
Dịch vụ nổi bật

Đội ngũ bác sĩ

Nguyễn Phạm Ý Nhi

Vũ Văn Triển

Nguyễn Đức Hoan

Lê Ngọc Thương

Vũ Văn Khiên

Nguyễn Văn Hà

Phạm Huy Huyên

Nguyễn Văn Quýnh

Nguyễn Xuân Thành

Nguyễn Văn Doanh

Nguyễn Thị Mai Hoa

Dương Văn Tiến

Zee Ying Kiat

See Hui Ti

Lim Hong Liang

Nguyễn Phạm Ý Nhi
Thầy thuốc ưu tú, TS.BS Nguyễn Phạm Ý Nhi là một nhà chuyên môn, nhà quản lý y tế xuất sắc. TS.BS Nguyễn Phạm Ý Nhi đã vinh dự nhận Huân chương Lao động hạng Ba, cùng nhiều Bằng khen của Bộ trưởng Bộ Y tế, Chủ tịch UBND thành phố Hà Nội trao tặng.

Vũ Văn Triển
Tiến sĩ, Bác sĩ CKII, Thầy thuốc ưu tú Vũ Văn Triển là một chuyên gia hàng đầu trong lĩnh vực Nội khoa với hơn 35 năm kinh nghiệm. Ông tốt nghiệp Bác sĩ Đa khoa hệ chính quy tại Đại học Y Hà Nội năm 1988, sau đó tiếp tục học tập và đạt nhiều văn bằng chuyên môn cao cấp. Bên cạnh đó, ông từng tham gia đào tạo chuyên sâu về tim mạch, hồi sức cấp cứu, chẩn đoán hình ảnh tại Đại học Y Hà Nội.
Trong sự nghiệp, bác sĩ Vũ Văn Triển từng giữ nhiều vị trí quan trọng: Trưởng khoa Hồi sức cấp cứu, Trưởng khoa Nội truyền nhiễm tại các bệnh viện lớn; Phó Giám đốc Sở Y tế Giao thông vận tải; Phó Cục trưởng Cục Y tế Giao thông vận tải, trực tiếp chỉ đạo hoạt động khám chữa bệnh trong toàn ngành.
Hiện nay, với vai trò Giám đốc Phòng khám ĐKQT Thu Cúc, Tiến sĩ, Bác sĩ CKII Vũ Văn Triển tiếp tục tận tâm mang đến cho người bệnh dịch vụ y tế chất lượng cao, áp dụng những tiến bộ chuyên môn kết hợp với sự thấu hiểu và nhân văn trong điều trị, khẳng định uy tín của ông trong lòng đồng nghiệp và bệnh nhân.

Nguyễn Đức Hoan
Tiến sĩ Nguyễn Đức Hoan, hiện đang là Giám đốc Phòng khám Đa khoa Thu Cúc TCI – Cơ sở 32 Đại Từ, đã có hơn 43 năm cống hiến cho Quân Y, với hành trình học tập, nghiên cứu và công tác giàu dấu ấn. Ông tốt nghiệp Bác sĩ đa khoa tại Học viện Quân y (1979 – 1985), sau đó tiếp tục theo học chuyên khoa I Nội chung và xuất sắc tốt nghiệp loại giỏi năm 1990. Cùng năm đó, ông được điều về Khoa Nội A1 – Bệnh viện Trung ương Quân đội 108, nơi đảm nhiệm công tác điều trị, chăm sóc sức khỏe cho nhiều cán bộ cấp cao trong quân đội. Hoàn thành chương trình Bác sĩ Cao học (Thạc sĩ) chuyên ngành Nội chung tại Học viện Quân y. Tiếp nối niềm đam mê nghiên cứu, giai đoạn 2013 – 2018, ông là nghiên cứu sinh chuyên ngành Nội – Nội tiết và đã bảo vệ thành công luận án Tiến sĩ vào năm 2018. Với nền tảng chuyên môn sâu rộng cùng hơn 4 thập kỷ kinh nghiệm, Tiến sĩ Nguyễn Đức Hoan không chỉ là một thầy thuốc giàu y đức mà còn là người thầy, người lãnh đạo tận tâm, hiện tiếp tục cống hiến trong vai trò Giám đốc Phòng khám Đa khoa Thu Cúc TCI – cơ sở 32 Đại Từ.

