức độ nghiêm trọng của xương bị gãy. Để biết thêm thông tin chi tiết hoặc cần giải đáp thêm về gãy 2 xương cẳng chân, bạn đọc vui lòng liên hệ với Bệnh viện Đa khoa Quốc tế Thu Cúc theo số điện thoại 1900 558892 hoặc hotline: 0936 388 288 để được tư vấn giải đáp chi tiết.