Lê Ngọc Thương
Thầy thuốc ưu tú, bác sĩ CKII Lê Ngọc Thương có hơn 30 năm kinh nghiệm công tác chuyên môn và quản lý trong ngành y tế. Bác sĩ là chuyên gia giỏi trong lĩnh vực Ngoại khoa, đặc biệt Chấn thương chỉnh hình, thường xuyên áp dụng các phương pháp điều trị hiện đại, tối ưu trong khám chữa bệnh

Vũ Văn Khiên
PGS. TS. Vũ Văn Khiên là chuyên gia giàu kinh nghiệm trong lĩnh vực Nội soi và Nội tiêu hóa với hơn 30 năm gắn bó trong công tác chuyên môn và quản lý tại Bệnh viện TW Quân đội 108. Bác sĩ từng giữ nhiều chức vụ quan trọng như Chủ nhiệm khoa Nội tiêu hóa, Chủ nhiệm khoa Nội soi chẩn đoán, Phó viện trưởng kiêm Chủ nhiệm khoa Nội soi tiêu hóa, Viện điều trị các bệnh tiêu hóa – Bệnh viện TW Quân đội 108.
Ngoài công tác khám chữa bệnh, PGS. Khiên còn có nhiều đóng góp cho ngành y qua các công trình nghiên cứu khoa học, là tác giả và đồng tác giả của 86 bài báo khoa học trong nước và quốc tế. Với những đóng góp nổi bật, bác sĩ đã được trao tặng Giải thưởng Hồ Chí Minh về Khoa học và Công nghệ năm 2017.

Nguyễn Văn Hà
Bác sĩ Nguyễn Văn Hà, chuyên gia sản phụ khoa với bằng Chuyên khoa II từ Đại học Y Hà Nội, hiện là Phó Giám đốc Bệnh viện Đa khoa Quốc tế Thu Cúc TCI và Trưởng khoa Phụ Sản. Với chuyên môn cao và vị trí lãnh đạo, bác sĩ đã có nhiều đóng góp quan trọng vào việc nâng cao chất lượng chăm sóc sức khỏe sản phụ khoa.

Phạm Huy Huyên
Thầy thuốc ưu tú, Bác sĩ CKII Ngoại Tiết niệu – Nam học Phạm Huy Huyên là một trong những chuyên gia hàng đầu tại Việt Nam trong lĩnh vực phẫu thuật Tiết niệu – Nam học. Bác sĩ được mệnh danh là “Bàn tay vàng phẫu thuật Tiết niệu” với uy tín lớn trong việc ứng dụng các kỹ thuật mới, ít xâm lấn, giúp quá trình điều trị trở nên nhẹ nhàng hơn, người bệnh phục hồi nhanh chóng, ít đau và tiết kiệm chi phí.
Với hơn 30 năm kinh nghiệm trong chuyên môn và quản lý, bác sĩ Huyên luôn được bệnh nhân tin tưởng bởi sự tận tâm, gần gũi và chu đáo trong quá trình thăm khám và phẫu thuật.

Nguyễn Văn Quýnh
Đại tá, Phó Giáo sư, Tiến sĩ, Bác sĩ Chuyên khoa II, Thầy thuốc nhân dân Nguyễn Văn Quýnh là chuyên gia hàng đầu trong lĩnh vực Tim mạch với hơn 40 năm kinh nghiệm, từng đảm nhiệm nhiều vị trí quan trọng tại các bệnh viện lớn, đặc biệt có hơn 30 năm trực tiếp chăm sóc sức khỏe cho cán bộ cấp cao trong Quân đội, Ủy viên thường vụ Ban chấp hành Hội Nội khoa Việt Nam. Hiện tại, bác sĩ đang công tác tại Bệnh viện Đa khoa Quốc tế Thu Cúc.
Trong quá trình khám chữa bệnh, bác sĩ luôn dành trọn tâm huyết và sự tận tình cho người bệnh, từ trẻ nhỏ đến người cao tuổi, giúp họ không chỉ được điều trị hiệu quả mà còn được động viên tinh thần trong suốt quá trình chăm sóc.

Nguyễn Xuân Thành
PGS.TS, TTƯT Nguyễn Xuân Thành đã có kinh nghiệm hơn 40 năm khám và điều trị Nội khoa, đạt được nhiều thành tựu trong lĩnh vực Gan mật, đặc biệt là điều trị viêm gan virus, xơ gan.
Ông nguyên là Viện trưởng Viện phòng dịch Quân đội, Cục quân y Bộ quốc phòng, giảng viên Khoa Nội truyền nhiễm Học viện quân y 103
PGS từng nghiên cứu tại khoa Nội tiêu hóa Đại học Y Shimane Nhật Bản dưới sự dẫn dắt của Giáo sư Shimada chuyên gia đầu ngành của Nhật Bản về bệnh lý gan mật. Ông là Tiến sĩ Y khoa, Hội viên Hội Gan mật, Hội siêu âm Nhật Bản – Đại học Y khoa Shimane Nhật Bản.
Hiện nay, PGS.TS Nguyễn Xuân Thành là Bác sĩ Nội kiêm Cố vấn chuyên môn và đối ngoại tại Bệnh viện Đa khoa Quốc tế Thu Cúc.

Nguyễn Văn Doanh
Tiến sĩ, bác sĩ Nguyễn Văn Doanh là chuyên gia giàu kinh nghiệm trong lĩnh vực Nội thần kinh. Bác sĩ nguyên là Chủ nhiệm khoa Thần kinh tại Bệnh viện Hữu Nghị Việt Xô (nay là Bệnh viện Hữu Nghị). Hiện nay, Tiến sĩ Doanh giữ chức vụ Trưởng khoa Khám bệnh tại Bệnh viện Đa khoa Quốc tế Thu Cúc.
Với nhiều năm làm việc tại các bệnh viện lớn, trực tiếp điều trị nhiều ca khó, bác sĩ Doanh mang đến cho người bệnh những tư vấn chính xác, giúp tiết kiệm thời gian và chi phí, đồng thời đạt hiệu quả điều trị cao. Tại Thu Cúc TCI, ông thăm khám và điều trị các bệnh lý nội khoa thần kinh như đau nửa đầu, rối loạn tiền đình, rối loạn giấc ngủ, sa sút trí tuệ, động kinh, Parkinson, chóng mặt do thiếu máu não… và nhiều bệnh lý thần kinh khác.
Bác sĩ cũng thường xuyên xuất hiện trong các chương trình tư vấn sức khỏe trên truyền hình như Khỏe thật đơn giản (VTV2), cung cấp nhiều kiến thức bổ ích về chăm sóc sức khỏe thần kinh.

Nguyễn Thị Mai Hoa
Đến thời điểm hiện tại, bác sĩ Nguyễn Thị Mai Hoa đã có hơn 30 năm kinh nghiệm trong lĩnh vực Nhi khoa. Điểm khiến bác sĩ Hoa được nhiều phụ huynh tin tưởng là phương châm “Khám tận tình – Hạn chế kháng sinh” mà bác sĩ luôn áp dụng. Với tính cách vui vẻ, nhiệt tình, bác sĩ Hoa không chỉ là bác sĩ mà đã trở thành người bạn, người mẹ thứ hai của rất nhiều em nhỏ từng khám và chữa bệnh tại Thu Cúc TCI. Điều này thể hiện qua những lời cảm ơn chân thành và sự tin tưởng mà phụ huynh dành cho bác sĩ.

Dương Văn Tiến
Thầy thuốc ưu tú, Bác sĩ CKI Dương Văn Tiến là một trong những chuyên gia về Tai Mũi Họng tại Việt Nam, với hơn 30 năm kinh nghiệm trong ngành. Hiện tại, bác sĩ đang giữ vị trí Trưởng phòng khám Tai Mũi Họng tại Hệ thống Y tế Thu Cúc TCI. Bác sĩ được mệnh danh là “bàn tay vàng” trong phẫu thuật, nổi tiếng với chuyên môn vững vàng và y đức tận tâm.

Zee Ying Kiat
Tiến sĩ, Bác sĩ Zee Ying Kiat là chuyên gia hàng đầu trong lĩnh vực Y tế Ung thư, đặc biệt là các bệnh ung thư đường tiêu hóa: ung thư dạ dày – thực quản, gan, tuyến tụy và đại trực tràng. Ông là thành viên của nhiều hiệp hội về ung thư uy tín trên thế giới.
Với bề dày kinh nghiệm trong nghiên cứu và điều trị, bác sĩ Zee đã có nhiều công trình khoa học đăng tải trên các tạp chí uy tín quốc tế và nhận nhiều giải thưởng danh giá. Hiện nay, ông hợp tác chuyên môn với Khoa Ung bướu Singapore – Bệnh viện Đa khoa Quốc tế Thu Cúc nhằm mang đến phác đồ điều trị chuẩn quốc tế cho bệnh nhân ung thư tại Việt Nam.

See Hui Ti
Bác sĩ See Hui Ti là chuyên gia hàng đầu trong lĩnh vực Ung thư Nội khoa, hiện đang công tác tại Trung tâm Điều trị Ung thư Parkway (Singapore). Bác sĩ có nhiều năm kinh nghiệm trong chẩn đoán và điều trị các bệnh ung thư, đặc biệt là ung thư phụ khoa và ung thư vú ở người lớn. Trước đây, bác sĩ từng giữ vai trò Chuyên gia tư vấn tại Trung tâm Ung thư Quốc gia Singapore và là chuyên gia thỉnh vấn tại Bệnh viện Phụ nữ và Trẻ em KK.
Hiện nay, bác sĩ hợp tác chuyên môn với Bệnh viện Đa khoa Quốc tế Thu Cúc nhằm mang đến cơ hội tiếp cận phác đồ điều trị chuẩn quốc tế cho bệnh nhân ung thư tại Việt Nam.

Lim Hong Liang
Tiến sĩ, Bác sĩ Lim Hong Liang là chuyên gia đầu ngành trong lĩnh vực Ung bướu, từng đảm nhiệm nhiều vị trí quan trọng tại các bệnh viện lớn ở Singapore. Với gần 40 năm kinh nghiệm điều trị và nghiên cứu, bác sĩ được đánh giá cao về năng lực chuyên môn cũng như vai trò cố vấn chuyên ngành ung thư. Hiện nay, bác sĩ hợp tác chuyên môn cùng Bệnh viện Đa khoa Quốc tế Thu Cúc trong điều trị ung thư tại Việt Nam.









Hỏi đáp chuyên gia
Nên uống bao nhiêu viên dầu cá mỗi ngày?
Medsolu 4mg là thuốc gì?
Amlor 5mg có tác dụng gì?
Cách thử thai mà không cần que thử thai
Nhanh đói bụng cồn cào có phải dấu hiệu bệnh lý nghiêm trọng không?
Nhân xơ tử cung là gì và có nguy hiểm không?
Làm sao để tìm được nha sĩ tốt, uy tín gần đây?
Suy thận độ 1 là gì?
Người nóng ran mệt mỏi là sao, liệu có phải bệnh?
Người nóng bừng nhưng không sốt có phải bệnh?
Spironolactone 25mg dùng để làm gì?
Người mệt mỏi buồn ngủ là bệnh gì, mệt mỏi có phải buồn ngủ?
Vùng kín có mùi hôi như trứng thối là dấu hiệu của bệnh gì?
Tại sao bị người lúc nóng lúc lạnh mệt mỏi mà không sốt?
Người lớn sốt 39.5 độ phải làm gì, có nguy hiểm không?
Người lớn sốt 39 độ có nguy hiểm không?
Amlodipin 5mg là thuốc gì?
Người có mấy lá gan lá gan và gan gồm mấy thùy?
Người cao huyết áp nên ăn gì – Chế độ DASH hiệu quả không?
Người bị gout không nên ăn gì, tại sao cần hạn chế purine?
Tin tức nổi bật

Siêu ưu đãi điều trị u tuyến vú, u tuyến giáp công nghệ cao




Sống khỏe

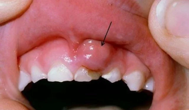
Nguyên nhân và cách khắc phục hiệu quả khi trẻ 3 tuổi bị viêm lợi

Mất ngủ là gì và cách trị bệnh mất ngủ hiệu quả
Tin tức

Hành trình chấm dứt đau đầu, ê buốt mặt do nấm xoang của người đàn ông 57 tuổi
